ARG55587
anti-Glycerol kinase 2 antibody
anti-Glycerol kinase 2 antibody for IHC-Formalin-fixed paraffin-embedded sections,Western blot and Human
Metabolism antibody; Signaling Transduction antibody
概述
| 产品描述 | Rabbit Polyclonal antibody recognizes Glycerol kinase 2 |
|---|---|
| 反应物种 | Hu |
| 预测物种 | Bov, Mk |
| 应用 | IHC-P, WB |
| 宿主 | Rabbit |
| 克隆 | Polyclonal |
| 同位型 | IgG |
| 靶点名称 | Glycerol kinase 2 |
| 抗原物种 | Human |
| 抗原 | KLH-conjugated synthetic peptide corresponding to aa. 487-515 (C-terminus) of Human Glycerol kinase 2. |
| 偶联标记 | Un-conjugated |
| 別名 | Glycerol kinase, testis specific 2; GKP2; Glycerol kinase 2; EC 2.7.1.30; GKTA; Glycerokinase 2; GK 2; ATP:glycerol 3-phosphotransferase 2 |
应用说明
| 应用建议 |
|
||||||
|---|---|---|---|---|---|---|---|
| 应用说明 | * The dilutions indicate recommended starting dilutions and the optimal dilutions or concentrations should be determined by the scientist. | ||||||
| 阳性对照 | Jurkat |
属性
| 形式 | Liquid |
|---|---|
| 纯化 | Purification with Protein G. |
| 缓冲液 | PBS and 0.09% (W/V) Sodium azide |
| 抗菌剂 | 0.09% (W/V) Sodium azide |
| 存放说明 | For continuous use, store undiluted antibody at 2-8°C for up to a week. For long-term storage, aliquot and store at -20°C or below. Storage in frost free freezers is not recommended. Avoid repeated freeze/thaw cycles. Suggest spin the vial prior to opening. The antibody solution should be gently mixed before use. |
| 注意事项 | For laboratory research only, not for drug, diagnostic or other use. |
生物信息
| 数据库连接 | |
|---|---|
| 基因名称 | GK2 |
| 全名 | glycerol kinase 2 |
| 生物功能 | Key enzyme in the regulation of glycerol uptake and metabolism. [UniProt] |
| 细胞定位 | Mitochondrion outer membrane; Peripheral membrane protein; Cytoplasmic side. Cytoplasm. Note=In sperm the majority of the enzyme is bound to mitochondria. |
| 研究领域 | Metabolism antibody; Signaling Transduction antibody |
| 预测分子量 | 61 kDa |
检测图片 (2) Click the Picture to Zoom In
-
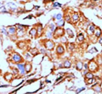
ARG55587 anti-Glycerol kinase 2 antibody IHC-P image
Immunohistochemistry: Formalin-fixed and paraffin-embedded Human breast carcinoma tissue stained with ARG55587 anti-Glycerol kinase 2 antibody.
-
ARG55587 anti-Glycerol kinase 2 antibody WB image
Western blot: Jurkat cell lysate stained with ARG55587 anti-Glycerol kinase 2 antibody.
