ARG58794
anti-Glycerol kinase antibody
anti-Glycerol kinase antibody for IHC-Formalin-fixed paraffin-embedded sections,Western blot and Human,Mouse,Rat
概述
| 产品描述 | Rabbit Polyclonal antibody recognizes Glycerol kinase |
|---|---|
| 反应物种 | Hu, Ms, Rat |
| 应用 | IHC-P, WB |
| 宿主 | Rabbit |
| 克隆 | Polyclonal |
| 同位型 | IgG |
| 靶点名称 | Glycerol kinase |
| 抗原物种 | Human |
| 抗原 | Recombinant protein corresponding to M1-S180 of Human Glycerol kinase. |
| 偶联标记 | Un-conjugated |
| 別名 | Glycerokinase; ATP:glycerol 3-phosphotransferase; Glycerol kinase; GK1; EC 2.7.1.30; GK; GKD |
应用说明
| 应用建议 |
|
||||||
|---|---|---|---|---|---|---|---|
| 应用说明 | IHC-P: Antigen Retrieval: Heat mediated was performed in Citrate buffer (pH 6.0) for 20 min. * The dilutions indicate recommended starting dilutions and the optimal dilutions or concentrations should be determined by the scientist. |
属性
| 形式 | Liquid |
|---|---|
| 纯化 | Affinity purification with immunogen. |
| 缓冲液 | 0.9% NaCl, 0.2% Na2HPO4, 0.05% Sodium azide and 4% Trehalose. |
| 抗菌剂 | 0.05% Sodium azide |
| 稳定剂 | 4% Trehalose |
| 浓度 | 0.5 mg/ml |
| 存放说明 | For continuous use, store undiluted antibody at 2-8°C for up to a week. For long-term storage, aliquot and store at -20°C or below. Storage in frost free freezers is not recommended. Avoid repeated freeze/thaw cycles. Suggest spin the vial prior to opening. The antibody solution should be gently mixed before use. |
| 注意事项 | For laboratory research only, not for drug, diagnostic or other use. |
生物信息
| 数据库连接 | |
|---|---|
| 基因名称 | GK |
| 全名 | glycerol kinase |
| 背景介绍 | The protein encoded by this gene belongs to the FGGY kinase family. This protein is a key enzyme in the regulation of glycerol uptake and metabolism. It catalyzes the phosphorylation of glycerol by ATP, yielding ADP and glycerol-3-phosphate. Mutations in this gene are associated with glycerol kinase deficiency (GKD). Alternatively spliced transcript variants encoding different isoforms have been found for this gene. [provided by RefSeq, Mar 2011] |
| 生物功能 | Key enzyme in the regulation of glycerol uptake and metabolism. [UniProt] |
| 细胞定位 | Mitochondrion outer membrane; In sperm and fetal tissues, the majority of the enzyme is bound to mitochondria, but in adult tissues, such as liver found in the cytoplasm. [UniProt] |
| 预测分子量 | 61 kDa |
检测图片 (3) Click the Picture to Zoom In
-
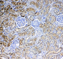
ARG58794 anti-Glycerol kinase antibody IHC-P image
Immunohistochemistry: Paraffin-embedded Mouse kidney tissue. Antigen Retrieval: Heat mediated was performed in Citrate buffer (pH 6.0, epitope retrieval solution) for 20 min. The tissue section was blocked with 10% goat serum. The tissue section was then stained with ARG58794 anti-Glycerol kinase antibody at 1 µg/ml, overnight at 4°C.
-
ARG58794 anti-Glycerol kinase antibody WB image
Western blot: 50 µg of samples under reducing conditions. Human placenta, HepG2, SW579, SK-OV-3, U-87MG whole cell lysates and Rat testis lysates stained with ARG58794 anti-Glycerol kinase antibody at 0.5 µg/ml, overnight at 4°C.
-
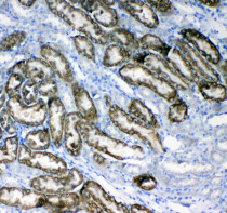
ARG58794 anti-Glycerol kinase antibody IHC-P image
Immunohistochemistry: Paraffin-embedded Rat kidney tissue. Antigen Retrieval: Heat mediated was performed in Citrate buffer (pH 6.0, epitope retrieval solution) for 20 min. The tissue section was blocked with 10% goat serum. The tissue section was then stained with ARG58794 anti-Glycerol kinase antibody at 1 µg/ml, overnight at 4°C.
