ARG66618
anti-GTF2IRD1 antibody
anti-GTF2IRD1 antibody for IHC-Formalin-fixed paraffin-embedded sections,Western blot and Human
概述
| 产品描述 | Rabbit Polyclonal antibody recognizes GTF2IRD1 |
|---|---|
| 反应物种 | Hu |
| 应用 | IHC-P, WB |
| 宿主 | Rabbit |
| 克隆 | Polyclonal |
| 同位型 | IgG |
| 靶点名称 | GTF2IRD1 |
| 抗原物种 | Human |
| 抗原 | KLH-conjugated synthetic peptide around the N-terminal region of Human GTF2IRD1. |
| 偶联标记 | Un-conjugated |
| 別名 | WBSCR11; RBAP2; WBSCR12; BEN; WBS; Williams-Beuren syndrome chromosomal region 11 protein; Williams-Beuren syndrome chromosomal region 12 protein; GTF2I repeat domain-containing protein 1; Slow-muscle-fiber enhancer-binding protein; MUSTRD1; USE B1-binding protein; General transcription factor II-I repeat domain-containing protein 1; GTF3; CREAM1; MusTRD1/BEN; hMusTRD1alpha1; General transcription factor III; Muscle TFII-I repeat domain-containing protein 1 |
应用说明
| 应用建议 |
|
||||||
|---|---|---|---|---|---|---|---|
| 应用说明 | IHC-P: Antigen Retrieval: Heat mediation was performed in Sodium citrate buffer (pH 6.0). * The dilutions indicate recommended starting dilutions and the optimal dilutions or concentrations should be determined by the scientist. |
||||||
| 实际分子量 | ~ 110 kDa |
属性
| 形式 | Liquid |
|---|---|
| 纯化 | Affinity purified. |
| 缓冲液 | PBS (pH 7.3), 0.02% Sodium azide and 0.2% BSA. |
| 抗菌剂 | 0.02% Sodium azide |
| 稳定剂 | 0.2% BSA |
| 存放说明 | For continuous use, store undiluted antibody at 2-8°C for up to a week. For long-term storage, aliquot and store at -20°C or below. Storage in frost free freezers is not recommended. Avoid repeated freeze/thaw cycles. Suggest spin the vial prior to opening. The antibody solution should be gently mixed before use. |
| 注意事项 | For laboratory research only, not for drug, diagnostic or other use. |
生物信息
| 数据库连接 |
Swiss-port # Q9UHL9 Human General transcription factor II-I repeat domain-containing protein 1 |
|---|---|
| 基因名称 | GTF2IRD1 |
| 全名 | GTF2I repeat domain containing 1 |
| 背景介绍 | The protein encoded by this gene contains five GTF2I-like repeats and each repeat possesses a potential helix-loop-helix (HLH) motif. It may have the ability to interact with other HLH-proteins and function as a transcription factor or as a positive transcriptional regulator under the control of Retinoblastoma protein. This gene plays a role in craniofacial and cognitive development and mutations have been associated with Williams-Beuren syndrome, a multisystem developmental disorder caused by deletion of multiple genes at 7q11.23. Alternative splicing results in multiple transcript variants. [provided by RefSeq, Nov 2010] |
| 生物功能 | May be a transcription regulator involved in cell-cycle progression and skeletal muscle differentiation. May repress GTF2I transcriptional functions, by preventing its nuclear residency, or by inhibiting its transcriptional activation. May contribute to slow-twitch fiber type specificity during myogenesis and in regenerating muscles. Binds troponin I slow-muscle fiber enhancer (USE B1). Binds specifically and with high affinity to the EFG sequences derived from the early enhancer of HOXC8 (By similarity). [UniProt] |
| 细胞定位 | Nucleus. [UniProt] |
| 预测分子量 | 106 kDa |
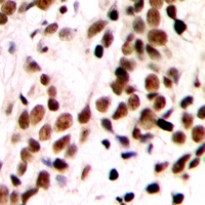
检测图片 (2) Click the Picture to Zoom In
-
ARG66618 anti-GTF2IRD1 antibody IHC-P image
Immunohistochemistry: Formalin-fixed and paraffin-embedded Human breast cancer tissue section. Antigen Retrieval: Heat mediation was performed in Sodium citrate buffer (pH 6.0). The section was then stained with ARG66618 anti-GTF2IRD1 antibody at room temperature and detected using an HRP conjugated compact polymer system. DAB was used as the chromogen. The section was then counterstained with haematoxylin and mounted with DPX.
-
ARG66618 anti-GTF2IRD1 antibody WB image
Western blot: HeLa and HEK293T whole cell lysates stained with ARG66618 anti-GTF2IRD1 antibody.
