ARG67283
anti-Histone H4 antibody [1A02]
anti-Histone H4 antibody [1A02] for ICC/IF,IHC-Formalin-fixed paraffin-embedded sections,Western blot and Human,Mouse,Rat
Gene Regulation antibody
概述
| 产品描述 | Rabbit Monoclonal antibody [1A02] recognizes Histone H4 |
|---|---|
| 反应物种 | Hu, Ms, Rat |
| 应用 | ICC/IF, IHC-P, WB |
| 宿主 | Rabbit |
| 克隆 | Monoclonal |
| 克隆号 | 1A02 |
| 同位型 | IgG,Kappa |
| 靶点名称 | Histone H4 |
| 偶联标记 | Un-conjugated |
| 別名 | H4/p; Histone H4 |
应用说明
| 应用建议 |
|
||||||||
|---|---|---|---|---|---|---|---|---|---|
| 应用说明 | * The dilutions indicate recommended starting dilutions and the optimal dilutions or concentrations should be determined by the scientist. |
属性
| 形式 | Liquid |
|---|---|
| 纯化 | Purification with Protein A |
| 缓冲液 | PBS, 0.05% Proclin 300, 50% Glycerol and 0.05% BSA |
| 抗菌剂 | 0.05% Proclin 300 |
| 稳定剂 | 50% Glycerol and 0.05% BSA |
| 存放说明 | For continuous use, store undiluted antibody at 2-8°C for up to a week. For long-term storage, aliquot and store at -20°C. Storage in frost free freezers is not recommended. Avoid repeated freeze/thaw cycles. Suggest spin the vial prior to opening. The antibody solution should be gently mixed before use. |
| 注意事项 | For laboratory research only, not for drug, diagnostic or other use. |
生物信息
| 数据库连接 | |
|---|---|
| 基因名称 | HIST4H4 |
| 全名 | histone cluster 4, H4 |
| 背景介绍 | Histones are basic nuclear proteins that are responsible for the nucleosome structure of the chromosomal fiber in eukaryotes. Nucleosomes consist of approximately 146 bp of DNA wrapped around a histone octamer composed of pairs of each of the four core histones (H2A, H2B, H3, and H4). The chromatin fiber is further compacted through the interaction of a linker histone, H1, with the DNA between the nucleosomes to form higher order chromatin structures. This gene is intronless and encodes a member of the histone H4 family. Transcripts from this gene lack polyA tails; instead, they contain a palindromic termination element. [provided by RefSeq, Jul 2008] |
| 产品亮点 | Related products: Histone H4 antibodies; Anti-Rabbit IgG secondary antibodies; |
| 研究领域 | Gene Regulation antibody |
| 预测分子量 | 11 kDa |
| 翻译后修饰 | Acetylation at Lys-6 (H4K5ac), Lys-9 (H4K8ac), Lys-13 (H4K12ac) and Lys-17 (H4K16ac) occurs in coding regions of the genome but not in heterochromatin. Citrullination at Arg-4 (H4R3ci) by PADI4 impairs methylation. Monomethylation and asymmetric dimethylation at Arg-4 (H4R3me1 and H4R3me2a, respectively) by PRMT1 favors acetylation at Lys-9 (H4K8ac) and Lys-13 (H4K12ac). Demethylation is performed by JMJD6. Symmetric dimethylation on Arg-4 (H4R3me2s) by the PRDM1/PRMT5 complex may play a crucial role in the germ-cell lineage. Monomethylated, dimethylated or trimethylated at Lys-21 (H4K20me1, H4K20me2, H4K20me3). Monomethylation is performed by SET8. Trimethylation is performed by KMT5B and KMT5C and induces gene silencing. Phosphorylated by PAK2 at Ser-48 (H4S47ph). This phosphorylation increases the association of H3.3-H4 with the histone chaperone HIRA, thus promoting nucleosome assembly of H3.3-H4 and inhibiting nucleosome assembly of H3.1-H4. Ubiquitinated by the CUL4-DDB-RBX1 complex in response to ultraviolet irradiation. This may weaken the interaction between histones and DNA and facilitate DNA accessibility to repair proteins. Monoubiquitinated at Lys-92 of histone H4 (H4K91ub1) in response to DNA damage. The exact role of H4K91ub1 in DNA damage response is still unclear but it may function as a licensing signal for additional histone H4 post-translational modifications such as H4 Lys-21 methylation (H4K20me). Sumoylated, which is associated with transcriptional repression. Crotonylation (Kcr) is specifically present in male germ cells and marks testis-specific genes in post-meiotic cells, including X-linked genes that escape sex chromosome inactivation in haploid cells. Crotonylation marks active promoters and enhancers and confers resistance to transcriptional repressors. It is also associated with post-meiotically activated genes on autosomes. |
检测图片 (5) Click the Picture to Zoom In
-
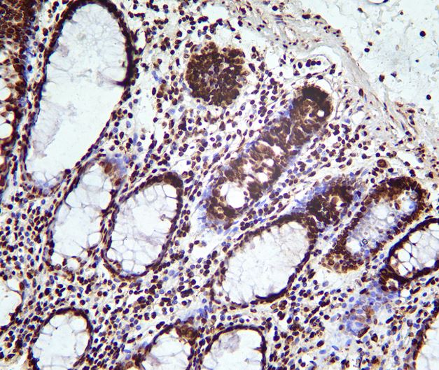
ARG67283 anti-Histone H4 antibody [1A02] IHC-P image
Immunohistochemistry: Human colon stained with ARG67283 anti-Histone H4 antibody [1A02].
-
ARG67283 anti-Histone H4 antibody [1A02] ICC/IF image
Immunofluorescence: Rat heart stained with ARG67283 anti-Histone H4 antibody [1A02].
-
ARG67283 anti-Histone H4 antibody [1A02] WB image
Western blot: Hela stained with ARG67283 anti-Histone H4 antibody [1A02].
-
ARG67283 anti-Histone H4 antibody [1A02] WB image
Western blot: C6 stained with ARG67283 anti-Histone H4 antibody [1A02].
-
ARG67283 anti-Histone H4 antibody [1A02] WB image
Western blot: NIH3T3 stained with ARG67283 anti-Histone H4 antibody [1A02].
