ARG55760
anti-Hsp 90 beta antibody
anti-Hsp 90 beta antibody for Flow cytometry,IHC-Formalin-fixed paraffin-embedded sections,Western blot and Human,Rat
概述
| 产品描述 | Rabbit Polyclonal antibody recognizes Hsp 90 beta |
|---|---|
| 反应物种 | Hu, Rat |
| 预测物种 | Ms, Bov, Chk, Mk |
| 应用 | FACS, IHC-P, WB |
| 宿主 | Rabbit |
| 克隆 | Polyclonal |
| 同位型 | IgG |
| 靶点名称 | Hsp 90 beta |
| 抗原物种 | Human |
| 抗原 | KLH-conjugated synthetic peptide corresponding to aa. 438-465 (Center) of Human Hsp90 beta. |
| 偶联标记 | Un-conjugated |
| 別名 | HSPC2; D6S182; Heat shock 84 kDa; HSP90B; HSP84; HSP 84; Heat shock protein HSP 90-beta; HSP 90; HSPCB |
应用说明
| 应用建议 |
|
||||||||
|---|---|---|---|---|---|---|---|---|---|
| 应用说明 | * The dilutions indicate recommended starting dilutions and the optimal dilutions or concentrations should be determined by the scientist. | ||||||||
| 阳性对照 | HeLa |
属性
| 形式 | Liquid |
|---|---|
| 纯化 | This antibody is prepared by Saturated Ammonium Sulfate (SAS) precipitation followed by dialysis against PBS. |
| 缓冲液 | PBS and 0.09% (W/V) Sodium azide. |
| 抗菌剂 | 0.09% (W/V) Sodium azide. |
| 存放说明 | For continuous use, store undiluted antibody at 2-8°C for up to a week. For long-term storage, aliquot and store at -20°C or below. Storage in frost free freezers is not recommended. Avoid repeated freeze/thaw cycles. Suggest spin the vial prior to opening. The antibody solution should be gently mixed before use. |
| 注意事项 | For laboratory research only, not for drug, diagnostic or other use. |
生物信息
| 数据库连接 | |
|---|---|
| 基因名称 | HSP90AB1 |
| 全名 | heat shock protein 90kDa alpha (cytosolic), class B member 1 |
| 背景介绍 | This gene encodes a member of the heat shock protein 90 family; these proteins are involved in signal transduction, protein folding and degradation and morphological evolution. This gene encodes the constitutive form of the cytosolic 90 kDa heat-shock protein and is thought to play a role in gastric apoptosis and inflammation. Alternative splicing results in multiple transcript variants. Pseudogenes have been identified on multiple chromosomes. [provided by RefSeq, Dec 2012] |
| 生物功能 | Molecular chaperone that promotes the maturation, structural maintenance and proper regulation of specific target proteins involved for instance in cell cycle control and signal transduction. Undergoes a functional cycle that is linked to its ATPase activity. This cycle probably induces conformational changes in the client proteins, thereby causing their activation. Interacts dynamically with various co-chaperones that modulate its substrate recognition, ATPase cycle and chaperone function. [UniProt] |
| 细胞定位 | Cytoplasm. Melanosome. Note=Identified by mass spectrometry in melanosome fractions from stage I to stage IV |
| 预测分子量 | 83 kDa |
| 翻译后修饰 | Ubiquitinated in the presence of STUB1-UBE2D1 complex (in vitro). ISGylated. S-nitrosylated; negatively regulates the ATPase activity. Phosphorylation at Tyr-301 by SRC is induced by lipopolysaccharide (PubMed:23585225). Phosphorylation at Ser-226 and Ser-255 inhibits AHR interaction (PubMed:15581363). Methylated by SMYD2; facilitates dimerization and chaperone complex formation; promotes cancer cell proliferation. Cleaved following oxidative stress resulting in HSP90AB1 protein radicals formation; disrupts the chaperoning function and the degradation of its client proteins. |
检测图片 (3) Click the Picture to Zoom In
-
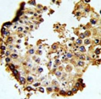
ARG55760 anti-Hsp 90 beta antibody IHC-P image
Immunohistochemistry: Formalin-fixed and paraffin-embedded Human testis tissue stained with ARG55760 anti-Hsp 90 beta antibody.
-
ARG55760 anti-Hsp 90 beta antibody WB image
Western blot: 35 µg of HeLa cell lysate stained with ARG55760 anti-Hsp 90 beta antibody.
-
ARG55760 anti-Hsp 90 beta antibody FACS image
Flow Cytometry: WiDr cells stained with ARG55760 anti-Hsp 90 beta antibody (bottom histogram) or without primary antibody control (top histogram), followed by incubation with FITC labelled secondary antibody.
