ARG45115
anti-Gephyrin antibody
anti-Gephyrin antibody for ICC/IF,IHC-Formalin-fixed paraffin-embedded sections,Western blot and Human,Mouse,Rat,Monkey
概述
| 产品描述 | Rabbit Polyclonal antibody recognizes Gephyrin |
|---|---|
| 反应物种 | Hu, Ms, Rat, Mk |
| 应用 | ICC/IF, IHC-P, WB |
| 宿主 | Rabbit |
| 克隆 | Polyclonal |
| 同位型 | IgG |
| 靶点名称 | Gephyrin |
| 抗原物种 | Human |
| 抗原 | E.coli-derived Human Gephyrin/GPHN recombinant protein |
| 偶联标记 | Un-conjugated |
| 別名 | GPHN; Gephyrin; GPH; KIAA1385; GEPH; GPHRYN; MOCODC; HKPX1 |
应用说明
| 应用建议 |
|
||||||||
|---|---|---|---|---|---|---|---|---|---|
| 应用说明 | * The dilutions indicate recommended starting dilutions and the optimal dilutions or concentrations should be determined by the scientist. |
属性
| 形式 | Liquid |
|---|---|
| 纯化 | Affinity purification with immunogen. |
| 缓冲液 | 0.2% Na2HPO4, 0.9% NaCl and 4% Trehalose. |
| 稳定剂 | 4% Trehalose |
| 浓度 | 0.5 mg/ml |
| 存放说明 | For continuous use, store undiluted antibody at 2-8°C for up to a week. For long-term storage, aliquot and store at -20°C. Storage in frost free freezers is not recommended. Avoid repeated freeze/thaw cycles. Suggest spin the vial prior to opening. The antibody solution should be gently mixed before use. |
| 注意事项 | For laboratory research only, not for drug, diagnostic or other use. |
生物信息
| 数据库连接 | |
|---|---|
| 基因名称 | GPHN |
| 全名 | Gephyrin |
| 背景介绍 | This gene encodes a neuronal assembly protein that anchors inhibitory neurotransmitter receptors to the postsynaptic cytoskeleton via high affinity binding to a receptor subunit domain and tubulin dimers. In nonneuronal tissues, the encoded protein is also required for molybdenum cofactor biosynthesis. Mutations in this gene may be associated with the neurological condition hyperplexia and also lead to molybdenum cofactor deficiency. Numerous alternatively spliced transcript variants encoding different isoforms have been described; however, the full-length nature of all transcript variants is not currently known. [provided by RefSeq, Jul 2008] |
| 生物功能 | Microtubule-associated protein involved in membrane protein-cytoskeleton interactions. It is thought to anchor the inhibitory glycine receptor (GLYR) to subsynaptic microtubules. [Unuprot] |
| 细胞定位 | Cell membrane, Cell projection, Cytoplasm, Cytoskeleton, Membrane, Postsynaptic cell membrane, Synapse. [Unuprot] |
| 预测分子量 | 80 kDa |
| 翻译后修饰 | Lipoprotein, Palmitate, Phosphoprotein. [Unuprot] |
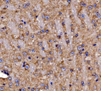
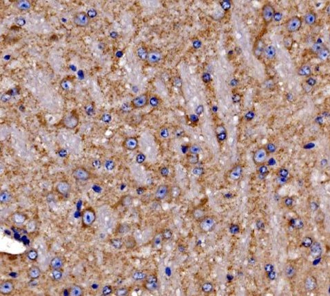
检测图片 (2) Click the Picture to Zoom In
