ARG45486
anti-HOXA4 antibody
anti-HOXA4 antibody for ICC/IF,IHC-Formalin-fixed paraffin-embedded sections,Western blot and Human,Mouse,Rat
概述
| 产品描述 | Rabbit Polyclonal antibody recognizes HOXA4 |
|---|---|
| 反应物种 | Hu, Ms, Rat |
| 应用 | ICC/IF, IHC-P, WB |
| 宿主 | Rabbit |
| 克隆 | Polyclonal |
| 同位型 | IgG |
| 靶点名称 | HOXA4 |
| 抗原物种 | Human |
| 抗原 | Synthetic peptide corresponding to N-terminal region of human HOXA4. |
| 偶联标记 | Un-conjugated |
| 別名 | Homeobox protein Hox-1D; HOX1; HOX1D; Homeobox protein Hox-A4; Homeobox protein Hox-1.4 |
应用说明
| 应用建议 |
|
||||||||
|---|---|---|---|---|---|---|---|---|---|
| 应用说明 | * The dilutions indicate recommended starting dilutions and the optimal dilutions or concentrations should be determined by the scientist. |
属性
| 形式 | Liquid |
|---|---|
| 纯化 | Affinity purified |
| 缓冲液 | 0.9% NaCl, 0.2% Na2HPO4, 0.05% Thimerosal, 0.05% Sodium azide and 5% BSA. |
| 抗菌剂 | 0.05% Thimerosal and 0.05% Sodium azide |
| 稳定剂 | 5% BSA |
| 浓度 | 0.5 mg/ml |
| 存放说明 | For continuous use, store undiluted antibody at 2-8°C for up to a week. For long-term storage, aliquot and store at -20°C or below. Storage in frost free freezers is not recommended. Avoid repeated freeze/thaw cycles. Suggest spin the vial prior to opening. The antibody solution should be gently mixed before use. |
| 注意事项 | For laboratory research only, not for drug, diagnostic or other use. |
生物信息
| 数据库连接 | |
|---|---|
| 基因名称 | HOXA4 |
| 全名 | Homeobox A4 |
| 背景介绍 | In vertebrates, the genes encoding the class of transcription factors called homeobox genes are found in clusters named A, B, C, and D on four separate chromosomes. Expression of these proteins is spatially and temporally regulated during embryonic development. This gene is part of the A cluster on chromosome 7 and encodes a DNA-binding transcription factor which may regulate gene expression, morphogenesis, and differentiation. [provided by RefSeq, Jul 2008] |
| 生物功能 | Sequence-specific transcription factor which is part of a developmental regulatory system that provides cells with specific positional identities on the anterior-posterior axis. Binds to sites in the 5'-flanking sequence of its coding region with various affinities. The consensus sequences of the high and low affinity binding sites are 5'-TAATGA[CG]-3' and 5'-CTAATTTT-3'. [UniProt] |
| 细胞定位 | Nucleus. [UniProt] |
| 预测分子量 | 34 kDa |
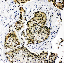
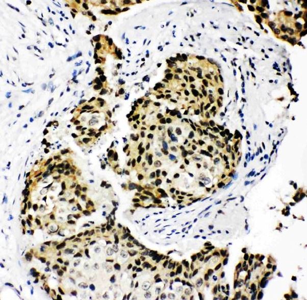
检测图片 (2) Click the Picture to Zoom In
