ARG58841
anti-GSTM1 antibody [11F2]
anti-GSTM1 antibody [11F2] for Flow cytometry,IHC-Formalin-fixed paraffin-embedded sections,Western blot and Human,Mouse,Rat
概述
| 产品描述 | Mouse Monoclonal antibody [11F2] recognizes GSTM1 |
|---|---|
| 反应物种 | Hu, Ms, Rat |
| 应用 | FACS, IHC-P, WB |
| 宿主 | Mouse |
| 克隆 | Monoclonal |
| 克隆号 | 11F2 |
| 同位型 | IgG1 |
| 靶点名称 | GSTM1 |
| 抗原物种 | Human |
| 抗原 | Synthetic peptide corresponding to a sequence of Human GSTM1 (EEEKIRVDIL ENQTMDNHMQLGMICYNPEFEKLK). |
| 偶联标记 | Un-conjugated |
| 別名 | GST HB subunit 4; MU-1; GST class-mu 1; GST1; Glutathione S-transferase Mu 1; GSTM1-1; GSTM1a-1a; MU; GTH4; EC 2.5.1.18; GSTM1b-1b; H-B; GTM1 |
应用说明
| 应用建议 |
|
||||||||
|---|---|---|---|---|---|---|---|---|---|
| 应用说明 | IHC-P: Antigen Retrieval: Heat mediated was performed in Citrate buffer (pH 6.0) for 20 min. * The dilutions indicate recommended starting dilutions and the optimal dilutions or concentrations should be determined by the scientist. |
属性
| 形式 | Liquid |
|---|---|
| 纯化 | Affinity purification with immunogen. |
| 缓冲液 | 0.9% NaCl, 0.2% Na2HPO4, 0.05% Sodium azide and 4% Trehalose. |
| 抗菌剂 | 0.05% Sodium azide |
| 稳定剂 | 4% Trehalose |
| 浓度 | 0.5 mg/ml |
| 存放说明 | For continuous use, store undiluted antibody at 2-8°C for up to a week. For long-term storage, aliquot and store at -20°C or below. Storage in frost free freezers is not recommended. Avoid repeated freeze/thaw cycles. Suggest spin the vial prior to opening. The antibody solution should be gently mixed before use. |
| 注意事项 | For laboratory research only, not for drug, diagnostic or other use. |
生物信息
| 数据库连接 | |
|---|---|
| 基因名称 | GSTM1 |
| 全名 | glutathione S-transferase mu 1 |
| 背景介绍 | Cytosolic and membrane-bound forms of glutathione S-transferase are encoded by two distinct supergene families. At present, eight distinct classes of the soluble cytoplasmic mammalian glutathione S-transferases have been identified: alpha, kappa, mu, omega, pi, sigma, theta and zeta. This gene encodes a glutathione S-transferase that belongs to the mu class. The mu class of enzymes functions in the detoxification of electrophilic compounds, including carcinogens, therapeutic drugs, environmental toxins and products of oxidative stress, by conjugation with glutathione. The genes encoding the mu class of enzymes are organized in a gene cluster on chromosome 1p13.3 and are known to be highly polymorphic. These genetic variations can change an individual's susceptibility to carcinogens and toxins as well as affect the toxicity and efficacy of certain drugs. Null mutations of this class mu gene have been linked with an increase in a number of cancers, likely due to an increased susceptibility to environmental toxins and carcinogens. Multiple protein isoforms are encoded by transcript variants of this gene. [provided by RefSeq, Jul 2008] |
| 生物功能 | Conjugation of reduced glutathione to a wide number of exogenous and endogenous hydrophobic electrophiles. [UniProt] |
| 预测分子量 | 26 kDa |
检测图片 (5) Click the Picture to Zoom In
-
ARG58841 anti-GSTM1 antibody [11F2] FACS image
Flow Cytometry: U20S cells were blocked with 10% normal goat serum and then stained with ARG58841 anti-GSTM1 antibody [11F2] (blue) at 1 µg/10^6 cells for 30 min at 20°C, followed by DyLight®488 labelled secondary antibody. Isotype control antibody (green) was Mouse IgG (1 µg/10^6 cells) used under the same conditions. Unlabelled sample (red) was also used as a control.
-
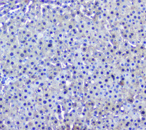
ARG58841 anti-GSTM1 antibody [11F2] IHC-P image
Immunohistochemistry: Paraffin-embedded Rat liver. Antigen Retrieval: Heat mediated was performed in Citrate buffer (pH 6.0, epitope retrieval solution) for 20 min. The tissue section was blocked with 10% goat serum. The tissue section was then stained with ARG58841 anti-GSTM1 antibody [11F2] at 2 µg/ml, overnight at 4°C.
-
ARG58841 anti-GSTM1 antibody [11F2] WB image
Western blot: 50 µg of samples under reducing conditions. HeLa, T-47D, Rat brain, Rat lung, Rat stomach, Mouse lung, Mouse stomach and Mouse kidney lysates stained with ARG58841 anti-GSTM1 antibody [11F2] at 0.5 µg/ml, overnight at 4°C.
-
ARG58841 anti-GSTM1 antibody [11F2] FACS image
Flow Cytometry: HeLa cells were blocked with 10% normal goat serum and then stained with ARG58841 anti-GSTM1 antibody [11F2] (blue) at 1 µg/10^6 cells for 30 min at 20°C, followed by DyLight®488 labelled secondary antibody. Isotype control antibody (green) was Mouse IgG (1 µg/10^6 cells) used under the same conditions. Unlabelled sample (red) was also used as a control.
-
ARG58841 anti-GSTM1 antibody [11F2] IHC-P image
Immunohistochemistry: Paraffin-embedded Human colon cancer tissue. Antigen Retrieval: Heat mediated was performed in Citrate buffer (pH 6.0, epitope retrieval solution) for 20 min. The tissue section was blocked with 10% goat serum. The tissue section was then stained with ARG58841 anti-GSTM1 antibody [11F2] at 2 µg/ml, overnight at 4°C.
