ARG58798
anti-GSTM3 antibody
anti-GSTM3 antibody for IHC-Formalin-fixed paraffin-embedded sections and Human,Mouse,Rat
概述
| 产品描述 | Rabbit Polyclonal antibody recognizes GSTM3 |
|---|---|
| 反应物种 | Hu, Ms, Rat |
| 应用 | IHC-P |
| 宿主 | Rabbit |
| 克隆 | Polyclonal |
| 同位型 | IgG |
| 靶点名称 | GSTM3 |
| 抗原物种 | Human |
| 抗原 | Recombinant protein corresponding to E93-Q206 of Human GSTM3. |
| 偶联标记 | Un-conjugated |
| 別名 | GSTM3-3; GST5; EC 2.5.1.18; Glutathione S-transferase Mu 3; GSTB; hGSTM3-3; GST class-mu 3; GTM3 |
应用说明
| 应用建议 |
|
||||
|---|---|---|---|---|---|
| 应用说明 | IHC-P: Antigen Retrieval: Heat mediated was performed in Citrate buffer (pH 6.0) for 20 min. * The dilutions indicate recommended starting dilutions and the optimal dilutions or concentrations should be determined by the scientist. |
属性
| 形式 | Liquid |
|---|---|
| 纯化 | Affinity purification with immunogen. |
| 缓冲液 | 0.9% NaCl, 0.2% Na2HPO4, 0.05% Sodium azide and 4% Trehalose. |
| 抗菌剂 | 0.05% Sodium azide |
| 稳定剂 | 4% Trehalose |
| 浓度 | 0.5 mg/ml |
| 存放说明 | For continuous use, store undiluted antibody at 2-8°C for up to a week. For long-term storage, aliquot and store at -20°C or below. Storage in frost free freezers is not recommended. Avoid repeated freeze/thaw cycles. Suggest spin the vial prior to opening. The antibody solution should be gently mixed before use. |
| 注意事项 | For laboratory research only, not for drug, diagnostic or other use. |
生物信息
| 数据库连接 | |
|---|---|
| 基因名称 | GSTM3 |
| 全名 | glutathione S-transferase mu 3 (brain) |
| 背景介绍 | Cytosolic and membrane-bound forms of glutathione S-transferase are encoded by two distinct supergene families. At present, eight distinct classes of the soluble cytoplasmic mammalian glutathione S-transferases have been identified: alpha, kappa, mu, omega, pi, sigma, theta and zeta. This gene encodes a glutathione S-transferase that belongs to the mu class. The mu class of enzymes functions in the detoxification of electrophilic compounds, including carcinogens, therapeutic drugs, environmental toxins and products of oxidative stress, by conjugation with glutathione. The genes encoding the mu class of enzymes are organized in a gene cluster on chromosome 1p13.3 and are known to be highly polymorphic. These genetic variations can change an individual's susceptibility to carcinogens and toxins as well as affect the toxicity and efficacy of certain drugs. Mutations of this class mu gene have been linked with a slight increase in a number of cancers, likely due to exposure with environmental toxins. Alternative splicing results in multiple transcript variants. [provided by RefSeq, Nov 2008] |
| 生物功能 | Conjugation of reduced glutathione to a wide number of exogenous and endogenous hydrophobic electrophiles. May govern uptake and detoxification of both endogenous compounds and xenobiotics at the testis and brain blood barriers. [UniProt] |
| 细胞定位 | Cytoplasm. [UniProt] |
| 预测分子量 | 27 kDa |
| 翻译后修饰 | The N-terminus is blocked. [UniProt] |
检测图片 (7) Click the Picture to Zoom In
-
ARG58798 anti-GSTM3 antibody IHC-P image
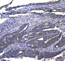
Immunohistochemistry: Paraffin-embedded Human rectal cancer tissue. Antigen Retrieval: Heat mediated was performed in Citrate buffer (pH 6.0, epitope retrieval solution) for 20 min. The tissue section was blocked with 10% goat serum. The tissue section was then stained with ARG58798 anti-GSTM3 antibody at 1 µg/ml, overnight at 4°C.
-
ARG58798 anti-GSTM3 antibody IHC-P image
Immunohistochemistry: Paraffin-embedded Human lung cancer tissue. Antigen Retrieval: Heat mediated was performed in Citrate buffer (pH 6.0, epitope retrieval solution) for 20 min. The tissue section was blocked with 10% goat serum. The tissue section was then stained with ARG58798 anti-GSTM3 antibody at 1 µg/ml, overnight at 4°C.
-
ARG58798 anti-GSTM3 antibody IHC-P image
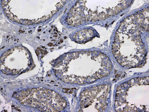
Immunohistochemistry: Paraffin-embedded Human testis tissue . Antigen Retrieval: Heat mediated was performed in Citrate buffer (pH 6.0, epitope retrieval solution) for 20 min. The tissue section was blocked with 10% goat serum. The tissue section was then stained with ARG58798 anti-GSTM3 antibody at 1 µg/ml, overnight at 4°C.
-
ARG58798 anti-GSTM3 antibody IHC-P image
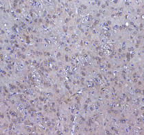
Immunohistochemistry: Paraffin-embedded Mouse brain tissue. Antigen Retrieval: Heat mediated was performed in Citrate buffer (pH 6.0, epitope retrieval solution) for 20 min. The tissue section was blocked with 10% goat serum. The tissue section was then stained with ARG58798 anti-GSTM3 antibody at 1 µg/ml, overnight at 4°C.
-
ARG58798 anti-GSTM3 antibody IHC-P image
Immunohistochemistry: Paraffin-embedded Mouse testis tissue . Antigen Retrieval: Heat mediated was performed in Citrate buffer (pH 6.0, epitope retrieval solution) for 20 min. The tissue section was blocked with 10% goat serum. The tissue section was then stained with ARG58798 anti-GSTM3 antibody at 1 µg/ml, overnight at 4°C.
-
ARG58798 anti-GSTM3 antibody IHC-P image
Immunohistochemistry: Paraffin-embedded Rat brain tissue . Antigen Retrieval: Heat mediated was performed in Citrate buffer (pH 6.0, epitope retrieval solution) for 20 min. The tissue section was blocked with 10% goat serum. The tissue section was then stained with ARG58798 anti-GSTM3 antibody at 1 µg/ml, overnight at 4°C.
-
ARG58798 anti-GSTM3 antibody IHC-P image
Immunohistochemistry: Paraffin-embedded Rat testis tissue . Antigen Retrieval: Heat mediated was performed in Citrate buffer (pH 6.0, epitope retrieval solution) for 20 min. The tissue section was blocked with 10% goat serum. The tissue section was then stained with ARG58798 anti-GSTM3 antibody at 1 µg/ml, overnight at 4°C.
