ARG46189
anti-GluK4 antibody
anti-GluK4 antibody for Western blot,IHC-Formalin-fixed paraffin-embedded sections and Human,Mouse,Rat
概述
| 产品描述 | Rabbit Polyclonal antibody recognizes GluK4 |
|---|---|
| 反应物种 | Hu, Ms, Rat |
| 应用 | IHC-P, WB |
| 宿主 | Rabbit |
| 克隆 | Polyclonal |
| 同位型 | IgG |
| 靶点名称 | GluK4 |
| 抗原物种 | Human |
| 抗原 | A 14 amino acid synthetic peptide within aa. 30 - 80 of human GluK4. |
| 偶联标记 | Un-conjugated |
| 別名 | GRIK4; GluK4; Glutamate receptor KA-1; Excitatory amino acid receptor 1; Glutamate receptor ionotropic, kainate 4; KA1; EAA1; GRIK |
应用说明
| 应用建议 |
|
||||||
|---|---|---|---|---|---|---|---|
| 应用说明 | * The dilutions indicate recommended starting dilutions and the optimal dilutions or concentrations should be determined by the scientist. |
属性
| 纯化 | Affinity chromatography purified |
|---|---|
| 缓冲液 | PBS and 0.02% Sodium azide. |
| 抗菌剂 | 0.02% Sodium azide |
| 浓度 | 1 mg/ml |
| 存放说明 | For continuous use, store undiluted antibody at 2-8°C for up to a week. For long-term storage, aliquot and store at -20°C. Storage in frost free freezers is not recommended. Avoid repeated freeze/thaw cycles. Suggest spin the vial prior to opening. The antibody solution should be gently mixed before use. |
| 注意事项 | For laboratory research only, not for drug, diagnostic or other use. |
生物信息
| 数据库连接 | |
|---|---|
| 基因名称 | GRIK4 |
| 全名 | glutamate receptor, ionotropic, kainate 4 |
| 背景介绍 | This gene encodes a protein that belongs to the glutamate-gated ionic channel family. Glutamate functions as the major excitatory neurotransmitter in the central nervous system through activation of ligand-gated ion channels and G protein-coupled membrane receptors. The protein encoded by this gene forms functional heteromeric kainate-preferring ionic channels with the subunits encoded by related gene family members. Alternatively spliced transcript variants encoding different isoforms have been found for this gene. [provided by RefSeq, Sep 2013] |
| 生物功能 | Receptor for glutamate. L-glutamate acts as an excitatory neurotransmitter at many synapses in the central nervous system. The postsynaptic actions of Glu are mediated by a variety of receptors that are named according to their selective agonists. [UniProt] |
| 细胞定位 | Cell junction, Cell membrane, Multi-pass membrane protein, postsynaptic cell membrane, synapse. [UniProt] |
| 预测分子量 | 107 kDa |
检测图片 (3) Click the Picture to Zoom In
-
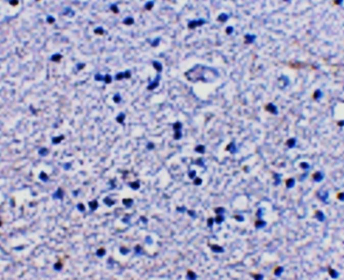
ARG46189 anti-GluK4 antibody IHC-P image
Immunohistochemistry: Human brain stained with ARG46189 anti-GluK4 antibody.
-
ARG46189 anti-GluK4 antibody ICC/IF image
Immunofluorescence: Human brain stained with ARG46189 anti-GluK4 antibody.
-
ARG46189 anti-GluK4 antibody WB image
Western blot: Rat brain stained with ARG46189 anti-GluK4 antibody.
