ARG45218
anti-GRHL2 antibody
anti-GRHL2 antibody for Flow cytometry,ICC/IF,IHC-Formalin-fixed paraffin-embedded sections,Western blot and Human
概述
| 产品描述 | Rabbit Polyclonal antibody recognizes GRHL2 |
|---|---|
| 反应物种 | Hu |
| 应用 | FACS, ICC/IF, IHC-P, WB |
| 宿主 | Rabbit |
| 克隆 | Polyclonal |
| 同位型 | IgG |
| 靶点名称 | GRHL2 |
| 抗原物种 | Human |
| 抗原 | Recombinant protein containing to human GRHL2. |
| 偶联标记 | Un-conjugated |
| 別名 | GRHL2; Grainyhead Like Transcription Factor 2; BOM; Transcription Factor CP2-Like 3; TFCP2L3; Grainyhead-Like Protein 2 Homolog; Brother Of Mammalian Grainyhead; Brother-Of-MGR; FLJ13782; DFNA28; Deafness, Autosomal Dominant 28; Grainyhead-Like 2 (Drosophila); Grainyhead-Like 2; ECTDS; PPCD4 |
应用说明
| 应用建议 |
|
||||||||||
|---|---|---|---|---|---|---|---|---|---|---|---|
| 应用说明 | * The dilutions indicate recommended starting dilutions and the optimal dilutions or concentrations should be determined by the scientist. | ||||||||||
| 实际分子量 | 71 kDa |
属性
| 形式 | Liquid |
|---|---|
| 纯化 | Affinity purification with immunogen. |
| 缓冲液 | 0.2% Na2HPO4, 0.9% NaCl and 4% Trehalose. |
| 稳定剂 | 4% Trehalose |
| 浓度 | 0.5 mg/ml |
| 存放说明 | For continuous use, store undiluted antibody at 2-8°C for up to a week. For long-term storage, aliquot and store at -20°C or below. Storage in frost free freezers is not recommended. Avoid repeated freeze/thaw cycles. Suggest spin the vial prior to opening. The antibody solution should be gently mixed before use. |
| 注意事项 | For laboratory research only, not for drug, diagnostic or other use. |
生物信息
| 数据库连接 | |
|---|---|
| 基因名称 | GRHL2 |
| 全名 | Grainyhead Like Transcription Factor 2 |
| 背景介绍 | The protein encoded by this gene is a transcription factor that can act as a homodimer or as a heterodimer with either GRHL1 or GRHL3. Defects in this gene are a cause of non-syndromic sensorineural deafness autosomal dominant type 28 (DFNA28).[provided by RefSeq, Mar 2009] |
| 生物功能 | Transcription factor playing an important role in primary neurulation and in epithelial development. [UniProt] |
| 细胞定位 | Membrane; Nucleus [UniProt] |
| 预测分子量 | 71 kDa |
检测图片 (4) Click the Picture to Zoom In
-
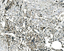
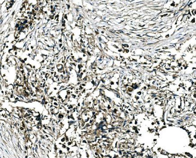
ARG45218 anti-GRHL2 antibody IHC-P image
Immunohistochemistry: Human breast cancer stained with ARG45218 anti-GRHL2 antibody at 2 μg/ml dilution.
-
ARG45218 anti-GRHL2 antibody ICC/IF image
Immunofluorescence: A431 stained with ARG45218 anti-GRHL2 antibody at 5 ug/ml dilution.
-
ARG45218 anti-GRHL2 antibody WB image
Western blot: T-47D, RT4, Hacat, and MCF-7 stained with ARG45218 anti-GRHL2 antibody at 0.5 μg/ml dilution.
-
ARG45218 anti-GRHL2 antibody FACS image
Flow Cytometry: Caco-2 stained with ARG45218 anti-GRHL2 antibody at 1 µg/10^6 cells dilution.
