ARG44500
anti-HDHD5 antibody
anti-HDHD5 antibody for Flow cytometry,IHC-Formalin-fixed paraffin-embedded sections,Western blot and Human,Mouse,Rat
概述
| 产品描述 | Rabbit Polyclonal antibody recognizes HDHD5 |
|---|---|
| 反应物种 | Hu, Ms, Rat |
| 应用 | FACS, IHC-P, WB |
| 宿主 | Rabbit |
| 克隆 | Polyclonal |
| 同位型 | IgG |
| 靶点名称 | HDHD5 |
| 抗原物种 | Human |
| 抗原 | Human HDHD5 recombinant protein |
| 偶联标记 | Un-conjugated |
| 別名 | HDHD5; Haloacid Dehalogenase Like Hydrolase Domain Containing 5; CECR5; Haloacid Dehalogenase-Like Hydrolase Domain-Containing 5; Cat Eye Syndrome Chromosome Region, Candidate 5; Cat Eye Syndrome Critical Region Protein 5 |
应用说明
| 应用建议 |
|
||||||||
|---|---|---|---|---|---|---|---|---|---|
| 应用说明 | The dilutions indicate recommended starting dilutions and the optimal dilutions or concentrations should be determined by the scientist. |
属性
| 形式 | Liquid |
|---|---|
| 纯化 | Affinity purified with Immunogen. |
| 缓冲液 | 0.9% NaCl, 0.2% Na2HPO4, 0.05% Sodium azide and 4% Trehalose. |
| 抗菌剂 | 0.05% Sodium azide |
| 稳定剂 | 4% Trehalose |
| 浓度 | 0.5 mg/ml |
| 存放说明 | For continuous use, store undiluted antibody at 2-8°C for up to a week. For long-term storage, aliquot and store at -20°C or below. Storage in frost free freezers is not recommended. Avoid repeated freeze/thaw cycles. Suggest spin the vial prior to opening. The antibody solution should be gently mixed before use. |
| 注意事项 | For laboratory research only, not for drug, diagnostic or other use. |
生物信息
| 数据库连接 |
Swiss-port # Q91WM2 Mouse Cat eye syndrome critical region protein 5 homolog Swiss-port # Q9BXW7 Human Cat eye syndrome critical region protein 5 |
|---|---|
| 基因名称 | HDHD5 |
| 全名 | Haloacid Dehalogenase Like Hydrolase Domain Containing 5 |
| 背景介绍 | Predicted to be involved in glycerophospholipid biosynthetic process. Predicted to be active in mitochondrion. |
| 生物功能 | Candidate gene for the Cat Eye Syndrome (CES), a developmental disorder associated with the duplication of a 2 Mb region of 22q11.2. Duplication usually takes in the form of a surpernumerary bisatellited isodicentric chromosome, resulting in four copies of the region (represents an inv dup22(q11)). CES is characterized clinically by the combination of coloboma of the iris and anal atresia with fistula, downslanting palpebral fissures, preauricular tags and/or pits, frequent occurrence of heart and renal malformations, and normal or near-normal mental development. |
| 预测分子量 | 46 kDa |
检测图片 (8) Click the Picture to Zoom In
-
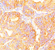
ARG44500 anti-HDHD5 antibody IHC-P image
Immunohistochemistry: Human cervix squamous cell carcinoma stained with ARG44500 anti-HDHD5 antibody at 2 μg/mL dilution.
-
ARG44500 anti-HDHD5 antibody WB image
Western blot: Caco-2, 293T and Jurkat stained with ARG44500 anti-HDHD5 antibody at 0.5 μg/mL dilution.
-
ARG44500 anti-HDHD5 antibody FACS image
Flow Cytometry: JK stained with ARG44500 anti-HDHD5 antibody at 1 μg/10^6 cells dilution.
-
ARG44500 anti-HDHD5 antibody IHC-P image
Immunohistochemistry: Rat brain stained with ARG44500 anti-HDHD5 antibody at 2 μg/mL dilution.
-
ARG44500 anti-HDHD5 antibody WB image
Western blot: Rat brain stained with ARG44500 anti-HDHD5 antibody at 0.5 μg/mL dilution.
-
ARG44500 anti-HDHD5 antibody IHC-P image
Immunohistochemistry: Mouse brain stained with ARG44500 anti-HDHD5 antibody at 2 μg/mL dilution.
-
ARG44500 anti-HDHD5 antibody WB image
Western blot: Mouse brain stained with ARG44500 anti-HDHD5 antibody at 0.5 μg/mL dilution.
-
ARG44500 anti-HDHD5 antibody IHC-P image
Immunohistochemistry: Human ovarian tumor stained with ARG44500 anti-HDHD5 antibody at 2 μg/mL dilution.
