ARG66436
anti-HDC / Histidine decarboxylase antibody
anti-HDC / Histidine decarboxylase antibody for IHC-Formalin-fixed paraffin-embedded sections,Western blot and Human
概述
| 产品描述 | Rabbit Polyclonal antibody recognizes HDC / Histidine decarboxylase |
|---|---|
| 反应物种 | Hu |
| 预测物种 | Ms, Rat |
| 应用 | IHC-P, WB |
| 宿主 | Rabbit |
| 克隆 | Polyclonal |
| 同位型 | IgG |
| 靶点名称 | HDC / Histidine decarboxylase |
| 抗原物种 | Human |
| 抗原 | Synthetic peptide around the internal region of Human HDC. |
| 偶联标记 | Un-conjugated |
| 別名 | HDC; Histidine decarboxylase; EC 4.1.1.22 |
应用说明
| 应用建议 |
|
||||||
|---|---|---|---|---|---|---|---|
| 应用说明 | IHC-P: Antigen Retrieval: High-pressure and temperature EDTA buffer (pH 8.0). * The dilutions indicate recommended starting dilutions and the optimal dilutions or concentrations should be determined by the scientist. |
||||||
| 实际分子量 | 74, 50 kDa |
属性
| 形式 | Liquid |
|---|---|
| 纯化 | Affinity purification with immunogen. |
| 缓冲液 | PBS, 0.02% Sodium azide, 50% Glycerol and 0.5% BSA. |
| 抗菌剂 | 0.02% Sodium azide |
| 稳定剂 | 50% Glycerol and 0.5% BSA |
| 浓度 | 1 mg/ml |
| 存放说明 | For continuous use, store undiluted antibody at 2-8°C for up to a week. For long-term storage, aliquot and store at -20°C. Storage in frost free freezers is not recommended. Avoid repeated freeze/thaw cycles. Suggest spin the vial prior to opening. The antibody solution should be gently mixed before use. |
| 注意事项 | For laboratory research only, not for drug, diagnostic or other use. |
生物信息
| 数据库连接 | |
|---|---|
| 基因名称 | HDC |
| 全名 | histidine decarboxylase |
| 背景介绍 | This gene encodes a member of the group II decarboxylase family and forms a homodimer that converts L-histidine to histamine in a pyridoxal phosphate dependent manner. Histamine regulates several physiologic processes, including neurotransmission, gastric acid secretion,inflamation, and smooth muscle tone.[provided by RefSeq, Aug 2010] |
| 生物功能 | Catalyzes the biosynthesis of histamine from histidine. [UniProt] |
| 预测分子量 | 74 kDa |
检测图片 (3) Click the Picture to Zoom In
-
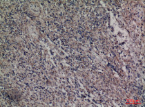
ARG66436 anti-HDC / Histidine decarboxylase antibody IHC-P image
Immunohistochemistry: Paraffin-embedded Human brain stained with ARG66436 anti-HDC / Histidine decarboxylase antibody at 1:100 dilution.
-
ARG66436 anti-HDC / Histidine decarboxylase antibody WB image
Western blot: K562 cell lysate stained with ARG66436 anti-HDC / Histidine decarboxylase antibody.
-
ARG66436 anti-HDC / Histidine decarboxylase antibody IHC-P image
Immunohistochemistry: Paraffin-embedded Human stomach stained with ARG66436 anti-HDC / Histidine decarboxylase antibody at 1:200, 4°C and overnight. Antigen Retrieval: High-pressure and temperature EDTA buffer (pH 8.0).
