ARG40978
anti-GST3 / GST pi antibody
anti-GST3 / GST pi antibody for ICC/IF,IHC-Formalin-fixed paraffin-embedded sections,Western blot and Human,Mouse,Rat
概述
| 产品描述 | Rabbit Polyclonal antibody recognizes GST3 / GST pi |
|---|---|
| 反应物种 | Hu, Ms, Rat |
| 应用 | ICC/IF, IHC-P, WB |
| 宿主 | Rabbit |
| 克隆 | Polyclonal |
| 同位型 | IgG |
| 靶点名称 | GST3 / GST pi |
| 抗原物种 | Rat |
| 抗原 | Recombinant protein corresponding to P2-Q210 of Rat GST3 / GST pi. |
| 偶联标记 | Un-conjugated |
| 別名 | DFN7; EC 2.5.1.18; GST3; GSTP; GSTP1-1; HEL-S-22; FAEES3; GST class-pi; PI; Glutathione S-transferase P |
应用说明
| 应用建议 |
|
||||||||
|---|---|---|---|---|---|---|---|---|---|
| 应用说明 | IHC-P: Antigen Retrieval: Heat mediation was performed in Citrate buffer (pH 6.0, epitope retrieval solution) for 20 min. * The dilutions indicate recommended starting dilutions and the optimal dilutions or concentrations should be determined by the scientist. |
属性
| 形式 | Liquid |
|---|---|
| 纯化 | Affinity purification with immunogen. |
| 缓冲液 | 0.2% Na2HPO4, 0.9% NaCl, 0.05% Sodium azide and 5% BSA. |
| 抗菌剂 | 0.05% Sodium azide |
| 稳定剂 | 5% BSA |
| 浓度 | 0.5 mg/ml |
| 存放说明 | For continuous use, store undiluted antibody at 2-8°C for up to a week. For long-term storage, aliquot and store at -20°C or below. Storage in frost free freezers is not recommended. Avoid repeated freeze/thaw cycles. Suggest spin the vial prior to opening. The antibody solution should be gently mixed before use. |
| 注意事项 | For laboratory research only, not for drug, diagnostic or other use. |
生物信息
| 数据库连接 | |
|---|---|
| 基因名称 | GSTP1 |
| 全名 | glutathione S-transferase pi 1 |
| 背景介绍 | Glutathione S-transferases (GSTs) are a family of enzymes that play an important role in detoxification by catalyzing the conjugation of many hydrophobic and electrophilic compounds with reduced glutathione. Based on their biochemical, immunologic, and structural properties, the soluble GSTs are categorized into 4 main classes: alpha, mu, pi, and theta. This GST family member is a polymorphic gene encoding active, functionally different GSTP1 variant proteins that are thought to function in xenobiotic metabolism and play a role in susceptibility to cancer, and other diseases. [provided by RefSeq, Jul 2008] |
| 生物功能 | Conjugation of reduced glutathione to a wide number of exogenous and endogenous hydrophobic electrophiles. Regulates negatively CDK5 activity via p25/p35 translocation to prevent neurodegeneration. [UniProt] |
| 细胞定位 | Cytoplasm. Mitochondrion. Nucleus. Note=The 83 N-terminal amino acids function as un uncleaved transit peptide, and arginine residues within it are crucial for mitochondrial localization. [UniProt] |
| 预测分子量 | 23 kDa |
检测图片 (4) Click the Picture to Zoom In
-
ARG40978 anti-GST3 / GST pi antibody IHC-P image
Immunohistochemistry: Paraffin-embedded Rat kidney tissue. Antigen Retrieval: Heat mediation was performed in Citrate buffer (pH 6.0, epitope retrieval solution) for 20 min. The tissue section was blocked with 10% goat serum. The tissue section was then stained with ARG40978 anti-GST3 / GST pi antibody at 1 µg/ml dilution, overnight at 4°C.
-
ARG40978 anti-GST3 / GST pi antibody ICC/IF image
Immunofluorescence: NRK stained with ARG40978 anti-GST3 / GST pi antibody at 5 μg/mL dilution.
-
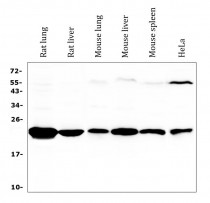
ARG40978 anti-GST3 / GST pi antibody WB image
Western blot: 50 µg of samples under reducing conditions. Rat lung, Rat liver, Mouse lung, Mouse liver, Mouse spleen and HeLa whole cell lysates stained with ARG40978 anti-GST3 / GST pi antibody at 0.5 µg/ml, overnight at 4°C.
-
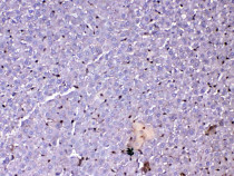
ARG40978 anti-GST3 / GST pi antibody IHC-P image
Immunohistochemistry: Paraffin-embedded Rat liver tissue. Antigen Retrieval: Heat mediation was performed in Citrate buffer (pH 6.0, epitope retrieval solution) for 20 min. The tissue section was blocked with 10% goat serum. The tissue section was then stained with ARG40978 anti-GST3 / GST pi antibody at 1 µg/ml dilution, overnight at 4°C.
