ARG56512
anti-Guanylate Cyclase beta 1 antibody
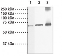
anti-Guanylate Cyclase beta 1 antibody for IHC-Formalin-fixed paraffin-embedded sections,Western blot and Human,Rat,Bovine
概述
| 产品描述 | Rabbit Polyclonal antibody recognizes Guanylate Cyclase beta 1 |
|---|---|
| 反应物种 | Hu, Rat, Bov |
| 应用 | IHC-P, WB |
| 特异性 | This antibody does not react to guanylate cyclase α1 subunit. |
| 宿主 | Rabbit |
| 克隆 | Polyclonal |
| 同位型 | IgG |
| 靶点名称 | Guanylate Cyclase beta 1 |
| 抗原物种 | Rat |
| 抗原 | Synthetic peptide around aa. 188-207 of Rat Guanylate Cyclase beta1 (soluble). (EDFYEDLDRFEENGTQDSR; last D=E in Human and Bovine) |
| 偶联标记 | Un-conjugated |
| 別名 | GC-S-beta-1; GUC1B3; GUCSB3; Soluble guanylate cyclase small subunit; GCS-beta-1; GUCY1B1; GCS-beta-3; GUCB3; EC 4.6.1.2; Guanylate cyclase soluble subunit beta-3; GC-SB3; Guanylate cyclase soluble subunit beta-1 |
应用说明
| 应用建议 |
|
||||||
|---|---|---|---|---|---|---|---|
| 应用说明 | * The dilutions indicate recommended starting dilutions and the optimal dilutions or concentrations should be determined by the scientist. |
属性
| 形式 | Liquid |
|---|---|
| 纯化 | Affinity purification with immunogen. |
| 缓冲液 | TBS (pH 7.4) and 5 mg/ml BSA. |
| 稳定剂 | 5 mg/ml BSA |
| 存放说明 | For continuous use, store undiluted antibody at 2-8°C for up to a week. For long-term storage, aliquot and store at -20°C or below. Storage in frost free freezers is not recommended. Avoid repeated freeze/thaw cycles. Suggest spin the vial prior to opening. The antibody solution should be gently mixed before use. |
| 注意事项 | For laboratory research only, not for drug, diagnostic or other use. |
生物信息
| 数据库连接 | |
|---|---|
| 基因名称 | Gucy1b3 |
| 全名 | guanylate cyclase 1, soluble, beta 3 |
| 背景介绍 | This gene encodes the beta subunit of the soluble guanylate cyclase (sGC), which catalyzes the conversion of GTP (guanosine triphosphate) to cGMP (cyclic guanosine monophosphate). The encoded protein contains an HNOX domain, which serves as a receptor for ligands such as nitric oxide, oxygen and nitrovasodilator drugs. Alternative splicing results in multiple transcript variants. [provided by RefSeq, May 2014] |
| 预测分子量 | 71 kDa |
检测图片 (1) Click the Picture to Zoom In
