ARG58813
anti-Glutaredoxin 2 antibody
anti-Glutaredoxin 2 antibody for IHC-Formalin-fixed paraffin-embedded sections and Human,Rat
概述
| 产品描述 | Rabbit Polyclonal antibody recognizes Glutaredoxin 2 |
|---|---|
| 反应物种 | Hu, Rat |
| 预测物种 | Ms |
| 应用 | IHC-P |
| 宿主 | Rabbit |
| 克隆 | Polyclonal |
| 同位型 | IgG |
| 靶点名称 | Glutaredoxin 2 |
| 抗原物种 | Human |
| 抗原 | Synthetic peptide corresponding to aa. 103-119 of Human Glutaredoxin 2 (EYGNQFQDALYKMTGER). |
| 偶联标记 | Un-conjugated |
| 別名 | CGI-133; GRX2; Glutaredoxin-2, mitochondrial |
应用说明
| 应用建议 |
|
||||
|---|---|---|---|---|---|
| 应用说明 | IHC-P: Antigen Retrieval: Heat mediation was performed in Citrate buffer (pH 6.0) for 20 min. * The dilutions indicate recommended starting dilutions and the optimal dilutions or concentrations should be determined by the scientist. |
属性
| 形式 | Liquid |
|---|---|
| 纯化 | Affinity purification with immunogen. |
| 缓冲液 | 0.9% NaCl, 0.2% Na2HPO4, 0.05% Thimerosal, 0.05% Sodium azide and 5% BSA. |
| 抗菌剂 | 0.05% Thimerosal and 0.05% Sodium azide |
| 稳定剂 | 5% BSA |
| 浓度 | 0.5 mg/ml |
| 存放说明 | For continuous use, store undiluted antibody at 2-8°C for up to a week. For long-term storage, aliquot and store at -20°C or below. Storage in frost free freezers is not recommended. Avoid repeated freeze/thaw cycles. Suggest spin the vial prior to opening. The antibody solution should be gently mixed before use. |
| 注意事项 | For laboratory research only, not for drug, diagnostic or other use. |
生物信息
| 数据库连接 | |
|---|---|
| 基因名称 | GLRX2 |
| 全名 | glutaredoxin 2 |
| 背景介绍 | The protein encoded by this gene is a member of the glutaredoxin family of proteins, which maintain cellular thiol homeostasis. These proteins are thiol-disulfide oxidoreductases that use a glutathione-binding site and one or two active cysteines in their active site. This gene undergoes alternative splicing to produce multiple isoforms, one of which is ubiquitously expressed and localizes to mitochondria, where it functions in mitochondrial redox homeostasis and is important for the protection against and recovery from oxidative stress. Other isoforms, which have more restrictive expression patterns, show cytosolic and nuclear localization, and are thought to function in cellular differentiation and transformation, possibly with a role in tumor progression. [provided by RefSeq, Aug 2011] |
| 生物功能 | Glutathione-dependent oxidoreductase that facilitates the maintenance of mitochondrial redox homeostasis upon induction of apoptosis by oxidative stress. Involved in response to hydrogen peroxide and regulation of apoptosis caused by oxidative stress. Acts as a very efficient catalyst of monothiol reactions because of its high affinity for protein glutathione-mixed disulfides. Can receive electrons not only from glutathione (GSH), but also from thioredoxin reductase supporting both monothiol and dithiol reactions. Efficiently catalyzes both glutathionylation and deglutathionylation of mitochondrial complex I, which in turn regulates the superoxide production by the complex. Overexpression decreases the susceptibility to apoptosis and prevents loss of cardiolipin and cytochrome c release. [UniProt] |
| 细胞定位 | Isoform 1: Mitochondrion. [UniProt] |
| 预测分子量 | 18 kDa |
检测图片 (3) Click the Picture to Zoom In
-
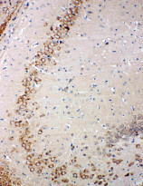
ARG58813 anti-Glutaredoxin 2 antibody IHC-P image
Immunohistochemistry: Paraffin-embedded Rat brain stained with ARG58813 anti-Glutaredoxin 2 antibody.
-
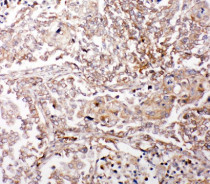
ARG58813 anti-Glutaredoxin 2 antibody IHC-P image
Immunohistochemistry: Paraffin-embedded Human lung cancer tissue. Antigen Retrieval: Heat mediation was performed in Citrate buffer (pH 6.0) for 20 min. The tissue section was blocked with 10% goat serum. The tissue section was then stained with ARG58813 anti-Glutaredoxin 2 antibody at 1 µg/ml dilution, overnight at 4°C.
-
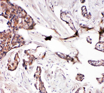
ARG58813 anti-Glutaredoxin 2 antibody IHC-P image
Immunohistochemistry: Paraffin-embedded Human mammary cancer tissue. Antigen Retrieval: Heat mediation was performed in Citrate buffer (pH 6.0) for 20 min. The tissue section was blocked with 10% goat serum. The tissue section was then stained with ARG58813 anti-Glutaredoxin 2 antibody at 1 µg/ml dilution, overnight at 4°C.
