ARG65103
anti-Glucose 6 phosphate isomerase antibody
anti-Glucose 6 phosphate isomerase antibody for IHC-Formalin-fixed paraffin-embedded sections,Western blot and Human
Cancer antibody; Immune System antibody; Metabolism antibody; Neuroscience antibody; Signaling Transduction antibody
概述
| 产品描述 | Goat Polyclonal antibody recognizes Glucose 6 phosphate isomerase |
|---|---|
| 反应物种 | Hu |
| 应用 | IHC-P, WB |
| 宿主 | Goat |
| 克隆 | Polyclonal |
| 同位型 | IgG |
| 靶点名称 | Glucose 6 phosphate isomerase |
| 抗原物种 | Human |
| 抗原 | C-RERMFNGEKINYT |
| 偶联标记 | Un-conjugated |
| 別名 | PHI; SA36; GPI; SA-36; EC 5.3.1.9; Autocrine motility factor; Neuroleukin; GNPI; PGI; Sperm antigen 36; Phosphoglucose isomerase; Glucose-6-phosphate isomerase; NLK; AMF; Phosphohexose isomerase |
应用说明
| 应用建议 |
|
||||||
|---|---|---|---|---|---|---|---|
| 应用说明 | WB: Recommend incubate at RT for 1h. IHC-P: Antigen Retrieval: Steam tissue section in Citrate buffer (pH 6.0). * The dilutions indicate recommended starting dilutions and the optimal dilutions or concentrations should be determined by the scientist. |
属性
| 形式 | Liquid |
|---|---|
| 纯化 | Purified from goat serum by antigen affinity chromatography. |
| 缓冲液 | Tris saline (pH 7.3), 0.02% Sodium azide and 0.5% BSA. |
| 抗菌剂 | 0.02% Sodium azide |
| 稳定剂 | 0.5% BSA |
| 浓度 | 0.5 mg/ml |
| 存放说明 | For continuous use, store undiluted antibody at 2-8°C for up to a week. For long-term storage, aliquot and store at -20°C or below. Storage in frost free freezers is not recommended. Avoid repeated freeze/thaw cycles. Suggest spin the vial prior to opening. The antibody solution should be gently mixed before use. |
| 注意事项 | For laboratory research only, not for drug, diagnostic or other use. |
生物信息
| 数据库连接 | |
|---|---|
| 背景介绍 | This gene belongs to the GPI family whose members encode multifunctional phosphoglucose isomerase proteins involved in energy pathways. The protein encoded by this gene is a dimeric enzyme that catalyzes the reversible isomerization of glucose-6-phosphate and fructose-6-phosphate. The protein functions in different capacities inside and outside the cell. In the cytoplasm, the gene product is involved in glycolysis and gluconeogenesis, while outside the cell it functions as a neurotrophic factor for spinal and sensory neurons. Defects in this gene are the cause of nonspherocytic hemolytic anemia and a severe enzyme deficiency can be associated with hydrops fetalis, immediate neonatal death and neurological impairment. [provided by RefSeq, Jul 2008] |
| 研究领域 | Cancer antibody; Immune System antibody; Metabolism antibody; Neuroscience antibody; Signaling Transduction antibody |
| 预测分子量 | 63 kDa |
| 翻译后修饰 | Phosphorylation at Ser-185 by CK2 has been shown to decrease enzymatic activity and may contribute to secretion by a non-classical secretory pathway. ISGylated. |
检测图片 (5) Click the Picture to Zoom In
-
ARG65103 anti-Glucose 6 phosphate isomerase antibody WB image
Western blot: 35 µg of Human Heart lysate stained with ARG65103 anti-Glucose 6 phosphate isomerase antibody at 0.3 µg/ml dilution.
-
ARG65103 anti-Glucose 6 phosphate isomerase antibody WB image
Western blot: 35 µg of HeLa (A), A431 (B), A549 (C), MCF7 (D), Jurkat (E) and K562 (F) lysates stained with ARG65103 anti-Glucose 6 phosphate isomerase antibody at 0.05 µg/ml dilution.
-
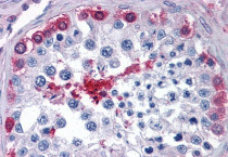
ARG65103 anti-Glucose 6 phosphate isomerase antibody IHC-P image
Immunohistochemistry: Paraffin-embedded Human testis tissue. Antigen Retrieval: Steam tissue section in Citrate buffer (pH 6.0). The tissue section was stained with ARG65103 anti-Glucose 6 phosphate isomerase antibody at 3.75 µg/ml dilution followed by AP-staining.
-
ARG65103 anti-Glucose 6 phosphate isomerase antibody IHC-P image
Immunohistochemistry: Paraffin-embedded Human thyroid tissue. Antigen Retrieval: Steam tissue section in Citrate buffer (pH 6.0). The tissue section was stained with ARG65103 anti-Glucose 6 phosphate isomerase antibody at 3.75 µg/ml dilution followed by AP-staining.
-
ARG65103 anti-Glucose 6 phosphate isomerase antibody IHC-P image
Immunohistochemistry: Paraffin-embedded Human kidney tissue. Antigen Retrieval: Steam tissue section in Citrate buffer (pH 6.0). The tissue section was stained with ARG65103 anti-Glucose 6 phosphate isomerase antibody at 3.75 µg/ml dilution followed by AP-staining.
