ARG45735
anti-HMGB3 / HMG4 antibody
anti-HMGB3 / HMG4 antibody for Flow cytometry,ICC/IF,IHC-Formalin-fixed paraffin-embedded sections,Western blot and Human,Mouse,Rat
概述
| 产品描述 | Rabbit Polyclonal antibody recognizes HMGB3 / HMG4 |
|---|---|
| 反应物种 | Hu, Ms, Rat |
| 应用 | FACS, ICC/IF, IHC-P, WB |
| 宿主 | Rabbit |
| 克隆 | Polyclonal |
| 同位型 | IgG |
| 靶点名称 | HMGB3 / HMG4 |
| 抗原物种 | Human |
| 抗原 | Synthetic peptide corresponding to N-terminal region of human HMGB3 / HMG4. |
| 偶联标记 | Un-conjugated |
| 別名 | HMGB3; High Mobility Group Box 3; High mobility group protein 2a; HMG2A; HMG-2a; High mobility group protein B3; High mobility group protein 4; HMG4; HMG-4 |
应用说明
| 应用建议 |
|
||||||||||
|---|---|---|---|---|---|---|---|---|---|---|---|
| 应用说明 | * The dilutions indicate recommended starting dilutions and the optimal dilutions or concentrations should be determined by the scientist. | ||||||||||
| 实际分子量 | 23 kDa |
属性
| 形式 | Liquid |
|---|---|
| 纯化 | Affinity purified |
| 缓冲液 | 0.9% NaCl, 0.2% Na2HPO4, 0.05% Sodium azide and 5% BSA. |
| 抗菌剂 | 0.05% Sodium azide |
| 稳定剂 | 5% BSA |
| 浓度 | 0.5 mg/ml |
| 存放说明 | For continuous use, store undiluted antibody at 2-8°C for up to a week. For long-term storage, aliquot and store at -20°C or below. Storage in frost free freezers is not recommended. Avoid repeated freeze/thaw cycles. Suggest spin the vial prior to opening. The antibody solution should be gently mixed before use. |
| 注意事项 | For laboratory research only, not for drug, diagnostic or other use. |
生物信息
| 数据库连接 | |
|---|---|
| 基因名称 | HMGB3 |
| 全名 | High Mobility Group Box 3 |
| 背景介绍 | HMGB3 belongs to the high mobility group (HMG) protein superfamily. Like HMG1 (MIM 163905) and HMG2 (MIM 163906), HMGB3 contains DNA-binding HMG box domains and is classified into the HMG box subfamily. Members of the HMG box subfamily are thought to play a fundamental role in DNA replication, nucleosome assembly and transcription (Wilke et al., 1997 [PubMed 9370291]; Nemeth et al., 2006 [PubMed 16945912]).[supplied by OMIM, Mar 2008] |
| 生物功能 | Multifunctional protein with various roles in different cellular compartments. May act in a redox sensitive manner. Associates with chromatin and binds DNA with a preference for non-canonical DNA structures such as single-stranded DNA. Can bend DNA and enhance DNA flexibility by looping thus providing a mechanism to promote activities on various gene promoters (By similarity). Proposed to be involved in the innate immune response to nucleic acids by acting as a cytoplasmic promiscuous immunogenic DNA/RNA sensor (By similarity). Negatively regulates B-cell and myeloid cell differentiation. In hematopoietic stem cells may regulate the balance between self-renewal and differentiation. Involved in negative regulation of canonical Wnt signaling (By similarity). [UniProt] |
| 细胞定位 | Chromosome; Cytoplasm; Nucleus. [UniProt] |
| 预测分子量 | 23 kDa |
| 翻译后修饰 | Reduction/oxidation of cysteine residues Cys-23, Cys-45 and Cys-104 and a possible intramolecular disulfide bond involving Cys-23 and Cys-45 give rise to different redox forms with specific functional activities in various cellular compartments: 1- fully reduced HMGB3 (HMGB3C23hC45hC104h), 2- disulfide HMGB3 (HMGB3C23-C45C104h) and 3- sulfonyl HMGB3 (HMGB3C23soC45soC104so).. [UniProt] |
检测图片 (7) Click the Picture to Zoom In
-
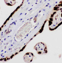
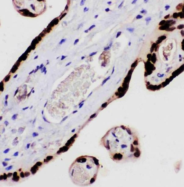
ARG45735 anti-HMGB3 / HMG4 antibody IHC-P image
Immunohistochemistry: Human placenta stained with ARG45735 anti-HMGB3 / HMG4 antibody at 2 μg/ml dilution.
-
ARG45735 anti-HMGB3 / HMG4 antibody ICC/IF image
Immunofluorescence: MCF-7 stained with ARG45735 anti-HMGB3 / HMG4 antibody at 5 μg/ml dilution.
-
ARG45735 anti-HMGB3 / HMG4 antibody WB image
Western blot: MCF-7 stained with ARG45735 anti-HMGB3 / HMG4 antibody at 0.5 μg/ml dilution.
-
ARG45735 anti-HMGB3 / HMG4 antibody FACS image
Flow Cytometry: HL-60 stained with ARG45735 anti-HMGB3 / HMG4 antibody at 1 µg/10^6 cells dilution.
-
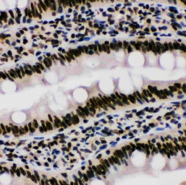
ARG45735 anti-HMGB3 / HMG4 antibody IHC-P image
Immunohistochemistry: Rat intestine stained with ARG45735 anti-HMGB3 / HMG4 antibody at 2 μg/ml dilution.
-
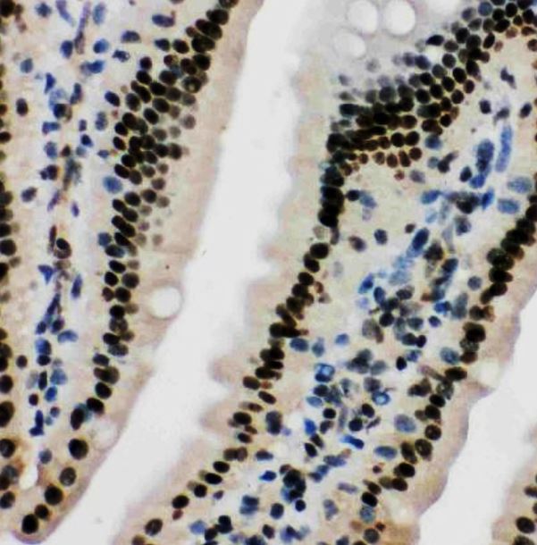
ARG45735 anti-HMGB3 / HMG4 antibody IHC-P image
Immunohistochemistry: Mouse intestine stained with ARG45735 anti-HMGB3 / HMG4 antibody at 2 μg/ml dilution.
-
ARG45735 anti-HMGB3 / HMG4 antibody WB image
Western blot: Mouse liver stained with ARG45735 anti-HMGB3 / HMG4 antibody at 0.5 μg/ml dilution.
