ARG59238
anti-HDAC9 antibody
anti-HDAC9 antibody for ICC/IF,IHC-Formalin-fixed paraffin-embedded sections,Western blot and Human
概述
| 产品描述 | Rabbit Polyclonal antibody recognizes HDAC9 |
|---|---|
| 反应物种 | Hu |
| 预测物种 | Rat |
| 应用 | ICC/IF, IHC-P, WB |
| 宿主 | Rabbit |
| 克隆 | Polyclonal |
| 同位型 | IgG |
| 靶点名称 | HDAC9 |
| 抗原物种 | Human |
| 抗原 | Synthetic peptide derived from Human HDAC9 |
| 偶联标记 | Un-conjugated |
| 別名 | HD7; MEF2-interacting transcription repressor MITR; Histone deacetylase-related protein; HDAC9B; Histone deacetylase 9; HDAC7; HDRP; HDAC9FL; MITR; HDAC7B; HD9; HD7b; EC 3.5.1.98; HDAC; Histone deacetylase 7B |
应用说明
| 应用建议 |
|
||||||||
|---|---|---|---|---|---|---|---|---|---|
| 应用说明 | * The dilutions indicate recommended starting dilutions and the optimal dilutions or concentrations should be determined by the scientist. | ||||||||
| 实际分子量 | ~ 160 kDa |
属性
| 形式 | Liquid |
|---|---|
| 纯化 | Affinity purified. |
| 缓冲液 | PBS (pH 7.4), 0.02% Sodium azide and 50% Glycerol. |
| 抗菌剂 | 0.02% Sodium azide |
| 稳定剂 | 50% Glycerol |
| 存放说明 | For continuous use, store undiluted antibody at 2-8°C for up to a week. For long-term storage, aliquot and store at -20°C. Storage in frost free freezers is not recommended. Avoid repeated freeze/thaw cycles. Suggest spin the vial prior to opening. The antibody solution should be gently mixed before use. |
| 注意事项 | For laboratory research only, not for drug, diagnostic or other use. |
生物信息
| 数据库连接 | |
|---|---|
| 基因名称 | HDAC9 |
| 全名 | histone deacetylase 9 |
| 背景介绍 | Histones play a critical role in transcriptional regulation, cell cycle progression, and developmental events. Histone acetylation/deacetylation alters chromosome structure and affects transcription factor access to DNA. The protein encoded by this gene has sequence homology to members of the histone deacetylase family. This gene is orthologous to the Xenopus and mouse MITR genes. The MITR protein lacks the histone deacetylase catalytic domain. It represses MEF2 activity through recruitment of multicomponent corepressor complexes that include CtBP and HDACs. This encoded protein may play a role in hematopoiesis. Multiple alternatively spliced transcripts have been described for this gene but the full-length nature of some of them has not been determined. [provided by RefSeq, Jul 2008] |
| 生物功能 | Responsible for the deacetylation of lysine residues on the N-terminal part of the core histones (H2A, H2B, H3 and H4). Histone deacetylation gives a tag for epigenetic repression and plays an important role in transcriptional regulation, cell cycle progression and developmental events. Represses MEF2-dependent transcription. Isoform 3 lacks active site residues and therefore is catalytically inactive. Represses MEF2-dependent transcription by recruiting HDAC1 and/or HDAC3. Seems to inhibit skeletal myogenesis and to be involved in heart development. Protects neurons from apoptosis, both by inhibiting JUN phosphorylation by MAPK10 and by repressing JUN transcription via HDAC1 recruitment to JUN promoter. [UniProt] |
| 细胞定位 | Nucleus. [UniProt] |
| 预测分子量 | 111 kDa |
| 翻译后修饰 | Phosphorylated on Ser-220 and Ser-450; which promotes 14-3-3-binding, impairs interaction with MEF2, and antagonizes antimyogenic activity. Phosphorylated on Ser-240; which impairs nuclear accumulation (By similarity). Isoform 7 is phosphorylated on Tyr-1010. Phosphorylated by the PKC kinases PKN1 and PKN2, impairing nuclear import. Sumoylated. [UniProt] |
检测图片 (3) Click the Picture to Zoom In
-
ARG59238 anti-HDAC9 antibody ICC/IF image
Immunofluorescence: HeLa cells stained with ARG59238 anti-HDAC9 antibody (red).
-
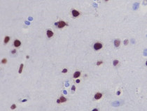
ARG59238 anti-HDAC9 antibody IHC-P image
Immunohistochemistry: Paraffin-embedded Human brain stained with ARG59238 anti-HDAC9 antibody.
-
ARG59238 anti-HDAC9 antibody WB image
Western blot: K562 cell lysate stained with ARG59238 anti-HDAC9 antibody.
