ARG22222
anti-HCN1 antibody [S70-28]
anti-HCN1 antibody [S70-28] for IHC-Formalin-fixed paraffin-embedded sections,Immunoprecipitation,Western blot and Human,Mouse,Rat
概述
| 产品描述 | Mouse Monoclonal antibody [S70-28] recognizes HCN1 |
|---|---|
| 反应物种 | Hu, Ms, Rat |
| 应用 | IHC-P, IP, WB |
| 特异性 | Detects ~100kDa. No cross-reactivity against HCN2. |
| 宿主 | Mouse |
| 克隆 | Monoclonal |
| 克隆号 | S70-28 |
| 同位型 | IgG1 |
| 靶点名称 | HCN1 |
| 抗原物种 | Rat |
| 抗原 | Fusion protein around aa. 778-910 (C terminus) of Rat HCN1 |
| 偶联标记 | Un-conjugated |
| 別名 | EIEE24; Brain cyclic nucleotide-gated channel 1; HAC-2; Potassium/sodium hyperpolarization-activated cyclic nucleotide-gated channel 1; BCNG-1; BCNG1 |
应用说明
| 应用建议 |
|
||||||||
|---|---|---|---|---|---|---|---|---|---|
| 应用说明 | * The dilutions indicate recommended starting dilutions and the optimal dilutions or concentrations should be determined by the scientist. |
属性
| 形式 | Liquid |
|---|---|
| 纯化 | Purification with Protein G. |
| 缓冲液 | PBS (pH 7.4), 0.09% Sodium azide and 50% Glycerol |
| 抗菌剂 | 0.09% Sodium azide |
| 稳定剂 | 50% Glycerol |
| 浓度 | 1 mg/ml |
| 存放说明 | For continuous use, store undiluted antibody at 2-8°C for up to a week. For long-term storage, aliquot and store at -20°C. Storage in frost free freezers is not recommended. Avoid repeated freeze/thaw cycles. Suggest spin the vial prior to opening. The antibody solution should be gently mixed before use. |
| 注意事项 | For laboratory research only, not for drug, diagnostic or other use. |
生物信息
| 数据库连接 | |
|---|---|
| 基因名称 | Hcn1 |
| 全名 | hyperpolarization-activated cyclic nucleotide-gated potassium channel 1 |
| 背景介绍 | The membrane protein encoded by this gene is a hyperpolarization-activated cation channel that contributes to the native pacemaker currents in heart and neurons. The encoded protein can homodimerize or heterodimerize with other pore-forming subunits to form a potassium channel. This channel may act as a receptor for sour tastes. [provided by RefSeq, Oct 2011] |
| 生物功能 | Hyperpolarization-activated ion channel exhibiting weak selectivity for potassium over sodium ions. Contributes to the native pacemaker currents in heart (If) and in neurons (Ih). May mediate responses to sour stimuli. [UniProt] |
| 细胞定位 | Membrane |
| 预测分子量 | 99 kDa |
检测图片 (4) Click the Picture to Zoom In
-
ARG22222 anti-HCN1 antibody [S70-28] IHC-Fr image
Immunohistochemistry: 10% Formalin (12-24 hours at RT) fixed Mouse frozen brain section stained with ARG22222 anti-HCN1 Antibody [S70-28] (brown) at 1:1000 dilution (1 hour). Counterstain: Mayer Hematoxylin (purple/blue) nuclear stain at 250-500uL for 5 minutes at RT.
-
ARG22222 anti-HCN1 antibody [S70-28] WB image
Western blot: Rat brain membrane lysate stained with ARG22222 anti-HCN1 Antibody [S70-28] at 1:1000 dilution.
-
ARG22222 anti-HCN1 antibody [S70-28] IHC-Fr image
Immunohistochemistry: 10% Formalin (12-24 hours at RT) fixed Mouse frozen brain section stained with ARG22222 anti-HCN1 Antibody [S70-28] (brown) at 1:1000 dilution (1 hour). Counterstain: Mayer Hematoxylin (purple/blue) nuclear stain at 250-500uL for 5 minutes at RT.
-
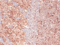
ARG22222 anti-HCN1 antibody [S70-28] IHC image
Immunohistochemistry: 10% Formalin (12-24 hours at RT) fixed Mouse Cerebellum stained with ARG22222 anti-HCN1 Antibody [S70-28] (brown) at 1:1000 dilution (1 hour). Counterstain: Mayer Hematoxylin (purple/blue) nuclear stain at 250-500uL for 5 minutes at RT.
