ARG45184
anti-HOXD11 antibody
anti-HOXD11 antibody for Flow cytometry,ICC/IF,IHC-Formalin-fixed paraffin-embedded sections,Western blot and Human,Mouse,Rat
概述
| 产品描述 | Rabbit Polyclonal antibody recognizes HOXD11 |
|---|---|
| 反应物种 | Hu, Ms, Rat |
| 应用 | FACS, ICC/IF, IHC-P, WB |
| 宿主 | Rabbit |
| 克隆 | Polyclonal |
| 同位型 | IgG |
| 靶点名称 | HOXD11 |
| 抗原物种 | Human |
| 抗原 | Synthetic peptide corresponding to N-terminal region of human HOXD11. |
| 偶联标记 | Un-conjugated |
| 別名 | HOXD11; Homeobox D11; HOX4F; Homeobox Protein Hox-D11; Homeobox Protein Hox-4F_x000D_ Homeo Box D11; HOX4; Hox-4.6, Mouse, Homolog Of; Homeo Box 4F |
应用说明
| 应用建议 |
|
||||||||||
|---|---|---|---|---|---|---|---|---|---|---|---|
| 应用说明 | * The dilutions indicate recommended starting dilutions and the optimal dilutions or concentrations should be determined by the scientist. | ||||||||||
| 实际分子量 | 45 kDa |
属性
| 形式 | Liquid |
|---|---|
| 纯化 | Affinity purification with immunogen. |
| 缓冲液 | 0.9% NaCl, 0.2% Na2HPO4, 0.01% Sodium azide and 4% Trehalose. |
| 抗菌剂 | 0.01% Sodium azide |
| 稳定剂 | 4% Trehalose |
| 浓度 | 0.5 mg/ml |
| 存放说明 | For continuous use, store undiluted antibody at 2-8°C for up to a week. For long-term storage, aliquot and store at -20°C or below. Storage in frost free freezers is not recommended. Avoid repeated freeze/thaw cycles. Suggest spin the vial prior to opening. The antibody solution should be gently mixed before use. |
| 注意事项 | For laboratory research only, not for drug, diagnostic or other use. |
生物信息
| 数据库连接 | |
|---|---|
| 基因名称 | HOXD11 |
| 全名 | Homeobox D11 |
| 背景介绍 | This gene belongs to the homeobox family of genes. The homeobox genes encode a highly conserved family of transcription factors that play an important role in morphogenesis in all multicellular organisms. Mammals possess four similar homeobox gene clusters, HOXA, HOXB, HOXC and HOXD, located on different chromosomes, consisting of 9 to 11 genes arranged in tandem. This gene is one of several homeobox HOXD genes located in a cluster on chromosome 2. Deletions that remove the entire HOXD gene cluster or the 5' end of this cluster have been associated with severe limb and genital abnormalities. The product of the mouse Hoxd11 gene plays a role in forelimb morphogenesis. [provided by RefSeq, Jul 2008] |
| 生物功能 | Sequence-specific transcription factor which is part of a developmental regulatory system that provides cells with specific positional identities on the anterior-posterior axis. [UniProt] |
| 细胞定位 | Nucleus. [UniProt] |
| 预测分子量 | 35 kDa |
检测图片 (7) Click the Picture to Zoom In
-
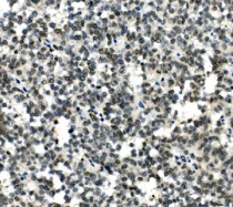
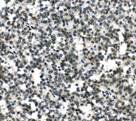
ARG45184 anti-HOXD11 antibody IHC-P image
Immunohistochemistry: Human melanoma stained with ARG45184 anti-HOXD11 antibody at 1 μg/ml dilution.
-
ARG45184 anti-HOXD11 antibody ICC/IF image
Immunofluorescence: A431 stained with ARG45184 anti-HOXD11 antibody at 5 ug/ml dilution.
-
ARG45184 anti-HOXD11 antibody WB image
Western blot: K562, Hek293, U87, A431,and A549 stained with ARG45184 anti-HOXD11 antibody at 0.5 μg/ml dilution.
-
ARG45184 anti-HOXD11 antibody FACS image
Flow Cytometry: 293T stained with ARG45184 anti-HOXD11 antibody at 1 µg/10^6 cells dilution.
-
ARG45184 anti-HOXD11 antibody FACS image
Flow Cytometry: NRK stained with ARG45184 anti-HOXD11 antibody at 1 µg/10^6 cells dilution.
-
ARG45184 anti-HOXD11 antibody WB image
Western blot: Mouse kidney stained with ARG45184 anti-HOXD11 antibody at 0.5 μg/ml dilution.
-
ARG45184 anti-HOXD11 antibody FACS image
Flow Cytometry: RAW264.7 stained with ARG45184 anti-HOXD11 antibody at 1 µg/10^6 cells dilution.
