ARG44673
anti-HIP1 / Huntingtin Interacting Protein antibody
anti-HIP1 / Huntingtin Interacting Protein antibody for IHC-Formalin-fixed paraffin-embedded sections,Immunoprecipitation,Western blot and Human
概述
| 产品描述 | Mouse Monoclonal antibody recognizes HIP1 / Huntingtin Interacting Protein |
|---|---|
| 反应物种 | Hu |
| 应用 | IHC-P, IP, WB |
| 宿主 | Mouse |
| 克隆 | Monoclonal |
| 同位型 | IgG2a |
| 靶点名称 | HIP1 / Huntingtin Interacting Protein |
| 抗原物种 | Human |
| 偶联标记 | Un-conjugated |
| 別名 | HIP-I; SHONgamma; SHONbeta; ILWEQ; Huntingtin-interacting protein 1; Huntingtin-interacting protein I; HIP-1; SHON |
应用说明
| 应用建议 |
|
||||||||
|---|---|---|---|---|---|---|---|---|---|
| 应用说明 | * The dilutions indicate recommended starting dilutions and the optimal dilutions or concentrations should be determined by the scientist. |
属性
| 形式 | Liquid |
|---|---|
| 纯化 | Protein A purification |
| 缓冲液 | PBS with 0.09% sodium azide |
| 存放说明 | For continuous use, store undiluted antibody at 2-8°C for up to a week. For long-term storage, aliquot and store at -20°C or below. Storage in frost free freezers is not recommended. Avoid repeated freeze/thaw cycles. Suggest spin the vial prior to opening. The antibody solution should be gently mixed before use. |
| 注意事项 | For laboratory research only, not for drug, diagnostic or other use. |
生物信息
| 数据库连接 | |
|---|---|
| 基因名称 | HIP1 |
| 全名 | huntingtin interacting protein 1 |
| 背景介绍 | The product of this gene is a membrane-associated protein that functions in clathrin-mediated endocytosis and protein trafficking within the cell. The encoded protein binds to the huntingtin protein in the brain; this interaction is lost in Huntington's disease. Alternative splicing results in multiple transcript variants. [provided by RefSeq, Jul 2013] |
| 生物功能 | Plays a role in clathrin-mediated endocytosis and trafficking. Involved in regulating AMPA receptor trafficking in the central nervous system in an NMDA-dependent manner. Enhances androgen receptor (AR)-mediated transcription. May act as a proapoptotic protein that induces cell death by acting through the intrinsic apoptosis pathway. Binds 3-phosphoinositides (via ENTH domain). May act through the ENTH domain to promote cell survival by stabilizing receptor tyrosine kinases following ligand-induced endocytosis. May play a functional role in the cell filament networks. May be required for differentiation, proliferation, and/or survival of somatic and germline progenitors. [UniProt] |
| 预测分子量 | 116 kDa |
检测图片 (3) Click the Picture to Zoom In
-
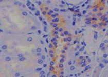
ARG44673 anti-HIP1 / Huntingtin Interacting Protein antibody IHC-P image
Immunohistochemistry: Human Kidney stained with ARG44673 anti-HIP1 / Huntingtin Interacting Protein antibody at 5 µg/mL dilution.
-
ARG44673 anti-HIP1 / Huntingtin Interacting Protein antibody WB image
Western blot: A549, HCT116, HEK293, HeLa stained with ARG44673 anti-HIP1 / Huntingtin Interacting Protein antibody at 1 µg/mL dilution.
-
ARG44673 anti-HIP1 / Huntingtin Interacting Protein antibody IP image
Immunoprecipitation: A549 lysate immunoprecipitated with 2.5 µg of ARG44673 anti-HIP1 / Huntingtin Interacting Protein antibody.
