ARG41602
anti-HOXB9 antibody
anti-HOXB9 antibody for IHC-Formalin-fixed paraffin-embedded sections and Human
概述
| 产品描述 | Rabbit Polyclonal antibody recognizes HOXB9 |
|---|---|
| 反应物种 | Hu |
| 预测物种 | Ms, Rat, Cow, Dog, Hrs, Pig, Rb |
| 应用 | IHC-P |
| 宿主 | Rabbit |
| 克隆 | Polyclonal |
| 同位型 | IgG |
| 靶点名称 | HOXB9 |
| 抗原物种 | Human |
| 抗原 | Synthetic peptide around the N-terminal region of Human HOXB9. (within the following region: SPHASGSLPSVYHPYIQPQGVPPAESRYLRTWLEPAPRGEAAPGQGQAAV) |
| 偶联标记 | Un-conjugated |
| 別名 | HOX2; Homeobox protein Hox-2.5; HOX2E; Homeobox protein Hox-2E; Homeobox protein Hox-B9; HOX-2.5 |
应用说明
| 预测反应性说明 | Predicted Homology Based On Immunogen Sequence: Cow: 100%; Dog: 93%; Horse: 100%; Mouse: 79%; Pig: 100%; Rabbit: 100%; Rat: 79% | ||||
|---|---|---|---|---|---|
| 应用建议 |
|
||||
| 应用说明 | * The dilutions indicate recommended starting dilutions and the optimal dilutions or concentrations should be determined by the scientist. | ||||
| 阳性对照 | Human fetal liver |
属性
| 形式 | Liquid |
|---|---|
| 纯化 | Affinity purified. |
| 缓冲液 | PBS, 0.09% (w/v) Sodium azide and 2% Sucrose. |
| 抗菌剂 | 0.09% (w/v) Sodium azide |
| 稳定剂 | 2% Sucrose |
| 浓度 | Batch dependent: 0.5 - 1 mg/ml |
| 存放说明 | For continuous use, store undiluted antibody at 2-8°C for up to a week. For long-term storage, aliquot and store at -20°C or below. Storage in frost free freezers is not recommended. Avoid repeated freeze/thaw cycles. Suggest spin the vial prior to opening. The antibody solution should be gently mixed before use. |
| 注意事项 | For laboratory research only, not for drug, diagnostic or other use. |
生物信息
| 数据库连接 | |
|---|---|
| 基因名称 | HOXB9 |
| 全名 | homeobox B9 |
| 背景介绍 | This gene is a member of the Abd-B homeobox family and encodes a protein with a homeobox DNA-binding domain. It is included in a cluster of homeobox B genes located on chromosome 17. The encoded nuclear protein functions as a sequence-specific transcription factor that is involved in cell proliferation and differentiation. Increased expression of this gene is associated with some cases of leukemia, prostate cancer and lung cancer. [provided by RefSeq, Jul 2008] |
| 生物功能 | Sequence-specific transcription factor which is part of a developmental regulatory system that provides cells with specific positional identities on the anterior-posterior axis. [UniProt] |
| 细胞定位 | Nucleus. [UniProt] |
| 预测分子量 | 28 kDa |
检测图片 (3) Click the Picture to Zoom In
-
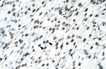
ARG41602 anti-HOXB9 antibody IHC-P image
Immunohistochemistry: Paraffin-embedded Human heart tissue stained with ARG41602 anti-HOXB9 antibody.
-
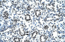
ARG41602 anti-HOXB9 antibody IHC-P image
Immunohistochemistry: Paraffin-embedded Human lung tissue stained with ARG41602 anti-HOXB9 antibody.
-
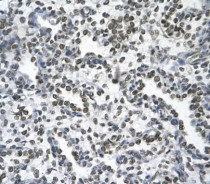
ARG41602 anti-HOXB9 antibody IHC-P image
Immunohistochemistry: Paraffin-embedded Human alveolar tissue (epithelial cells of renal tubule) stained with ARG41602 anti-HOXB9 antibody at 4 - 8 µg/ml dilution.
