ARG43043
anti-Glut9 antibody
anti-Glut9 antibody for Flow cytometry,IHC-Formalin-fixed paraffin-embedded sections,Western blot and Human,Rat
概述
| 产品描述 | Rabbit Polyclonal antibody recognizes Glut9 |
|---|---|
| 反应物种 | Hu, Rat |
| 应用 | FACS, IHC-P, WB |
| 宿主 | Rabbit |
| 克隆 | Polyclonal |
| 同位型 | IgG |
| 靶点名称 | Glut9 |
| 抗原物种 | Human |
| 抗原 | Synthetic peptide corresponding to aa. 262-297 of Human Glut9. (EKHNEARAVKAFQTFLGKADVSQEVEEVLAESRVQR) |
| 偶联标记 | Un-conjugated |
| 別名 | Solute carrier family 2, facilitated glucose transporter member 9; GLUT-9; Glucose transporter type 9; UAQTL2; GLUT9; GLUTX; URATv1 |
应用说明
| 应用建议 |
|
||||||||
|---|---|---|---|---|---|---|---|---|---|
| 应用说明 | IHC-P: Antigen Retrieval: Heat mediation was performed in Citrate buffer (pH 6.0) for 20 min or EDTA buffer (pH 8.0). * The dilutions indicate recommended starting dilutions and the optimal dilutions or concentrations should be determined by the scientist. |
属性
| 形式 | Liquid |
|---|---|
| 纯化 | Affinity purification with immunogen. |
| 缓冲液 | 0.2% Na2HPO4, 0.9% NaCl, 0.05% Sodium azide and 5% BSA. |
| 抗菌剂 | 0.05% Sodium azide |
| 稳定剂 | 5% BSA |
| 浓度 | 0.5 mg/ml |
| 存放说明 | For continuous use, store undiluted antibody at 2-8°C for up to a week. For long-term storage, aliquot and store at -20°C or below. Storage in frost free freezers is not recommended. Avoid repeated freeze/thaw cycles. Suggest spin the vial prior to opening. The antibody solution should be gently mixed before use. |
| 注意事项 | For laboratory research only, not for drug, diagnostic or other use. |
生物信息
| 数据库连接 |
Swiss-port # Q9NRM0 Human Solute carrier family 2, facilitated glucose transporter member 9 |
|---|---|
| 基因名称 | SLC2A9 |
| 全名 | solute carrier family 2 (facilitated glucose transporter), member 9 |
| 背景介绍 | This gene encodes a member of the SLC2A facilitative glucose transporter family. Members of this family play a significant role in maintaining glucose homeostasis. The encoded protein may play a role in the development and survival of chondrocytes in cartilage matrices. Two transcript variants encoding distinct isoforms have been identified for this gene. [provided by RefSeq, Jul 2008] |
| 生物功能 | Urate transporter, which may play a role in the urate reabsorption by proximal tubules (PubMed:18327257, PubMed:28083649). Does not transport glucose, fructose or galactose (PubMed:28083649). [UniProt] |
| 细胞定位 | Isoform 1: Basolateral cell membrane; Multi-pass membrane protein. Isoform 2: Apical cell membrane; Multi-pass membrane protein. Basolateral cell membrane; Multi-pass membrane protein. [UniProt] |
| 预测分子量 | 59 kDa |
检测图片 (6) Click the Picture to Zoom In
-
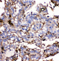
ARG43043 anti-Glut9 antibody IHC-P image
Immunohistochemistry: Paraffin-embedded Human renal cancer tissue. Antigen Retrieval: Heat mediation was performed in Citrate buffer (pH 6.0) for 20 min. The tissue section was blocked with 10% goat serum. The tissue section was then stained with ARG43043 anti-Glut9 antibody at 1 µg/ml dilution, overnight at 4°C.
-
ARG43043 anti-Glut9 antibody WB image
Western blot: HepG2 and A549 whole cell lysates stained with ARG43043 anti-Glut9 antibody at 0.5 µg/ml dilution.
-
ARG43043 anti-Glut9 antibody FACS image
Flow Cytometry: U937 cells were blocked with 10% normal goat serum and then stained with ARG43043 anti-Glut9 antibody (blue) at 1 µg/10^6 cells for 30 min at 20°C, followed by incubation with DyLight®488 labelled secondary antibody. Isotype control antibody (green) was rabbit IgG (1 µg/10^6 cells) used under the same conditions. Unlabelled sample (red) was also used as a control.
-
ARG43043 anti-Glut9 antibody IHC-P image
Immunohistochemistry: Paraffin-embedded Human placenta tissue. Antigen Retrieval: Heat mediation was performed in EDTA buffer (pH 8.0). The tissue section was blocked with 10% goat serum. The tissue section was then stained with ARG43043 anti-Glut9 antibody at 2 µg/ml dilution, overnight at 4°C. The section was counterstained with DAPI (blue).
-
ARG43043 anti-Glut9 antibody IHC-P image
Immunohistochemistry: Paraffin-embedded Human liver cancer tissue. Antigen Retrieval: Heat mediation was performed in EDTA buffer (pH 8.0). The tissue section was blocked with 10% goat serum. The tissue section was then stained with ARG43043 anti-Glut9 antibody at 2 µg/ml dilution, overnight at 4°C. The section was counterstained with DAPI (blue).
-
ARG43043 anti-Glut9 antibody IHC-P image
Immunohistochemistry: Paraffin-embedded Rat intestinal tissue. Antigen Retrieval: Heat mediation was performed in EDTA buffer (pH 8.0). The tissue section was blocked with 10% goat serum. The tissue section was then stained with ARG43043 anti-Glut9 antibody at 2 µg/ml dilution, overnight at 4°C. The section was counterstained with DAPI (blue).
