ARG58909
anti-HOXA10 antibody
anti-HOXA10 antibody for IHC-Formalin-fixed paraffin-embedded sections and Human
概述
| 产品描述 | Goat Polyclonal antibody recognizes HOXA10 |
|---|---|
| 反应物种 | Hu |
| 预测物种 | Ms, Cow, Pig |
| 应用 | IHC-P |
| 宿主 | Goat |
| 克隆 | Polyclonal |
| 同位型 | IgG |
| 靶点名称 | HOXA10 |
| 抗原物种 | Human |
| 抗原 | Synthetic peptide from the internal region of Human HOXA10. (NP_061824.3) (PQATSCSFAQNIKE) |
| 偶联标记 | Un-conjugated |
| 別名 | Homeobox protein Hox-1H; HOX1; HOX1.8; Homeobox protein Hox-A10; Homeobox protein Hox-1.8; PL; HOX1H |
应用说明
| 应用建议 |
|
||||
|---|---|---|---|---|---|
| 应用说明 | IHC-P: Antigen Retrieval: Heat mediation was performed in Citrate buffer (pH 6.0). * The dilutions indicate recommended starting dilutions and the optimal dilutions or concentrations should be determined by the scientist. |
||||
| 实际分子量 | ~ 37 kDa |
属性
| 形式 | Liquid |
|---|---|
| 纯化 | Affinity purified |
| 缓冲液 | Tris saline (pH 7.3), 0.02% Sodium azide and 0.5% BSA. |
| 抗菌剂 | 0.02% Sodium azide |
| 稳定剂 | 0.5% BSA |
| 浓度 | 0.5 mg/ml |
| 存放说明 | For continuous use, store undiluted antibody at 2-8°C for up to a week. For long-term storage, aliquot and store at -20°C or below. Storage in frost free freezers is not recommended. Avoid repeated freeze/thaw cycles. Suggest spin the vial prior to opening. The antibody solution should be gently mixed before use. |
| 注意事项 | For laboratory research only, not for drug, diagnostic or other use. |
生物信息
| 数据库连接 | |
|---|---|
| 基因名称 | HOXA10 |
| 全名 | homeobox A10 |
| 背景介绍 | In vertebrates, the genes encoding the class of transcription factors called homeobox genes are found in clusters named A, B, C, and D on four separate chromosomes. Expression of these proteins is spatially and temporally regulated during embryonic development. This gene is part of the A cluster on chromosome 7 and encodes a DNA-binding transcription factor that may regulate gene expression, morphogenesis, and differentiation. More specifically, it may function in fertility, embryo viability, and regulation of hematopoietic lineage commitment. Alternatively spliced transcript variants have been described. Read-through transcription also exists between this gene and the downstream homeobox A9 (HOXA9) gene. [provided by RefSeq, Mar 2011] |
| 生物功能 | Sequence-specific transcription factor which is part of a developmental regulatory system that provides cells with specific positional identities on the anterior-posterior axis. Binds to the DNA sequence 5'-AA[AT]TTTTATTAC-3'. [UniProt] |
| 细胞定位 | Nucleus. [UniProt] |
| 预测分子量 | 42 kDa |
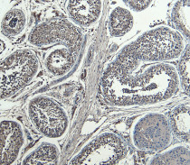
检测图片 (2) Click the Picture to Zoom In
-
ARG58909 anti-HOXA10 antibody IHC-P image
Immunohistochemistry: Paraffin-embedded Human testis stained with ARG58909 anti-HOXA10 antibody at 5 µg/ml dilution. Antigen Retrieval: Steam tissue section in Citrate buffer (pH 6.0).
-
ARG58909 anti-HOXA10 antibody IHC-P image
Immunohistochemistry: Paraffin-embedded Human testis tissue. Antigen Retrieval: Heat mediation was performed in Citrate buffer (pH 6.0). The tissue section was stained with ARG58909 anti-HOXA10 antibody at 7 µg/ml dilution followed by HRP-staining.
