ARG45589
anti-Gelsolin antibody
anti-Gelsolin antibody for Flow cytometry,ICC/IF,IHC-Formalin-fixed paraffin-embedded sections,Western blot and Human,Mouse,Rat,Monkey
概述
| 产品描述 | Rabbit Polyclonal antibody recognizes Gelsolin |
|---|---|
| 反应物种 | Hu, Ms, Rat, Mk |
| 应用 | FACS, ICC/IF, IHC-P, WB |
| 宿主 | Rabbit |
| 克隆 | Polyclonal |
| 同位型 | IgG |
| 靶点名称 | Gelsolin |
| 抗原物种 | Human |
| 抗原 | Recombinant protein containing to human Gelsolin. |
| 偶联标记 | Un-conjugated |
| 別名 | GSN; gelsolin; ADF; Actin-depolymerizing factor; Brevin; AGEL; Gelsolin |
应用说明
| 应用建议 |
|
||||||||||
|---|---|---|---|---|---|---|---|---|---|---|---|
| 应用说明 | * The dilutions indicate recommended starting dilutions and the optimal dilutions or concentrations should be determined by the scientist. | ||||||||||
| 实际分子量 | 86 kDa |
属性
| 形式 | Liquid |
|---|---|
| 纯化 | Affinity purified |
| 缓冲液 | 0.9% NaCl, 0.2% Na2HPO4, 0.05% Sodium azide and 5% BSA. |
| 抗菌剂 | 0.05% Sodium azide |
| 稳定剂 | 5% BSA |
| 浓度 | 0.5 mg/ml |
| 存放说明 | For continuous use, store undiluted antibody at 2-8°C for up to a week. For long-term storage, aliquot and store at -20°C or below. Storage in frost free freezers is not recommended. Avoid repeated freeze/thaw cycles. Suggest spin the vial prior to opening. The antibody solution should be gently mixed before use. |
| 注意事项 | For laboratory research only, not for drug, diagnostic or other use. |
生物信息
| 数据库连接 | |
|---|---|
| 基因名称 | GSN |
| 全名 | gelsolin |
| 背景介绍 | The protein encoded by this gene binds to the "plus" ends of actin monomers and filaments to prevent monomer exchange. The encoded calcium-regulated protein functions in both assembly and disassembly of actin filaments. Defects in this gene are a cause of familial amyloidosis Finnish type (FAF). Multiple transcript variants encoding several different isoforms have been found for this gene. [provided by RefSeq, Jul 2008] |
| 生物功能 | Calcium-regulated, actin-modulating protein that binds to the plus (or barbed) ends of actin monomers or filaments, preventing monomer exchange (end-blocking or capping). It can promote the assembly of monomers into filaments (nucleation) as well as sever filaments already formed. Plays a role in ciliogenesis. [UniProt] |
| 细胞定位 | Isoform 2: Cytoplasm, cytoskeleton.. [UniProt] |
| 预测分子量 | 86 kDa |
| 翻译后修饰 | Phosphorylation on Tyr-86, Tyr-409, Tyr-465, Tyr-603 and Tyr-651 in vitro is induced in presence of phospholipids.. [UniProt] |
检测图片 (4) Click the Picture to Zoom In
-
ARG45589 anti-Gelsolin antibody WB image
Western blot: Hela and THP-1 stained with ARG45589 anti-Gelsolin antibody at 0.5 μg/ml dilution.
-
ARG45589 anti-Gelsolin antibody WB image
Western blot: RAW264.7 stained with ARG45589 anti-Gelsolin antibody at 0.5 μg/ml dilution.
-
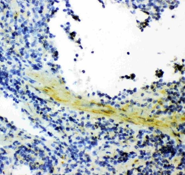
ARG45589 anti-Gelsolin antibody IHC-P image
Immunohistochemistry: Rat spleen stained with ARG45589 anti-Gelsolin antibody at 1 μg/ml dilution.
-
ARG45589 anti-Gelsolin antibody WB image
Western blot: COS-7 stained with ARG45589 anti-Gelsolin antibody at 0.5 μg/ml dilution.
