ARG56027
anti-Histone antibody [1415-1]
anti-Histone antibody [1415-1] for Flow cytometry,ICC/IF,IHC-Formalin-fixed paraffin-embedded sections,Western blot and Human,Mouse,Rat
概述
| 产品描述 | Mouse Monoclonal antibody [1415-1] recognizes Histone |
|---|---|
| 反应物种 | Hu, Ms, Rat |
| 应用 | FACS, ICC/IF, IHC-P, WB |
| 宿主 | Mouse |
| 克隆 | Monoclonal |
| 克隆号 | 1415-1 |
| 同位型 | IgG2a, kappa |
| 靶点名称 | Histone |
| 抗原物种 | Human |
| 抗原 | Nuclei of Human leukemia biopsy cells. |
| 偶联标记 | Un-conjugated |
| 別名 | Histone H1.0; H1FV; H10; 0; Histone H1; Histone H1' |
应用说明
| 应用建议 |
|
||||||||||
|---|---|---|---|---|---|---|---|---|---|---|---|
| 应用说明 | Antigen retrieval for IHC-P: Staining of formalin/paraffin tissues requires boiling tissue sections in 10mM Citrate buffer, pH 6.0, for 10-20 min followed by cooling at RT for 20 min. * The dilutions indicate recommended starting dilutions and the optimal dilutions or concentrations should be determined by the scientist. |
属性
| 形式 | Liquid |
|---|---|
| 纯化 | Purification with Protein G. |
| 缓冲液 | PBS (pH 7.4), 0.05% Sodium azide and 0.1 mg/ml BSA |
| 抗菌剂 | 0.05% Sodium azide |
| 稳定剂 | 0.1 mg/ml BSA |
| 浓度 | 0.2 mg/ml |
| 存放说明 | For continuous use, store undiluted antibody at 2-8°C for up to a week. For long-term storage, aliquot and store at -20°C or below. Storage in frost free freezers is not recommended. Avoid repeated freeze/thaw cycles. Suggest spin the vial prior to opening. The antibody solution should be gently mixed before use. |
| 注意事项 | For laboratory research only, not for drug, diagnostic or other use. |
生物信息
| 数据库连接 | |
|---|---|
| 基因名称 | H1F0 |
| 全名 | H1 histone family, member 0 |
| 背景介绍 | Histones are basic nuclear proteins that are responsible for the nucleosome structure of the chromosomal fiber in eukaryotes. Nucleosomes consist of approximately 146 bp of DNA wrapped around a histone octamer composed of pairs of each of the four core histones (H2A, H2B, H3, and H4). The chromatin fiber is further compacted through the interaction of a linker histone, H1, with the DNA between the nucleosomes to form higher order chromatin structures. This gene is intronless and encodes a member of the histone H1 family. [provided by RefSeq, Jul 2008] |
| 生物功能 | Histones H1 are necessary for the condensation of nucleosome chains into higher-order structures. The H1F0 histones are found in cells that are in terminal stages of differentiation or that have low rates of cell division. [UniProt] |
| 细胞定位 | Nuclear |
| 预测分子量 | 21 kDa |
| 翻译后修饰 | Phosphorylated on Ser-17 in RNA edited version. ADP-ribosylated on Ser-104 in response to DNA damage. |
检测图片 (6) Click the Picture to Zoom In
-
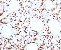
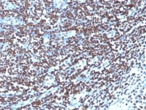
ARG56027 anti-Histone antibody [1415-1] IHC-P image
Immunohistochemistry: Formalin-fixed, paraffin-embedded Human tonsil stained with ARG56027 anti-Histone antibody [1415-1].
-
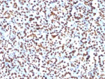
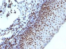
ARG56027 anti-Histone antibody [1415-1] IHC-P image
Immunohistochemistry: Formalin-fixed, paraffin-embedded Human tonsil stained with ARG56027 anti-Histone antibody [1415-1].
-
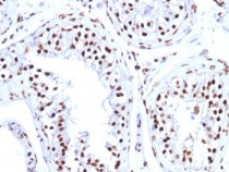
ARG56027 anti-Histone antibody [1415-1] IHC-P image
Immunohistochemistry: Formalin-fixed, paraffin-embedded Human testicular carcinoma stained with ARG56027 anti-Histone antibody [1415-1].
-
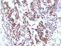
ARG56027 anti-Histone antibody [1415-1] IHC-P image
Immunohistochemistry: Formalin-fixed, paraffin-embedded Human pancreas stained with ARG56027 anti-Histone antibody [1415-1].
-
ARG56027 anti-Histone antibody [1415-1] IHC-P image
Immunohistochemistry: Formalin-fixed, paraffin-embedded Human ovarian carcinoma stained with ARG56027 anti-Histone antibody [1415-1].
-
ARG56027 anti-Histone antibody [1415-1] IHC-P image
Immunohistochemistry: Formalin-fixed, paraffin-embedded Human angiosarcoma stained with ARG56027 anti-Histone antibody [1415-1].
