ARG44843
anti-HIP1R antibody
anti-HIP1R antibody for IHC-Formalin-fixed paraffin-embedded sections,Immunoprecipitation,Western blot and Human
概述
| 产品描述 | Mouse Monoclonal antibody recognizes HIP1R |
|---|---|
| 反应物种 | Hu |
| 应用 | IHC-P, IP, WB |
| 宿主 | Mouse |
| 克隆 | Monoclonal |
| 同位型 | IgG1 |
| 靶点名称 | HIP1R |
| 抗原物种 | Human |
| 抗原表位 | DRDLQIESLK REVEMLRSEL EKIKLEAQRY IAQLKSQVNA LEGELEEQRK QKQKALVDNE QLRHELAQLR AAQLEGERSQ GLREEAERKA SATEARYNKL KEKHSELVHV HAELLRKNAD TAKQLTVTQQ SQEEVARVKE QLAFQVEQVK RESELKLEEK SDQLEKLKRE LEAKAGELAR AQEALSHTEQ |
| 偶联标记 | Un-conjugated |
| 別名 | HIP1R; Huntingtin Interacting Protein 1 Related; HIP12; KIAA0655; ILWEQ; HIP3; Huntingtin-Interacting Protein 1-Related Protein; HIP1-Related Protein; FLJ14000; HIP-12; Huntingtin Interacting Protein 12; Huntingtin-Interacting Protein 12 |
应用说明
| 应用建议 |
|
||||||||
|---|---|---|---|---|---|---|---|---|---|
| 应用说明 | * The dilutions indicate recommended starting dilutions and the optimal dilutions or concentrations should be determined by the scientist. |
属性
| 形式 | Liquid |
|---|---|
| 纯化 | Protein A purification |
| 缓冲液 | PBS with 0.09% sodium azide |
| 抗菌剂 | 0.09% sodium azide |
| 存放说明 | For continuous use, store undiluted antibody at 2-8°C for up to a week. For long-term storage, aliquot and store at -20°C or below. Storage in frost free freezers is not recommended. Avoid repeated freeze/thaw cycles. Suggest spin the vial prior to opening. The antibody solution should be gently mixed before use. |
| 注意事项 | For laboratory research only, not for drug, diagnostic or other use. |
生物信息
| 数据库连接 |
Swiss-port # O75146 Human Huntingtin-interacting protein 1-related protein |
|---|---|
| 基因名称 | HIP1R |
| 全名 | Huntingtin Interacting Protein 1 Related |
| 背景介绍 | Enables several functions, including phosphatidylinositol phosphate binding activity; phosphatidylinositol-3,4-bisphosphate binding activity; and protein homodimerization activity. Involved in several processes, including positive regulation of signal transduction; protein stabilization; and regulation of organelle organization. Located in clathrin-coated vesicle; cytosol; and ruffle membrane. [provided by Alliance of Genome Resources, Apr 2022] |
| 生物功能 | Component of clathrin-coated pits and vesicles, that may link the endocytic machinery to the actin cytoskeleton. Binds 3-phosphoinositides (via ENTH domain). May act through the ENTH domain to promote cell survival by stabilizing receptor tyrosine kinases following ligand-induced endocytosis. [Uniprot] |
| 细胞定位 | Cytoplasm, Cytoplasmic vesicle, Membrane. [Uniprot] |
| 翻译后修饰 | Acetylation, Phosphoprotein. [Uniprot] |
检测图片 (3) Click the Picture to Zoom In
-
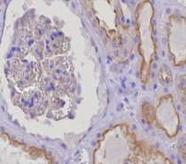
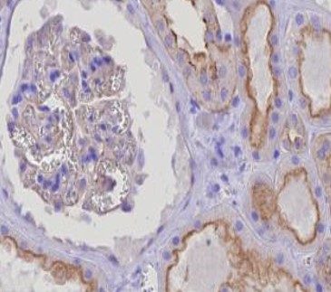
ARG44843 anti-HIP1R antibody IHC-P image
Immunohistochemistry: Human kidney stained with ARG44843 anti-HIP1R antibody at 5 µg/mL dilution.
-
ARG44843 anti-HIP1R antibody WB image
Western blot: A431 stained with ARG44843 anti-HIP1R antibody at 1 µg/mL dilution.
-
ARG44843 anti-HIP1R antibody IP image
Immunoprecipitation: A431 lysate immunoprecipitated with 2.5 µg of ARG44843 anti-HIP1R antibody.
