ARG42647
anti-Heparan Sulfate Proteoglycan 2 / Perlecan antibody
anti-Heparan Sulfate Proteoglycan 2 / Perlecan antibody for IHC-Formalin-fixed paraffin-embedded sections,Western blot and Human
概述
| 产品描述 | Rabbit Polyclonal antibody recognizes Heparan Sulfate Proteoglycan 2 / Perlecan |
|---|---|
| 反应物种 | Hu |
| 应用 | IHC-P, WB |
| 宿主 | Rabbit |
| 克隆 | Polyclonal |
| 同位型 | IgG |
| 靶点名称 | Heparan Sulfate Proteoglycan 2 / Perlecan |
| 抗原物种 | Human |
| 抗原 | Recombinant protein corresponding to F524-K701 of Human Heparan Sulfate Proteoglycan 2 / Perlecan. |
| 偶联标记 | Un-conjugated |
| 別名 | PRCAN; Perlecan; SJS; SJS1; HSPG; PLC; SJA; Basement membrane-specific heparan sulfate proteoglycan core protein |
应用说明
| 应用建议 |
|
||||||
|---|---|---|---|---|---|---|---|
| 应用说明 | * The dilutions indicate recommended starting dilutions and the optimal dilutions or concentrations should be determined by the scientist. |
属性
| 形式 | Liquid |
|---|---|
| 纯化 | Affinity purification with immunogen. |
| 缓冲液 | 0.2% Na2HPO4, 0.9% NaCl, 0.05% Sodium azide and 5% BSA. |
| 抗菌剂 | 0.05% Sodium azide |
| 稳定剂 | 5% BSA |
| 浓度 | 0.5 mg/ml |
| 存放说明 | For continuous use, store undiluted antibody at 2-8°C for up to a week. For long-term storage, aliquot and store at -20°C or below. Storage in frost free freezers is not recommended. Avoid repeated freeze/thaw cycles. Suggest spin the vial prior to opening. The antibody solution should be gently mixed before use. |
| 注意事项 | For laboratory research only, not for drug, diagnostic or other use. |
生物信息
| 数据库连接 |
Swiss-port # P98160 Human Basement membrane-specific heparan sulfate proteoglycan core protein |
|---|---|
| 基因名称 | HSPG2 |
| 全名 | heparan sulfate proteoglycan 2 |
| 背景介绍 | This gene encodes the perlecan protein, which consists of a core protein to which three long chains of glycosaminoglycans (heparan sulfate or chondroitin sulfate) are attached. The perlecan protein is a large multidomain proteoglycan that binds to and cross-links many extracellular matrix components and cell-surface molecules. It has been shown that this protein interacts with laminin, prolargin, collagen type IV, FGFBP1, FBLN2, FGF7 and transthyretin, etc., and it plays essential roles in multiple biological activities. Perlecan is a key component of the vascular extracellular matrix, where it helps to maintain the endothelial barrier function. It is a potent inhibitor of smooth muscle cell proliferation and is thus thought to help maintain vascular homeostasis. It can also promote growth factor (e.g., FGF2) activity and thus stimulate endothelial growth and re-generation. It is a major component of basement membranes, where it is involved in the stabilization of other molecules as well as being involved with glomerular permeability to macromolecules and cell adhesion. Mutations in this gene cause Schwartz-Jampel syndrome type 1, Silverman-Handmaker type of dyssegmental dysplasia, and tardive dyskinesia. Alternative splicing of this gene results in multiple transcript variants. [provided by RefSeq, May 2014] |
| 生物功能 | Integral component of basement membranes. Component of the glomerular basement membrane (GBM), responsible for the fixed negative electrostatic membrane charge, and which provides a barrier which is both size- and charge-selective. It serves as an attachment substrate for cells. Plays essential roles in vascularization. Critical for normal heart development and for regulating the vascular response to injury. Also required for avascular cartilage development. Endorepellin in an anti-angiogenic and anti-tumor peptide that inhibits endothelial cell migration, collagen-induced endothelial tube morphogenesis and blood vessel growth in the chorioallantoic membrane. Blocks endothelial cell adhesion to fibronectin and type I collagen. Anti-tumor agent in neovascularization. Interaction with its ligand, integrin alpha2/beta1, is required for the anti-angiogenic properties. Evokes a reduction in phosphorylation of receptor tyrosine kinases via alpha2/beta1 integrin-mediated activation of the tyrosine phosphatase, PTPN6. The LG3 peptide has anti-angiogenic properties that require binding of calcium ions for full activity. [UniProt] |
| 细胞定位 | Secreted, extracellular space, extracellular matrix, basement membrane. [UniProt] |
| 预测分子量 | 469 kDa |
| 翻译后修饰 | Proteolytic processing produces the C-terminal angiogenic peptide, endorepellin. This peptide can be further processed to produce the LG3 peptide. N- and O-glycosylated. O-glycosylated with core 1 or possibly core 8 glycans. Perlecan contains three heparan sulfate chains. The LG3 peptide contains at least three and up to five potential O-glycosylation sites but no N-glycosylation. [UniProt] |
检测图片 (2) Click the Picture to Zoom In
-
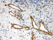
ARG42647 anti-Heparan Sulfate Proteoglycan 2 / Perlecan antibody IHC-P image
Immunohistochemistry: Paraffin-embedded Human lung cancer tissue stained with ARG42647 anti-Heparan Sulfate Proteoglycan 2 / Perlecan antibody.
-
ARG42647 anti-Heparan Sulfate Proteoglycan 2 / Perlecan antibody WB image
Western blot: 50 µg of samples under reducing conditions. Caco-2 and A549 whole cell lysates stained with ARG42647 anti-Heparan Sulfate Proteoglycan 2 / Perlecan antibody at 0.5 µg/ml dilution, overnight at 4°C.
