ARG40891
anti-Glucocorticoid Receptor antibody
anti-Glucocorticoid Receptor antibody for IHC-Formalin-fixed paraffin-embedded sections,Western blot and Human,Mouse,Rat
概述
| 产品描述 | Rabbit Polyclonal antibody recognizes Glucocorticoid Receptor |
|---|---|
| 反应物种 | Hu, Ms, Rat |
| 应用 | IHC-P, WB |
| 宿主 | Rabbit |
| 克隆 | Polyclonal |
| 同位型 | IgG |
| 靶点名称 | Glucocorticoid Receptor |
| 抗原物种 | Human |
| 抗原 | Recombinant protein corresponding to A20-F199 of Human Glucocorticoid Receptor. |
| 偶联标记 | Un-conjugated |
| 別名 | Glucocorticoid receptor; GR; Nuclear receptor subfamily 3 group C member 1; GCR; GCCR; GCRST; GRL |
应用说明
| 应用建议 |
|
||||||
|---|---|---|---|---|---|---|---|
| 应用说明 | * The dilutions indicate recommended starting dilutions and the optimal dilutions or concentrations should be determined by the scientist. | ||||||
| 实际分子量 | ~ 95 kDa |
属性
| 形式 | Liquid |
|---|---|
| 纯化 | Affinity purification with immunogen. |
| 缓冲液 | 0.2% Na2HPO4, 0.9% NaCl, 0.05% Sodium azide and 5% BSA. |
| 抗菌剂 | 0.05% Sodium azide |
| 稳定剂 | 5% BSA |
| 浓度 | 0.5 mg/ml |
| 存放说明 | For continuous use, store undiluted antibody at 2-8°C for up to a week. For long-term storage, aliquot and store at -20°C or below. Storage in frost free freezers is not recommended. Avoid repeated freeze/thaw cycles. Suggest spin the vial prior to opening. The antibody solution should be gently mixed before use. |
| 注意事项 | For laboratory research only, not for drug, diagnostic or other use. |
生物信息
| 数据库连接 | |
|---|---|
| 基因名称 | NR3C1 |
| 全名 | nuclear receptor subfamily 3, group C, member 1 (glucocorticoid receptor) |
| 背景介绍 | This gene encodes glucocorticoid receptor, which can function both as a transcription factor that binds to glucocorticoid response elements in the promoters of glucocorticoid responsive genes to activate their transcription, and as a regulator of other transcription factors. This receptor is typically found in the cytoplasm, but upon ligand binding, is transported into the nucleus. It is involved in inflammatory responses, cellular proliferation, and differentiation in target tissues. Mutations in this gene are associated with generalized glucocorticoid resistance. Alternative splicing of this gene results in transcript variants encoding either the same or different isoforms. Additional isoforms resulting from the use of alternate in-frame translation initiation sites have also been described, and shown to be functional, displaying diverse cytoplasm-to-nucleus trafficking patterns and distinct transcriptional activities (PMID:15866175). [provided by RefSeq, Feb 2011] |
| 生物功能 | Receptor for glucocorticoids (GC). Has a dual mode of action: as a transcription factor that binds to glucocorticoid response elements (GRE), both for nuclear and mitochondrial DNA, and as a modulator of other transcription factors. Affects inflammatory responses, cellular proliferation and differentiation in target tissues. Could act as a coactivator for STAT5-dependent transcription upon growth hormone (GH) stimulation and could reveal an essential role of hepatic GR in the control of body growth. Involved in chromatin remodeling. May play a negative role in adipogenesis through the regulation of lipolytic and antilipogenic genes expression. [UniProt] |
| 细胞定位 | Cytoplasm. Mitochondrion. Nucleus. Cytoplasmic in the absence of ligand, nuclear after ligand- binding. [UniProt] |
| 预测分子量 | 86 kDa |
| 翻译后修饰 | Acetylation by CLOCK reduces its binding to glucocorticoid response elements and its transcriptional activity. Increased proteasome-mediated degradation in response to glucocorticoids (PubMed:11555652). Isoform Alpha-B appears to be more susceptible to proteolytic degradation than isoform Alpha (PubMed:11435610). Phosphorylated in the absence of hormone; becomes hyperphosphorylated in the presence of glucocorticoid. The Ser-203, Ser-226 and Ser-404-phosphorylated forms are mainly cytoplasmic, and the Ser-211-phosphorylated form is nuclear (PubMed:12000743, PubMed:18838540). Phosphorylation at Ser-211 increases transcriptional activity (PubMed:12000743, PubMed:18483179). Phosphorylation at Ser-203, Ser-226 and Ser-404 decreases signaling capacity (PubMed:12000743, PubMed:18483179, PubMed:18838540). Phosphorylation at Ser-404 may protect from glucocorticoid-induced apoptosis (PubMed:18838540). Phosphorylation at Ser-203 and Ser-211 is not required in regulation of chromosome segregation (PubMed:25847991). May be dephosphorylated by PPP5C, attenuates NR3C1 action (By similarity). Sumoylation at Lys-277 and Lys-293 negatively regulates its transcriptional activity (PubMed:12144530). Sumoylation at Lys-703 positively regulates its transcriptional activity in the presence of RWDD3 (By similarity). Sumoylation at Lys-277 and Lys-293 is dispensable whereas sumoylation at Lys-703 is critical for the stimulatory effect of RWDD3 on its transcriptional activity (By similarity). Heat shock increases sumoylation in a RWDD3-dependent manner (By similarity). Ubiquitinated; restricts glucocorticoid-mediated transcriptional signaling. [UniProt] |
检测图片 (4) Click the Picture to Zoom In
-
ARG40891 anti-Glucocorticoid Receptor antibody IHC-P image
Immunohistochemistry: Paraffin-embedded Rat cardiac muscle tissue stained with ARG40891 anti-Glucocorticoid Receptor antibody.
-
ARG40891 anti-Glucocorticoid Receptor antibody WB image
Western blot: 50 µg of Rat liver, 50 µg of Rat brain, 50 µg of Rat spleen, 50 µg of Human placenta, 40 µg of SMMC-7721, 40 µg of HEPA, 40 µg of NEURO, 40 µg of HeLa and 40 µg of PC-12 whole cell lysates stained with ARG40891 anti-Glucocorticoid Receptor antibody at 0.5 µg/ml dilution.
-
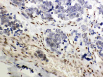
ARG40891 anti-Glucocorticoid Receptor antibody IHC-P image
Immunohistochemistry: Paraffin-embedded Human lung cancer tissue stained with ARG40891 anti-Glucocorticoid Receptor antibody.
-
ARG40891 anti-Glucocorticoid Receptor antibody IHC-P image
Immunohistochemistry: Paraffin-embedded Mouse cardiac muscle tissue stained with ARG40891 anti-Glucocorticoid Receptor antibody.
