ARG65207
anti-HOXD13 antibody
anti-HOXD13 antibody for ICC/IF,IHC-Formalin-fixed paraffin-embedded sections and Human
Gene Regulation antibody
概述
| 产品描述 | Goat Polyclonal antibody recognizes HOXD13 |
|---|---|
| 反应物种 | Hu |
| 预测物种 | Ms, Rat, Cow |
| 应用 | ICC/IF, IHC-P |
| 宿主 | Goat |
| 克隆 | Polyclonal |
| 同位型 | IgG |
| 靶点名称 | HOXD13 |
| 抗原物种 | Human |
| 抗原 | C-KSSFPGDVALNQPD |
| 偶联标记 | Un-conjugated |
| 別名 | BDE; HOX4I; Homeobox protein Hox-4I; Homeobox protein Hox-D13; SPD; BDSD |
应用说明
| 应用建议 |
|
||||||
|---|---|---|---|---|---|---|---|
| 应用说明 | IHC-P: Antigen Retrieval: Steam tissue section in Citrate buffer (pH 6.0). * The dilutions indicate recommended starting dilutions and the optimal dilutions or concentrations should be determined by the scientist. |
属性
| 形式 | Liquid |
|---|---|
| 纯化 | Purified from goat serum by antigen affinity chromatography. |
| 缓冲液 | Tris saline (pH 7.3), 0.02% Sodium azide and 0.5% BSA. |
| 抗菌剂 | 0.02% Sodium azide |
| 稳定剂 | 0.5% BSA |
| 浓度 | 0.5 mg/ml |
| 存放说明 | For continuous use, store undiluted antibody at 2-8°C for up to a week. For long-term storage, aliquot and store at -20°C or below. Storage in frost free freezers is not recommended. Avoid repeated freeze/thaw cycles. Suggest spin the vial prior to opening. The antibody solution should be gently mixed before use. |
| 注意事项 | For laboratory research only, not for drug, diagnostic or other use. |
生物信息
| 数据库连接 | |
|---|---|
| 背景介绍 | This gene belongs to the homeobox family of genes. The homeobox genes encode a highly conserved family of transcription factors that play an important role in morphogenesis in all multicellular organisms. Mammals possess four similar homeobox gene clusters, HOXA, HOXB, HOXC and HOXD, located on different chromosomes, consisting of 9 to 11 genes arranged in tandem. This gene is one of several homeobox HOXD genes located in a cluster on chromosome 2. Deletions that remove the entire HOXD gene cluster or the 5' end of this cluster have been associated with severe limb and genital abnormalities. Mutations in this particular gene cause synpolydactyly. [provided by RefSeq, Jul 2008] |
| 研究领域 | Gene Regulation antibody |
| 预测分子量 | 36 kDa |
检测图片 (3) Click the Picture to Zoom In
-
ARG65207 anti-HOXD13 antibody ICC/IF image
Immunofluorescence: Paraformaldehyde fixed HEK293 cells permeabilized with 0.15% Triton. Cells were stained with ARG65207 anti-HOXD13 antibody (green) at 10 µg/ml dilution for 1 hour. DAPI (blue) for nuclear staining. Negative control: Unimmunized goat IgG (green) at 10 µg/ml dilution.
-
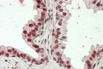
ARG65207 anti-HOXD13 antibody IHC-P image
Immunohistochemistry: paraffin embedded Human Prostate. (Steamed antigen retrieval with citrate buffer pH 6) stained with ARG65207 anti-HOXD13 antibody at 3.8 µg/ml dilution followed by AP-staining.
-
ARG65207 anti-HOXD13 antibody ICC/IF image
Immunofluorescence: Paraformaldehyde fixed U2OS cells permeabilized with 0.15% Triton. Cells were stained with ARG65207 anti-HOXD13 antibody (green) at 10 µg/ml dilution for 1 hour. DAPI (blue) for nuclear staining. Negative control: Unimmunized goat IgG (green) at 10 µg/ml dilution.
