ARG44490
anti-HSDL2 antibody
anti-HSDL2 antibody for Flow cytometry,ICC/IF,IHC-Formalin-fixed paraffin-embedded sections,Western blot and Human,Mouse,Rat
概述
| 产品描述 | Rabbit Polyclonal antibody recognizes HSDL2 |
|---|---|
| 反应物种 | Hu, Ms, Rat |
| 应用 | FACS, ICC/IF, IHC-P, WB |
| 宿主 | Rabbit |
| 克隆 | Polyclonal |
| 同位型 | IgG |
| 靶点名称 | HSDL2 |
| 抗原物种 | Human |
| 抗原 | Human HSDL2 recombinant protein |
| 偶联标记 | Un-conjugated |
| 別名 | HSDL2; Hydroxysteroid Dehydrogenase Like 2; SDR13C1; C9orf99; Short Chain Dehydrogenase/Reductase Family 13C Member 1; Hydroxysteroid Dehydrogenase-Like Protein 2; Short Chain Dehydrogenase/Reductase Family 13C, Member 1; Chromosome 9 Open Reading Frame 99 |
应用说明
| 应用建议 |
|
||||||||||
|---|---|---|---|---|---|---|---|---|---|---|---|
| 应用说明 | The dilutions indicate recommended starting dilutions and the optimal dilutions or concentrations should be determined by the scientist. |
属性
| 形式 | Liquid |
|---|---|
| 纯化 | Affinity purified with Immunogen. |
| 缓冲液 | 0.9% NaCl, 0.2% Na2HPO4, 0.05% Sodium azide and 4% Trehalose. |
| 抗菌剂 | 0.05% Sodium azide |
| 稳定剂 | 4% Trehalose |
| 浓度 | 0.5 mg/ml |
| 存放说明 | For continuous use, store undiluted antibody at 2-8°C for up to a week. For long-term storage, aliquot and store at -20°C or below. Storage in frost free freezers is not recommended. Avoid repeated freeze/thaw cycles. Suggest spin the vial prior to opening. The antibody solution should be gently mixed before use. |
| 注意事项 | For laboratory research only, not for drug, diagnostic or other use. |
生物信息
| 数据库连接 | |
|---|---|
| 基因名称 | HSDL2 |
| 全名 | Hydroxysteroid Dehydrogenase Like 2 |
| 背景介绍 | Predicted to enable oxidoreductase activity. Located in mitochondrion and peroxisome. |
| 生物功能 | Has apparently no steroid dehydrogenase activity. |
| 细胞定位 | Peroxisome |
| 预测分子量 | 45 kDa |
| 翻译后修饰 | Acetylation, Hydroxylation |
检测图片 (7) Click the Picture to Zoom In
-
ARG44490 anti-HSDL2 antibody IHC-P image
Immunohistochemistry: Human liver cancer stained with ARG44490 anti-HSDL2 antibody at 2 μg/mL dilution.
-
ARG44490 anti-HSDL2 antibody ICC/IF image
Immunofluorescence: A549 stained with ARG44490 anti-HSDL2 antibody at 5 μg/mL dilution.
-
ARG44490 anti-HSDL2 antibody WB image
Western blot: 293T, HeLa, Caco-2 and HepG2 stained with ARG44490 anti-HSDL2 antibody at 0.5 μg/mL dilution.
-
ARG44490 anti-HSDL2 antibody FACS image
Flow Cytometry: HepG2 stained with ARG44490 anti-HSDL2 antibody at 1 μg/10^6 cells dilution.
-
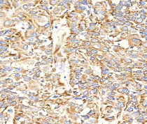
ARG44490 anti-HSDL2 antibody IHC-P image
Immunohistochemistry: Rat kidney stained with ARG44490 anti-HSDL2 antibody at 2 μg/mL dilution.
-
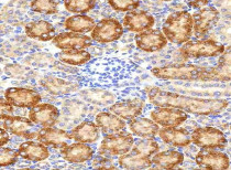
ARG44490 anti-HSDL2 antibody IHC-P image
Immunohistochemistry: Mouse kidney stained with ARG44490 anti-HSDL2 antibody at 2 μg/mL dilution.
-
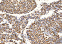
ARG44490 anti-HSDL2 antibody IHC-P image
Immunohistochemistry: Human urothelial carcinoma stained with ARG44490 anti-HSDL2 antibody at 2 μg/mL dilution.
