ARG63736
anti-HIP14 / ZDHHC17 antibody
anti-HIP14 / ZDHHC17 antibody for IHC-Formalin-fixed paraffin-embedded sections,Western blot and Human,Mouse
Neuroscience antibody; Signaling Transduction antibody
概述
| 产品描述 | Goat Polyclonal antibody recognizes HIP14 / ZDHHC17 |
|---|---|
| 反应物种 | Hu, Ms |
| 预测物种 | Cow, Rat, Dog |
| 应用 | IHC-P, WB |
| 宿主 | Goat |
| 克隆 | Polyclonal |
| 同位型 | IgG |
| 靶点名称 | HIP14 / ZDHHC17 |
| 抗原物种 | Human |
| 抗原 | CYDQISGSGYQLV |
| 偶联标记 | Un-conjugated |
| 別名 | Putative NF-kappa-B-activating protein 205; DHHC-17; HIP-14; Huntingtin-interacting protein 3; HSPC294; EC 2.3.1.225; Huntingtin-interacting protein 14; HYPH; Huntingtin-interacting protein H; Zinc finger DHHC domain-containing protein 17; Palmitoyltransferase ZDHHC17; HIP14; HIP-3; Putative MAPK-activating protein PM11; Huntingtin yeast partner H; HIP3 |
应用说明
| 应用建议 |
|
||||||
|---|---|---|---|---|---|---|---|
| 应用说明 | WB: Recommend incubate at RT for 1h. IHC-P: Antigen Retrieval: Steam tissue section in Citrate buffer (pH 6.0). * The dilutions indicate recommended starting dilutions and the optimal dilutions or concentrations should be determined by the scientist. |
属性
| 形式 | Liquid |
|---|---|
| 纯化 | Purified from goat serum by antigen affinity chromatography. |
| 缓冲液 | Tris saline (pH 7.3), 0.02% Sodium azide and 0.5% BSA. |
| 抗菌剂 | 0.02% Sodium azide |
| 稳定剂 | 0.5% BSA |
| 浓度 | 0.5 mg/ml |
| 存放说明 | For continuous use, store undiluted antibody at 2-8°C for up to a week. For long-term storage, aliquot and store at -20°C or below. Storage in frost free freezers is not recommended. Avoid repeated freeze/thaw cycles. Suggest spin the vial prior to opening. The antibody solution should be gently mixed before use. |
| 注意事项 | For laboratory research only, not for drug, diagnostic or other use. |
生物信息
| 数据库连接 | |
|---|---|
| 基因名称 | ZDHHC17 |
| 全名 | zinc finger, DHHC-type containing 17 |
| 生物功能 | Palmitoyltransferase specific for a subset of neuronal proteins, including SNAP25, DLG4/PSD95, GAD2, SYT1 and HD. Palmitoylates MPP1 in erythrocytes. May be involved in the sorting or targeting of critical proteins involved in the initiating events of endocytosis at the plasma membrane. Has transforming activity. Mediates Mg(2+) transport. [UniProt] |
| 研究领域 | Neuroscience antibody; Signaling Transduction antibody |
| 预测分子量 | 73 kDa |
| 翻译后修饰 | Autopalmitoylated (PubMed:15603740, PubMed:18794299). Autopalmitoylation has a regulatory role in ZDHHC17-mediated Mg(2+) transport (PubMed:18794299). |
检测图片 (2) Click the Picture to Zoom In
-
ARG63736 anti-HIP14 / ZDHHC17 antibody WB image
Western Blot: Mouse Brain lysate (35 µg protein in RIPA buffer) stained with ARG63736 anti-HIP14 / ZDHHC17 antibody at 1 µg/ml dilution.
-
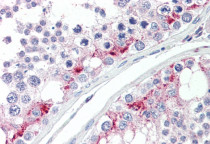
ARG63736 anti-HIP14 / ZDHHC17 antibody IHC-P image
Immunohistochemistry: Paraffin-embedded Human testis tissue. Antigen Retrieval: Steam tissue section in Citrate buffer (pH 6.0). The tissue section was stained with ARG63736 anti-HIP14 / ZDHHC17 antibody at 5 µg/ml dilution followed by AP-staining.
