ARG42185
anti-HOXC10 antibody
anti-HOXC10 antibody for IHC-Formalin-fixed paraffin-embedded sections,Western blot and Human
概述
| 产品描述 | Goat Polyclonal antibody recognizes HOXC10 |
|---|---|
| 反应物种 | Hu |
| 预测物种 | Cow, Pig |
| 应用 | IHC-P, WB |
| 宿主 | Goat |
| 克隆 | Polyclonal |
| 同位型 | IgG |
| 靶点名称 | HOXC10 |
| 抗原物种 | Human |
| 抗原 | Synthetic peptide around the internal region of Human HOXC10. (C-EQRASLNPRAEHLE) (NP_059105.2) |
| 偶联标记 | Un-conjugated |
| 別名 | HOX3I; Homeobox protein Hox-3I; Homeobox protein Hox-C10 |
应用说明
| 应用建议 |
|
||||||
|---|---|---|---|---|---|---|---|
| 应用说明 | WB: Recommend incubate at RT for 1h. IHC-P: Antigen Retrieval: Steam tissue section in Citrate buffer (pH 6.0). * The dilutions indicate recommended starting dilutions and the optimal dilutions or concentrations should be determined by the scientist. |
||||||
| 阳性对照 | HepG2 | ||||||
| 实际分子量 | ~ 36 kDa |
属性
| 形式 | Liquid |
|---|---|
| 纯化 | Affinity purified |
| 缓冲液 | Tris saline (pH 7.3), 0.02% Sodium azide and 0.5% BSA. |
| 抗菌剂 | 0.02% Sodium azide |
| 稳定剂 | 0.5% BSA |
| 浓度 | 0.5 mg/ml |
| 存放说明 | For continuous use, store undiluted antibody at 2-8°C for up to a week. For long-term storage, aliquot and store at -20°C or below. Storage in frost free freezers is not recommended. Avoid repeated freeze/thaw cycles. Suggest spin the vial prior to opening. The antibody solution should be gently mixed before use. |
| 注意事项 | For laboratory research only, not for drug, diagnostic or other use. |
生物信息
| 数据库连接 | |
|---|---|
| 基因名称 | HOXC10 |
| 全名 | homeobox C10 |
| 背景介绍 | This gene belongs to the homeobox family of genes. The homeobox genes encode a highly conserved family of transcription factors that play an important role in morphogenesis in all multicellular organisms. Mammals possess four similar homeobox gene clusters, HOXA, HOXB, HOXC and HOXD, which are located on different chromosomes and consist of 9 to 11 genes arranged in tandem. This gene is one of several homeobox HOXC genes located in a cluster on chromosome 12. The protein level is controlled during cell differentiation and proliferation, which may indicate this protein has a role in origin activation. [provided by RefSeq, Jul 2008] |
| 生物功能 | Sequence-specific transcription factor which is part of a developmental regulatory system that provides cells with specific positional identities on the anterior-posterior axis. [UniProt] |
| 细胞定位 | Nucleus. [UniProt] |
| 预测分子量 | 38 kDa |
检测图片 (2) Click the Picture to Zoom In
-
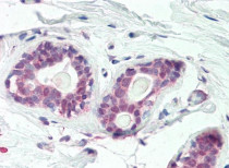
ARG42185 anti-HOXC10 antibody IHC-P image
Immunohistochemistry: Paraffin-embedded Human breast tissue. Antigen Retrieval: Steam tissue section in Citrate buffer (pH 6.0). The tissue section was stained with ARG42185 anti-HOXC10 antibody at 5 µg/ml dilution followed by AP-staining.
-
ARG42185 anti-HOXC10 antibody WB image
Western blot: 35 µg of HepG2 cell lysate (in RIPA buffer) stained with ARG42185 anti-HOXC10 antibody at 1 µg/ml dilution and incubated at RT for 1 hour.
