ARG43404
anti-HKDC1 antibody
anti-HKDC1 antibody for Flow cytometry,ICC/IF,IHC-Formalin-fixed paraffin-embedded sections and Human,Mouse,Rat
概述
| 产品描述 | Rabbit Polyclonal antibody recognizes HKDC1 |
|---|---|
| 反应物种 | Hu, Ms, Rat |
| 应用 | FACS, ICC/IF, IHC-P |
| 宿主 | Rabbit |
| 克隆 | Polyclonal |
| 同位型 | IgG |
| 靶点名称 | HKDC1 |
| 抗原物种 | Human |
| 抗原 | Recombinant protein within aa. 260-460 of Human HKDC1. |
| 偶联标记 | Un-conjugated |
| 別名 | Hexokinase domain-containing protein 1; EC 2.7.1.1; Putative hexokinase HKDC1 |
应用说明
| 应用建议 |
|
||||||||
|---|---|---|---|---|---|---|---|---|---|
| 应用说明 | * The dilutions indicate recommended starting dilutions and the optimal dilutions or concentrations should be determined by the scientist. |
属性
| 形式 | Liquid |
|---|---|
| 纯化 | Affinity purified. |
| 缓冲液 | PBS (pH 7.2), 0.02% Sodium azide and 50% Glycerol. |
| 抗菌剂 | 0.02% Sodium azide |
| 稳定剂 | 50% Glycerol |
| 浓度 | 1 mg/ml |
| 存放说明 | For continuous use, store undiluted antibody at 2-8°C for up to a week. For long-term storage, aliquot and store at -20°C. Storage in frost free freezers is not recommended. Avoid repeated freeze/thaw cycles. Suggest spin the vial prior to opening. The antibody solution should be gently mixed before use. |
| 注意事项 | For laboratory research only, not for drug, diagnostic or other use. |
生物信息
| 数据库连接 | |
|---|---|
| 基因名称 | HKDC1 |
| 全名 | hexokinase domain containing 1 |
| 背景介绍 | This gene encodes a member of the hexokinase protein family. The encoded protein is involved in glucose metabolism, and reduced expression may be associated with gestational diabetes mellitus. High expression of this gene may also be associated with poor prognosis in hepatocarcinoma. [provided by RefSeq, Sep 2016] |
| 生物功能 | Catalyzes the phosphorylation of hexose to hexose 6-phosphate, although at very low level compared to other hexokinases (PubMed:30517626). Has low glucose phosphorylating activity compared to other hexokinases (PubMed:30517626). Involved in glucose homeostasis and hepatic lipid accumulation. Required to maintain whole-body glucose homeostasis during pregnancy; however additional evidences are required to confirm this role (By similarity). [UniProt] |
| 预测分子量 | 103 kDa |
检测图片 (5) Click the Picture to Zoom In
-
ARG43404 anti-HKDC1 antibody ICC/IF image
IF: LOVO cells were fixed in paraformaldehyde and permeabilized with 0.25% Triton X100/PBS. Cells were stained with ARG43404 anti-HKDC1 antibody (green). DAPI (blue) for nuclear staining.
-
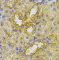
ARG43404 anti-HKDC1 antibody IHC-P image
Immunohistochemistry: Paraffin-embedded Rat kidney tissue stained with ARG43404 anti-HKDC1 antibody.
-
ARG43404 anti-HKDC1 antibody FACS image
Flow Cytometry: LOVO cells stained with ARG43404 anti-HKDC1 antibody at 1:100 dilution (right histogram) or without primary antibody as control (left histogram), followed by incubation with Alexa Fluor® 488 labelled secondary antibody.
-
ARG43404 anti-HKDC1 antibody ICC/IF image
IF: MCF-7 cells were fixed in paraformaldehyde and permeabilized with 0.25% Triton X100/PBS. Cells were stained with ARG43404 anti-HKDC1 antibody (green). DAPI (blue) for nuclear staining.
-
ARG43404 anti-HKDC1 antibody IHC-P image
Immunohistochemistry: Paraffin-embedded Mouse brain tissue stained with ARG43404 anti-HKDC1 antibody.
