ARG57563
anti-GSK3 alpha antibody
anti-GSK3 alpha antibody for ICC/IF,IHC-Formalin-fixed paraffin-embedded sections,Western blot and Human
概述
| 产品描述 | Rabbit Polyclonal antibody recognizes GSK3 alpha |
|---|---|
| 反应物种 | Hu |
| 应用 | ICC/IF, IHC-P, WB |
| 特异性 | The antibody detects endogenous level of total GSK3 alpha protein, and does not detect GSK3 beta protein. |
| 宿主 | Rabbit |
| 克隆 | Polyclonal |
| 同位型 | IgG |
| 靶点名称 | GSK3 alpha |
| 抗原物种 | Human |
| 抗原 | KLH-conjugated synthetic peptide around aa. 19-23 of Human GSK3 alpha. (aa. sequence: TSSFA) |
| 偶联标记 | Un-conjugated |
| 別名 | Glycogen synthase kinase-3 alpha; EC 2.7.11.26; Serine/threonine-protein kinase GSK3A; GSK-3 alpha; EC 2.7.11.1 |
应用说明
| 预测反应性说明 | Mouse, Rat | ||||||||
|---|---|---|---|---|---|---|---|---|---|
| 应用建议 |
|
||||||||
| 应用说明 | * The dilutions indicate recommended starting dilutions and the optimal dilutions or concentrations should be determined by the scientist. |
属性
| 形式 | Liquid |
|---|---|
| 纯化 | Affinity purification with immunogen. |
| 缓冲液 | PBS (pH 7.4), 150mM NaCl, 0.02% Sodium azide and 50% Glycerol. |
| 抗菌剂 | 0.02% Sodium azide |
| 稳定剂 | 50% Glycerol |
| 浓度 | 1 mg/ml |
| 存放说明 | For continuous use, store undiluted antibody at 2-8°C for up to a week. For long-term storage, aliquot and store at -20°C. Storage in frost free freezers is not recommended. Avoid repeated freeze/thaw cycles. Suggest spin the vial prior to opening. The antibody solution should be gently mixed before use. |
| 注意事项 | For laboratory research only, not for drug, diagnostic or other use. |
生物信息
| 数据库连接 | |
|---|---|
| 基因名称 | GSK3A |
| 全名 | glycogen synthase kinase 3 alpha |
| 背景介绍 | This gene encodes a multifunctional Ser/Thr protein kinase that is implicated in the control of several regulatory proteins including glycogen synthase, and transcription factors, such as JUN. It also plays a role in the WNT and PI3K signaling pathways, as well as regulates the production of beta-amyloid peptides associated with Alzheimer's disease. [provided by RefSeq, Oct 2011] |
| 生物功能 | Constitutively active protein kinase that acts as a negative regulator in the hormonal control of glucose homeostasis, Wnt signaling and regulation of transcription factors and microtubules, by phosphorylating and inactivating glycogen synthase (GYS1 or GYS2), CTNNB1/beta-catenin, APC and AXIN1. Requires primed phosphorylation of the majority of its substrates. Contributes to insulin regulation of glycogen synthesis by phosphorylating and inhibiting GYS1 activity and hence glycogen synthesis. Regulates glycogen metabolism in liver, but not in muscle. May also mediate the development of insulin resistance by regulating activation of transcription factors. In Wnt signaling, regulates the level and transcriptional activity of nuclear CTNNB1/beta-catenin. Facilitates amyloid precursor protein (APP) processing and the generation of APP-derived amyloid plaques found in Alzheimer disease. May be involved in the regulation of replication in pancreatic beta-cells. Is necessary for the establishment of neuronal polarity and axon outgrowth. Through phosphorylation of the anti-apoptotic protein MCL1, may control cell apoptosis in response to growth factors deprivation. [UniProt] |
| 预测分子量 | 51 kDa |
| 翻译后修饰 | Phosphorylated by AKT1 at Ser-21: upon insulin-mediated signaling, the activated PKB/AKT1 protein kinase phosphorylates and desactivates GSK3A, resulting in the dephosphorylation and activation of GYS1. Activated by phosphorylation at Tyr-279. [UniProt] |
检测图片 (3) Click the Picture to Zoom In
-
ARG57563 anti-GSK3 alpha antibody ICC/IF image
Immunofluorescence: Methanol-fixed MCF7 cells stained with ARG57563 anti-GSK3 alpha antibody.
-
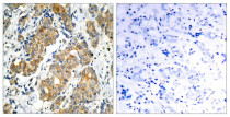
ARG57563 anti-GSK3 alpha antibody IHC-P image
Immunohistochemistry: Paraffin-embedded Human breast carcinoma tissue stained with ARG57563 anti-GSK3 alpha antibody (left), or the same antibody pre-incubated with antigen (right).
-
ARG57563 anti-GSK3 alpha antibody WB image
Western blot: 293 cell lysate stained with ARG57563 anti-GSK3 alpha antibody.
