ARG45150
anti-HSD11B2 antibody
anti-HSD11B2 antibody for IHC-Frozen sections,IHC-Formalin-fixed paraffin-embedded sections,Western blot and Human,Mouse,Rat
概述
| 产品描述 | Rabbit Polyclonal antibody recognizes HSD11B2 |
|---|---|
| 反应物种 | Hu, Ms, Rat |
| 应用 | IHC-Fr, IHC-P, WB |
| 宿主 | Rabbit |
| 克隆 | Polyclonal |
| 同位型 | IgG |
| 靶点名称 | HSD11B2 |
| 抗原物种 | Human |
| 抗原 | Synthetic peptide corresponding to C-terminal region of human HSD11B2. |
| 偶联标记 | Un-conjugated |
| 別名 | HSD11B2; hydroxysteroid (11-beta) dehydrogenase 2; 11-beta-HSD; 11-DH2; Corticosteroid 11-beta-dehydrogenase isozyme 2; 11-beta-hydroxysteroid dehydrogenase type 2; 11-beta-hydroxysteroid dehydrogenase type II; HSD11K; AME; EC 1.1.1.-; 11-HSD type II; 11-beta-HSD type II; SDR9C3; AME1; HSD2; Short chain dehydrogenase/reductase family 9C member 3; NAD-dependent 11-beta-hydroxysteroid dehydrogenase; 11-beta-HSD2 |
应用说明
| 应用建议 |
|
||||||||
|---|---|---|---|---|---|---|---|---|---|
| 应用说明 | * The dilutions indicate recommended starting dilutions and the optimal dilutions or concentrations should be determined by the scientist. | ||||||||
| 实际分子量 | 43 kDa |
属性
| 形式 | Liquid |
|---|---|
| 纯化 | Affinity purification with immunogen. |
| 缓冲液 | 0.9% NaCl, 0.2% Na2HPO4, 0.05% Sodium azide and 5% BSA. |
| 抗菌剂 | 0.05% Sodium azide |
| 稳定剂 | 5% BSA |
| 浓度 | 0.5 mg/ml |
| 存放说明 | For continuous use, store undiluted antibody at 2-8°C for up to a week. For long-term storage, aliquot and store at -20°C or below. Storage in frost free freezers is not recommended. Avoid repeated freeze/thaw cycles. Suggest spin the vial prior to opening. The antibody solution should be gently mixed before use. |
| 注意事项 | For laboratory research only, not for drug, diagnostic or other use. |
生物信息
| 数据库连接 | |
|---|---|
| 基因名称 | HSD11B2 |
| 全名 | hydroxysteroid (11-beta) dehydrogenase 2 |
| 背景介绍 | There are at least two isozymes of the corticosteroid 11-beta-dehydrogenase, a microsomal enzyme complex responsible for the interconversion of cortisol and cortisone. The type I isozyme has both 11-beta-dehydrogenase (cortisol to cortisone) and 11-oxoreductase (cortisone to cortisol) activities. The type II isozyme, encoded by this gene, has only 11-beta-dehydrogenase activity. In aldosterone-selective epithelial tissues such as the kidney, the type II isozyme catalyzes the glucocorticoid cortisol to the inactive metabolite cortisone, thus preventing illicit activation of the mineralocorticoid receptor. In tissues that do not express the mineralocorticoid receptor, such as the placenta and testis, it protects cells from the growth-inhibiting and/or pro-apoptotic effects of cortisol, particularly during embryonic development. Mutations in this gene cause the syndrome of apparent mineralocorticoid excess and hypertension. [provided by RefSeq, Feb 2010] |
| 生物功能 | Catalyzes the conversion of cortisol to the inactive metabolite cortisone. Modulates intracellular glucocorticoid levels, thus protecting the nonselective mineralocorticoid receptor from occupation by glucocorticoids. [UniProt] |
| 细胞定位 | Microsome; Endoplasmic reticulum. [UniProt] |
| 预测分子量 | 44 kDa |
检测图片 (7) Click the Picture to Zoom In
-
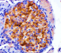
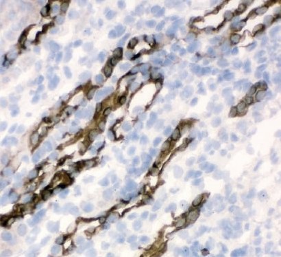
ARG45150 anti-HSD11B2 antibody IHC-P image
Immunohistochemistry: Human placenta stained with ARG45150 anti-HSD11B2 antibody at 5 μg/ml dilution.
-
ARG45150 anti-HSD11B2 antibody WB image
Western blot: Human placenta stained with ARG45150 anti-HSD11B2 antibody at 0.5 μg/ml dilution.
-
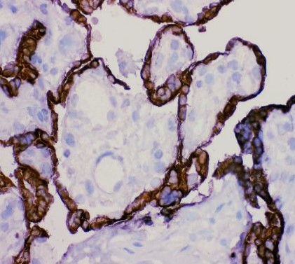
ARG45150 anti-HSD11B2 antibody IHC-Fr image
Immunohistochemistry: Frozen Rat kidney stained with ARG45150 anti-HSD11B2 antibody at 2 μg/ml dilution.
-
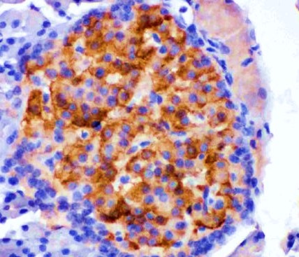
ARG45150 anti-HSD11B2 antibody IHC-P image
Immunohistochemistry: Rat Pancreas stained with ARG45150 anti-HSD11B2 antibody at 1 μg/ml dilution.
-
ARG45150 anti-HSD11B2 antibody WB image
Western blot: Rat kidney stained with ARG45150 anti-HSD11B2 antibody at 0.5 μg/ml dilution.
-
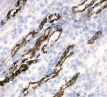
ARG45150 anti-HSD11B2 antibody IHC-Fr image
Immunohistochemistry: Frozen Mouse kidney stained with ARG45150 anti-HSD11B2 antibody at 2 μg/ml dilution.
-
ARG45150 anti-HSD11B2 antibody WB image
Western blot: Mouse kidney stained with ARG45150 anti-HSD11B2 antibody at 0.5 μg/ml dilution.
