ARG66440
anti-HMGN1 phospho (Ser21) antibody
anti-HMGN1 phospho (Ser21) antibody for ICC/IF,IHC-Formalin-fixed paraffin-embedded sections and Human,Monkey
概述
| 产品描述 | Rabbit Polyclonal antibody recognizes HMGN1 phospho (Ser21) |
|---|---|
| 反应物种 | Hu, Mk |
| 应用 | ICC/IF, IHC-P |
| 特异性 | The antibody detects endogenous levels of HMG-14 protein only when phosphorylated at S21. |
| 宿主 | Rabbit |
| 克隆 | Polyclonal |
| 同位型 | IgG |
| 靶点名称 | HMGN1 |
| 抗原物种 | Human |
| 抗原 | Phosphospecific peptide around Ser21 of Human HMGN1. |
| 偶联标记 | Un-conjugated |
| 別名 | HMG14; Non-histone chromosomal protein HMG-14; High mobility group nucleosome-binding domain-containing protein 1 |
应用说明
| 应用建议 |
|
||||||
|---|---|---|---|---|---|---|---|
| 应用说明 | IHC-P: Antigen Retrieval: High-pressure and temperature EDTA buffer (pH 8.0). * The dilutions indicate recommended starting dilutions and the optimal dilutions or concentrations should be determined by the scientist. |
属性
| 形式 | Liquid |
|---|---|
| 纯化 | Affinity purification with immunogen. |
| 缓冲液 | PBS, 0.02% Sodium azide, 50% Glycerol and 0.5% BSA. |
| 抗菌剂 | 0.02% Sodium azide |
| 稳定剂 | 50% Glycerol and 0.5% BSA |
| 浓度 | 1 mg/ml |
| 存放说明 | For continuous use, store undiluted antibody at 2-8°C for up to a week. For long-term storage, aliquot and store at -20°C. Storage in frost free freezers is not recommended. Avoid repeated freeze/thaw cycles. Suggest spin the vial prior to opening. The antibody solution should be gently mixed before use. |
| 注意事项 | For laboratory research only, not for drug, diagnostic or other use. |
生物信息
| 数据库连接 |
Swiss-port # P05114 Human Non-histone chromosomal protein HMG-14 |
|---|---|
| 基因名称 | HMGN1 |
| 全名 | high mobility group nucleosome binding domain 1 |
| 背景介绍 | The protein encoded by this gene binds nucleosomal DNA and is associated with transcriptionally active chromatin. Along with a similar protein, HMG17, the encoded protein may help maintain an open chromatin configuration around transcribable genes. [provided by RefSeq, Aug 2011] |
| 生物功能 | Binds to the inner side of the nucleosomal DNA thus altering the interaction between the DNA and the histone octamer. May be involved in the process which maintains transcribable genes in a unique chromatin conformation. Inhibits the phosphorylation of nucleosomal histones H3 and H2A by RPS6KA5/MSK1 and RPS6KA3/RSK2 (By similarity). [UniProt] |
| 细胞定位 | Nucleus. Cytoplasm. Note=Cytoplasmic enrichment upon phosphorylation. The RNA edited version localizes to the nucleus. [UniProt] |
| 预测分子量 | 11 kDa |
| 翻译后修饰 | Phosphorylation on Ser-21 and Ser-25 weakens binding to nucleosomes and increases the rate of H3 phosphorylation (By similarity). Phosphorylation favors cytoplasmic localization. [UniProt] |
检测图片 (3) Click the Picture to Zoom In
-
ARG66440 anti-HMGN1 phospho (Ser21) antibody ICC/IF image
Immunofluorescence: COS7 cells stained with ARG66440 anti-HMGN1 phospho (Ser21) antibody. The picture on the right is blocked with the phospho peptide.
-
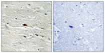
ARG66440 anti-HMGN1 phospho (Ser21) antibody IHC-P image
Immunohistochemistry: Paraffin-embedded Human brain stained with ARG66440 anti-HMGN1 phospho (Ser21) antibody at 1:100, 4°C, overnight. Antigen Retrieval: High-pressure and temperature EDTA buffer (pH 8.0). The picture on the right is blocked with the phospho peptide.
-
ARG66440 anti-HMGN1 phospho (Ser21) antibody IHC-P image
Immunohistochemistry: Paraffin-embedded Human breast carcinoma stained with ARG66440 anti-HMGN1 phospho (Ser21) antibody. The picture on the right is blocked with the phospho peptide.
