ARG41902
anti-Hepatocyte / Hep Par-1 antibody [HepPar1]
anti-Hepatocyte / Hep Par-1 antibody [HepPar1] for ICC/IF,IHC-Formalin-fixed paraffin-embedded sections and Human
概述
| 产品描述 | Mouse Monoclonal antibody [HepPar1] recognizes Hepatocyte / Hep Par-1 |
|---|---|
| 反应物种 | Hu |
| 应用 | ICC/IF, IHC-P |
| 宿主 | Mouse |
| 克隆 | Monoclonal |
| 克隆号 | HepPar1 |
| 同位型 | IgG1, kappa |
| 靶点名称 | Hepatocyte / Hep Par-1 |
| 抗原物种 | Human |
| 抗原 | Extract of a formalin-fixed, rejected-allograft of a Human liver. |
| 偶联标记 | Un-conjugated |
应用说明
| 应用建议 |
|
||||||
|---|---|---|---|---|---|---|---|
| 应用说明 | * The dilutions indicate recommended starting dilutions and the optimal dilutions or concentrations should be determined by the scientist. |
属性
| 形式 | Liquid |
|---|---|
| 纯化 | Purification with Protein G. |
| 缓冲液 | PBS, 0.05% Sodium azide and 0.1 mg/ml BSA. |
| 抗菌剂 | 0.05% Sodium azide |
| 稳定剂 | 0.1 mg/ml BSA |
| 浓度 | 0.2 mg/ml |
| 存放说明 | For continuous use, store undiluted antibody at 2-8°C for up to a week. For long-term storage, aliquot and store at -20°C or below. Storage in frost free freezers is not recommended. Avoid repeated freeze/thaw cycles. Suggest spin the vial prior to opening. The antibody solution should be gently mixed before use. |
| 注意事项 | For laboratory research only, not for drug, diagnostic or other use. |
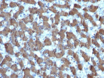
检测图片 (2) Click the Picture to Zoom In
-
ARG41902 anti-Hepatocyte / Hep Par-1 antibody [HepPar1] IHC-P image
Immunohistochemistry: Formalin-fixed and paraffin-embedded Human hepatocellular carcinoma stained with ARG41902 anti-Hepatocyte / Hep Par-1 antibody [HepPar1].
-
ARG41902 anti-Hepatocyte / Hep Par-1 antibody [HepPar1] IHC-P image
Immunohistochemistry: Formalin-fixed and paraffin-embedded Human liver tissue stained with ARG41902 anti-Hepatocyte / Hep Par-1 antibody [HepPar1].
