ARG57226
anti-Histone H2A.Z antibody [RM215]
anti-Histone H2A.Z antibody [RM215] for ICC/IF,Western blot and Human
概述
| 产品描述 | Rabbit Monoclonal antibody [RM215] recognizes Histone H2A.Z |
|---|---|
| 反应物种 | Hu |
| 应用 | ICC/IF, WB |
| 特异性 | This antibody reacts to Histone H2AZ protein, independent of post-translational modifications. No cross reactivity with other histone proteins. |
| 宿主 | Rabbit |
| 克隆 | Monoclonal |
| 克隆号 | RM215 |
| 同位型 | IgG |
| 靶点名称 | Histone H2A.Z |
| 抗原物种 | Human |
| 抗原 | Synthetic peptide around the C-terminus of Human Histone H2AZ. |
| 偶联标记 | Un-conjugated |
| 別名 | H2A/z; H2A.Z-1; H2AZ; Histone H2A.Z; H2A.z |
应用说明
| 应用建议 |
|
||||||
|---|---|---|---|---|---|---|---|
| 应用说明 | * The dilutions indicate recommended starting dilutions and the optimal dilutions or concentrations should be determined by the scientist. |
属性
| 形式 | Liquid |
|---|---|
| 纯化 | Purification with Protein A. |
| 缓冲液 | PBS, 0.09% Sodium azide, 50% Glycerol and 1% BSA. |
| 抗菌剂 | 0.09% Sodium azide |
| 稳定剂 | 50% Glycerol and 1% BSA |
| 浓度 | 1 mg/ml |
| 存放说明 | For continuous use, store undiluted antibody at 2-8°C for up to a week. For long-term storage, aliquot and store at -20°C. Storage in frost free freezers is not recommended. Avoid repeated freeze/thaw cycles. Suggest spin the vial prior to opening. The antibody solution should be gently mixed before use. |
| 注意事项 | For laboratory research only, not for drug, diagnostic or other use. |
生物信息
| 数据库连接 | |
|---|---|
| 基因名称 | H2AFZ |
| 全名 | H2A histone family, member Z |
| 背景介绍 | Histones are basic nuclear proteins that are responsible for the nucleosome structure of the chromosomal fiber in eukaryotes. Nucleosomes consist of approximately 146 bp of DNA wrapped around a histone octamer composed of pairs of each of the four core histones (H2A, H2B, H3, and H4). The chromatin fiber is further compacted through the interaction of a linker histone, H1, with the DNA between the nucleosomes to form higher order chromatin structures. This gene encodes a replication-independent member of the histone H2A family that is distinct from other members of the family. Studies in mice have shown that this particular histone is required for embryonic development and indicate that lack of functional histone H2A leads to embryonic lethality. [provided by RefSeq, Jul 2008] |
| 生物功能 | Variant histone H2A which replaces conventional H2A in a subset of nucleosomes. Nucleosomes wrap and compact DNA into chromatin, limiting DNA accessibility to the cellular machineries which require DNA as a template. Histones thereby play a central role in transcription regulation, DNA repair, DNA replication and chromosomal stability. DNA accessibility is regulated via a complex set of post-translational modifications of histones, also called histone code, and nucleosome remodeling. May be involved in the formation of constitutive heterochromatin. May be required for chromosome segregation during cell division. [UniProt] |
| 产品亮点 | Related products: Anti-Rabbit IgG secondary antibodies; Related poster download: Organelle Markers & Loading Control |
| 预测分子量 | 14 kDa |
| 翻译后修饰 | Monoubiquitination of Lys-122 gives a specific tag for epigenetic transcriptional repression. Acetylated on Lys-5, Lys-8 and Lys-12 during interphase. Acetylation disappears at mitosis (By similarity). Monomethylated on Lys-5 and Lys-8 by SETD6. SETD6 predominantly methylates Lys-8, lys-5 being a possible secondary site. Not phosphorylated. |
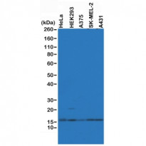
检测图片 (2) Click the Picture to Zoom In
-
ARG57226 anti-Histone H2A.Z antibody [RM215] ICC/IF image
Immunofluorescence: HeLa cells stained with ARG57226 anti-Histone H2A.Z antibody [RM215] (red). Actin filaments have been labeled with fluorescein phalloidin (green).
-
ARG57226 anti-Histone H2A.Z antibody [RM215] WB image
Western blot: A375, HEK293, HeLa and SK-MEL-2 whole cell lysates, stained with ARG57226 anti-Histone H2A.Z antibody [RM215] at 0.5 µg/ml.
