ARG44499
anti-HDHD2 antibody
anti-HDHD2 antibody for Flow cytometry,IHC-Formalin-fixed paraffin-embedded sections,Western blot and Human,Mouse,Rat
概述
| 产品描述 | Rabbit Polyclonal antibody recognizes HDHD2 |
|---|---|
| 反应物种 | Hu, Ms, Rat |
| 应用 | FACS, IHC-P, WB |
| 宿主 | Rabbit |
| 克隆 | Polyclonal |
| 同位型 | IgG |
| 靶点名称 | HDHD2 |
| 抗原物种 | Human |
| 抗原 | Human HDHD2 recombinant protein |
| 偶联标记 | Un-conjugated |
| 別名 | HDHD2; Haloacid Dehalogenase Like Hydrolase Domain Containing 2; Haloacid Dehalogenase-Like Hydrolase Domain-Containing Protein 2; DKFZP564D1378; Haloacid Dehalogenase-Like Hydrolase Domain Containing 2; Epididymis Secretory Sperm Binding Protein; Epididymis Secretory Protein Li 301; 3110052N05Rik; HEL-S-301 |
应用说明
| 应用建议 |
|
||||||||
|---|---|---|---|---|---|---|---|---|---|
| 应用说明 | The dilutions indicate recommended starting dilutions and the optimal dilutions or concentrations should be determined by the scientist. |
属性
| 形式 | Liquid |
|---|---|
| 纯化 | Affinity purified with Immunogen. |
| 缓冲液 | 0.9% NaCl, 0.2% Na2HPO4, 0.05% Sodium azide and 4% Trehalose. |
| 抗菌剂 | 0.05% Sodium azide |
| 稳定剂 | 4% Trehalose |
| 浓度 | 0.5 mg/ml |
| 存放说明 | For continuous use, store undiluted antibody at 2-8°C for up to a week. For long-term storage, aliquot and store at -20°C or below. Storage in frost free freezers is not recommended. Avoid repeated freeze/thaw cycles. Suggest spin the vial prior to opening. The antibody solution should be gently mixed before use. |
| 注意事项 | For laboratory research only, not for drug, diagnostic or other use. |
生物信息
| 数据库连接 | |
|---|---|
| 基因名称 | HDHD2 |
| 全名 | Haloacid Dehalogenase Like Hydrolase Domain Containing 2 |
| 背景介绍 | Enables enzyme binding activity. Predicted to be involved in dephosphorylation. Located in extracellular exosome. |
| 生物功能 | Note: Binds 1 Mg2+ ion per subunit. |
| 预测分子量 | 29 kDa |
检测图片 (6) Click the Picture to Zoom In
-
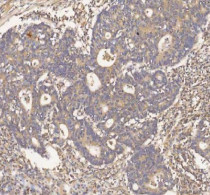
ARG44499 anti-HDHD2 antibody IHC-P image
Immunohistochemistry: Human colon adenocarcinom stained with ARG44499 anti-HDHD2 antibody at 2 μg/mL dilution.
-
ARG44499 anti-HDHD2 antibody WB image
Western blot: Jurkat, THP-1, K562 and HEL stained with ARG44499 anti-HDHD2 antibody at 0.5 μg/mL dilution.
-
ARG44499 anti-HDHD2 antibody FACS image
Flow Cytometry: JK stained with ARG44499 anti-HDHD2 antibody at 1 μg/10^6 cells dilution.
-
ARG44499 anti-HDHD2 antibody WB image
Western blot: Rat kidney and rat brain stained with ARG44499 anti-HDHD2 antibody at 0.5 μg/mL dilution.
-
ARG44499 anti-HDHD2 antibody WB image
Western blot: Mouse kidney and Mouse brain stained with ARG44499 anti-HDHD2 antibody at 0.5 μg/mL dilution.
-
ARG44499 anti-HDHD2 antibody IHC-P image
Immunohistochemistry: Human testicular seminoma stained with ARG44499 anti-HDHD2 antibody at 2 μg/mL dilution.
