ARG42162
anti-HOXC10 antibody
anti-HOXC10 antibody for IHC-Formalin-fixed paraffin-embedded sections,Western blot and Human,Mouse
概述
| 产品描述 | Rabbit Polyclonal antibody recognizes HOXC10 |
|---|---|
| 反应物种 | Hu, Ms |
| 应用 | IHC-P, WB |
| 宿主 | Rabbit |
| 克隆 | Polyclonal |
| 同位型 | IgG |
| 靶点名称 | HOXC10 |
| 抗原物种 | Mouse |
| 抗原 | KLH-conjugated synthetic peptide between aa. 217-246 of Mouse HOXC10. |
| 偶联标记 | Un-conjugated |
| 別名 | HOX3I; Homeobox protein Hox-3I; Homeobox protein Hox-C10 |
应用说明
| 应用建议 |
|
||||||
|---|---|---|---|---|---|---|---|
| 应用说明 | * The dilutions indicate recommended starting dilutions and the optimal dilutions or concentrations should be determined by the scientist. | ||||||
| 阳性对照 | HeLa | ||||||
| 实际分子量 | ~ 50 kDa |
属性
| 形式 | Liquid |
|---|---|
| 纯化 | Purification with Protein A and immunogen peptide. |
| 缓冲液 | PBS and 0.09% (W/V) Sodium azide. |
| 抗菌剂 | 0.09% (W/V) Sodium azide |
| 存放说明 | For continuous use, store undiluted antibody at 2-8°C for up to a week. For long-term storage, aliquot and store at -20°C or below. Storage in frost free freezers is not recommended. Avoid repeated freeze/thaw cycles. Suggest spin the vial prior to opening. The antibody solution should be gently mixed before use. |
| 注意事项 | For laboratory research only, not for drug, diagnostic or other use. |
生物信息
| 数据库连接 | |
|---|---|
| 基因名称 | HOXC10 |
| 全名 | homeobox C10 |
| 背景介绍 | This gene belongs to the homeobox family of genes. The homeobox genes encode a highly conserved family of transcription factors that play an important role in morphogenesis in all multicellular organisms. Mammals possess four similar homeobox gene clusters, HOXA, HOXB, HOXC and HOXD, which are located on different chromosomes and consist of 9 to 11 genes arranged in tandem. This gene is one of several homeobox HOXC genes located in a cluster on chromosome 12. The protein level is controlled during cell differentiation and proliferation, which may indicate this protein has a role in origin activation. [provided by RefSeq, Jul 2008] |
| 生物功能 | Sequence-specific transcription factor which is part of a developmental regulatory system that provides cells with specific positional identities on the anterior-posterior axis. [UniProt] |
| 细胞定位 | Nucleus. [UniProt] |
| 预测分子量 | 38 kDa |
检测图片 (2) Click the Picture to Zoom In
-
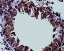
ARG42162 anti-HOXC10 antibody IHC-P image
Immunohistochemistry: Formalin-fixed and paraffin-embedded Mouse lung tissue stained with ARG42162 anti-HOXC10 antibody.
-
ARG42162 anti-HOXC10 antibody WB image
Western blot: 35 µg of HeLa cell lysate stained with ARG42162 anti-HOXC10 antibody at 1:1000 dilution.
