ARG40586
anti-Histone H2A hydroxyl (Tyr39) antibody
anti-Histone H2A hydroxyl (Tyr39) antibody for IHC-Formalin-fixed paraffin-embedded sections,Western blot and Human,Mouse,Rat
概述
| 产品描述 | Rabbit Polyclonal antibody recognizes Histone H2A hydroxyl (Tyr39) |
|---|---|
| 反应物种 | Hu, Ms, Rat |
| 应用 | IHC-P, WB |
| 宿主 | Rabbit |
| 克隆 | Polyclonal |
| 同位型 | IgG |
| 靶点名称 | Histone H2A |
| 抗原物种 | Human |
| 抗原 | Synthetic peptide derived from Human Histone H2A (hydroxyl Tyr39). |
| 偶联标记 | Un-conjugated |
| 別名 | Histone H2A.2; H2A.1; H2A.2; Histone H2A type 1-B/E; H2A/a; H2AFA; Histone H2A/m; Histone H2A/a |
应用说明
| 应用建议 |
|
||||||
|---|---|---|---|---|---|---|---|
| 应用说明 | * The dilutions indicate recommended starting dilutions and the optimal dilutions or concentrations should be determined by the scientist. |
属性
| 形式 | Liquid |
|---|---|
| 纯化 | Affinity purified. |
| 缓冲液 | PBS (pH 7.4), 150 mM NaCl, 0.02% Sodium azide and 50% Glycerol. |
| 抗菌剂 | 0.02% Sodium azide |
| 稳定剂 | 50% Glycerol |
| 存放说明 | For continuous use, store undiluted antibody at 2-8°C for up to a week. For long-term storage, aliquot and store at -20°C. Storage in frost free freezers is not recommended. Avoid repeated freeze/thaw cycles. Suggest spin the vial prior to opening. The antibody solution should be gently mixed before use. |
| 注意事项 | For laboratory research only, not for drug, diagnostic or other use. |
生物信息
| 数据库连接 | |
|---|---|
| 基因名称 | HIST1H2AE |
| 全名 | histone cluster 1, H2ae |
| 背景介绍 | Histones are basic nuclear proteins that are responsible for the nucleosome structure of the chromosomal fiber in eukaryotes. Nucleosomes consist of approximately 146 bp of DNA wrapped around a histone octamer composed of pairs of each of the four core histones (H2A, H2B, H3, and H4). The chromatin fiber is further compacted through the interaction of a linker histone, H1, with the DNA between the nucleosomes to form higher order chromatin structures. This gene is intronless and encodes a replication-dependent histone that is a member of the histone H2A family. Transcripts from this gene lack polyA tails; instead, they contain a palindromic termination element. This gene is found in the large histone gene cluster on chromosome 6p22-p21.3. [provided by RefSeq, Aug 2015] |
| 生物功能 | Core component of nucleosome. Nucleosomes wrap and compact DNA into chromatin, limiting DNA accessibility to the cellular machineries which require DNA as a template. Histones thereby play a central role in transcription regulation, DNA repair, DNA replication and chromosomal stability. DNA accessibility is regulated via a complex set of post-translational modifications of histones, also called histone code, and nucleosome remodeling. [UniProt] |
| 细胞定位 | Nucleus. Chromosome. [UniProt] |
| 预测分子量 | 14 kDa |
| 翻译后修饰 | Deiminated on Arg-4 in granulocytes upon calcium entry. Monoubiquitination of Lys-120 (H2AK119Ub) by RING1, TRIM27 and RNF2/RING2 complex gives a specific tag for epigenetic transcriptional repression and participates in X chromosome inactivation of female mammals. It is involved in the initiation of both imprinted and random X inactivation. Ubiquitinated H2A is enriched in inactive X chromosome chromatin. Ubiquitination of H2A functions downstream of methylation of 'Lys-27' of histone H3 (H3K27me). H2AK119Ub by RNF2/RING2 can also be induced by ultraviolet and may be involved in DNA repair. Monoubiquitination of Lys-120 (H2AK119Ub) by TRIM27 may promote transformation of cells in a number of breast cancers (PubMed:25470042). Following DNA double-strand breaks (DSBs), it is ubiquitinated through 'Lys-63' linkage of ubiquitin moieties by the E2 ligase UBE2N and the E3 ligases RNF8 and RNF168, leading to the recruitment of repair proteins to sites of DNA damage. Ubiquitination at Lys-14 and Lys-16 (H2AK13Ub and H2AK15Ub, respectively) in response to DNA damage is initiated by RNF168 that mediates monoubiquitination at these 2 sites, and 'Lys-63'-linked ubiquitin are then conjugated to monoubiquitin; RNF8 is able to extend 'Lys-63'-linked ubiquitin chains in vitro. H2AK119Ub and ionizing radiation-induced 'Lys-63'-linked ubiquitination (H2AK13Ub and H2AK15Ub) are distinct events. Phosphorylation on Ser-2 (H2AS1ph) is enhanced during mitosis. Phosphorylation on Ser-2 by RPS6KA5/MSK1 directly represses transcription. Acetylation of H3 inhibits Ser-2 phosphorylation by RPS6KA5/MSK1. Phosphorylation at Thr-121 (H2AT120ph) by DCAF1 is present in the regulatory region of many tumor suppresor genes and down-regulates their transcription. Glutamine methylation at Gln-105 (H2AQ104me) by FBL is specifically dedicated to polymerase I. It is present at 35S ribosomal DNA locus and impairs binding of the FACT complex (PubMed:24352239). Symmetric dimethylation on Arg-4 by the PRDM1/PRMT5 complex may play a crucial role in the germ-cell lineage. Crotonylation (Kcr) is specifically present in male germ cells and marks testis-specific genes in post-meiotic cells, including X-linked genes that escape sex chromosome inactivation in haploid cells. Crotonylation marks active promoters and enhancers and confers resistance to transcriptional repressors. It is also associated with post-meiotically activated genes on autosomes. [UniProt] |
检测图片 (2) Click the Picture to Zoom In
-
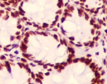
ARG40586 anti-Histone H2A hydroxyl (Tyr39) antibody IHC-P image
Immunohistochemistry: Paraffin-embedded Mouse colon tissue stained with ARG40586 anti-Histone H2A hydroxyl (Tyr39) antibody.
-
ARG40586 anti-Histone H2A hydroxyl (Tyr39) antibody WB image
Western blot: NIH/3T3 cell lysate stained with ARG40586 anti-Histone H2A hydroxyl (Tyr39) antibody.
