ARG59183
anti-HCCS antibody
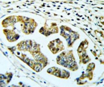
anti-HCCS antibody for IHC-Formalin-fixed paraffin-embedded sections,Western blot and Human
概述
| 产品描述 | Rabbit Polyclonal antibody recognizes HCCS |
|---|---|
| 反应物种 | Hu |
| 预测物种 | Ms, Bov, Chk |
| 应用 | IHC-P, WB |
| 宿主 | Rabbit |
| 克隆 | Polyclonal |
| 同位型 | IgG |
| 靶点名称 | HCCS |
| 抗原物种 | Human |
| 抗原 | KLH-conjugated synthetic peptide corresponding to aa. 173-200 of Human HCCS. |
| 偶联标记 | Un-conjugated |
| 別名 | Cytochrome c-type heme lyase; CCHL; MLS; LSDMCA1; MCOPS7; Holocytochrome c-type synthase; EC 4.4.1.17 |
应用说明
| 应用建议 |
|
||||||
|---|---|---|---|---|---|---|---|
| 应用说明 | * The dilutions indicate recommended starting dilutions and the optimal dilutions or concentrations should be determined by the scientist. | ||||||
| 阳性对照 | Human heart |
属性
| 形式 | Liquid |
|---|---|
| 纯化 | Purification with Protein A and immunogen peptide. |
| 缓冲液 | PBS and 0.09% (W/V) Sodium azide. |
| 抗菌剂 | 0.09% (W/V) Sodium azide. |
| 存放说明 | For continuous use, store undiluted antibody at 2-8°C for up to a week. For long-term storage, aliquot and store at -20°C or below. Storage in frost free freezers is not recommended. Avoid repeated freeze/thaw cycles. Suggest spin the vial prior to opening. The antibody solution should be gently mixed before use. |
| 注意事项 | For laboratory research only, not for drug, diagnostic or other use. |
生物信息
| 数据库连接 | |
|---|---|
| 基因名称 | HCCS |
| 全名 | holocytochrome c synthase |
| 背景介绍 | The protein encoded by this gene is an enzyme that covalently links a heme group to the apoprotein of cytochrome c. Defects in this gene are a cause of microphthalmia syndromic type 7 (MCOPS7). Three transcript variants encoding the same protein have been found for this gene. [provided by RefSeq, Jan 2010] |
| 生物功能 | Links covalently the heme group to the apoprotein of cytochrome c. [UniProt] |
| 细胞定位 | Mitochondrion inner membrane. Membrane; Lipid-anchor. [UniProt] |
| 预测分子量 | 31 kDa |
检测图片 (2) Click the Picture to Zoom In
