ARG44501
anti-HEBP1 antibody
anti-HEBP1 antibody for Flow cytometry,ICC/IF,IHC-Formalin-fixed paraffin-embedded sections,Western blot and Human,Mouse,Rat
概述
| 产品描述 | Rabbit Polyclonal antibody recognizes HEBP1 |
|---|---|
| 反应物种 | Hu, Ms, Rat |
| 应用 | FACS, ICC/IF, IHC-P, WB |
| 宿主 | Rabbit |
| 克隆 | Polyclonal |
| 同位型 | IgG |
| 靶点名称 | HEBP1 |
| 抗原物种 | Human |
| 抗原 | Human HEBP1 recombinant protein |
| 偶联标记 | Un-conjugated |
| 別名 | HEBP1; Heme Binding Protein 1 HBP; HEBP; Heme-Binding Protein 1; P22HBP |
应用说明
| 应用建议 |
|
||||||||||
|---|---|---|---|---|---|---|---|---|---|---|---|
| 应用说明 | The dilutions indicate recommended starting dilutions and the optimal dilutions or concentrations should be determined by the scientist. |
属性
| 形式 | Liquid |
|---|---|
| 纯化 | Affinity purified with Immunogen. |
| 缓冲液 | 0.9% NaCl, 0.2% Na2HPO4, 0.05% Sodium azide and 4% Trehalose. |
| 抗菌剂 | 0.05% Sodium azide |
| 稳定剂 | 4% Trehalose |
| 浓度 | 0.5 mg/ml |
| 存放说明 | For continuous use, store undiluted antibody at 2-8°C for up to a week. For long-term storage, aliquot and store at -20°C or below. Storage in frost free freezers is not recommended. Avoid repeated freeze/thaw cycles. Suggest spin the vial prior to opening. The antibody solution should be gently mixed before use. |
| 注意事项 | For laboratory research only, not for drug, diagnostic or other use. |
生物信息
| 数据库连接 | |
|---|---|
| 基因名称 | HEBP1 |
| 全名 | Heme Binding Protein 1 |
| 背景介绍 | The full-length protein encoded by this gene is an intracellular tetrapyrrole-binding protein. This protein includes a natural chemoattractant peptide of 21 amino acids at the N-terminus, which is a natural ligand for formyl peptide receptor-like receptor 2 (FPRL2) and promotes calcium mobilization and chemotaxis in monocytes and dendritic cells. |
| 生物功能 | May bind free porphyrinogens that may be present in the cell and thus facilitate removal of these potentially toxic compound. Binds with a high affinity to one molecule of heme or porphyrins. It binds metalloporphyrins, free porphyrins and N-methylprotoporphyrin with similar affinities. |
| 细胞定位 | Cytoplasm |
| 预测分子量 | 21 kDa |
检测图片 (6) Click the Picture to Zoom In
-
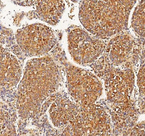
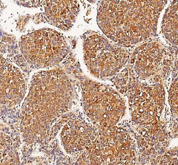
ARG44501 anti-HEBP1 antibody IHC-P image
Immunohistochemistry: Human liver cancer stained with ARG44501 anti-HEBP1 antibody at 2 μg/mL dilution.
-
ARG44501 anti-HEBP1 antibody ICC/IF image
Immunofluorescence: HeLa stained with ARG44501 anti-HEBP1 antibody at 5 μg/mL dilution.
-
ARG44501 anti-HEBP1 antibody WB image
Western blot: A549, SiHa and Human hepatocellular carcinoma tumor tissue (HCCT) stained with ARG44501 anti-HEBP1 antibody at 0.5 μg/mL dilution.
-
ARG44501 anti-HEBP1 antibody FACS image
Flow Cytometry: A549 stained with ARG44501 anti-HEBP1 antibody at 1 μg/10^6 cells dilution.
-
ARG44501 anti-HEBP1 antibody WB image
Western blot: Rat liver stained with ARG44501 anti-HEBP1 antibody at 0.5 μg/mL dilution.
-
ARG44501 anti-HEBP1 antibody WB image
Western blot: Mouse liver stained with ARG44501 anti-HEBP1 antibody at 0.5 μg/mL dilution.
