ARG63557
anti-GRAF / ARHGAP26 antibody
anti-GRAF / ARHGAP26 antibody for IHC-Formalin-fixed paraffin-embedded sections,Western blot and Human
Cell Biology and Cellular Response antibody; Neuroscience antibody; Signaling Transduction antibody
概述
| 产品描述 | Goat Polyclonal antibody recognizes GRAF / ARHGAP26 |
|---|---|
| 反应物种 | Hu |
| 预测物种 | Ms, Rat, Cow, Dog |
| 应用 | IHC-P, WB |
| 特异性 | This antibody is expected to recognise both reported isoforms. |
| 宿主 | Goat |
| 克隆 | Polyclonal |
| 同位型 | IgG |
| 靶点名称 | GRAF / ARHGAP26 |
| 抗原物种 | Human |
| 抗原 | C-KTGLIPENYVEFL |
| 偶联标记 | Un-conjugated |
| 別名 | Rho-type GTPase-activating protein 26; OPHN1L1; Rho GTPase-activating protein 26; OPHN1L; Oligophrenin-1-like protein; GRAF1; GTPase regulator associated with focal adhesion kinase; GRAF |
应用说明
| 应用建议 |
|
||||||
|---|---|---|---|---|---|---|---|
| 应用说明 | WB: Recommend incubate at RT for 1h. IHC-P: Antigen Retrieval: Steam tissue section in Citrate buffer (pH 6.0). * The dilutions indicate recommended starting dilutions and the optimal dilutions or concentrations should be determined by the scientist. |
属性
| 形式 | Liquid |
|---|---|
| 纯化 | Purified from goat serum by antigen affinity chromatography. |
| 缓冲液 | Tris saline (pH 7.3), 0.02% Sodium azide and 0.5% BSA. |
| 抗菌剂 | 0.02% Sodium azide |
| 稳定剂 | 0.5% BSA |
| 浓度 | 0.5 mg/ml |
| 存放说明 | For continuous use, store undiluted antibody at 2-8°C for up to a week. For long-term storage, aliquot and store at -20°C or below. Storage in frost free freezers is not recommended. Avoid repeated freeze/thaw cycles. Suggest spin the vial prior to opening. The antibody solution should be gently mixed before use. |
| 注意事项 | For laboratory research only, not for drug, diagnostic or other use. |
生物信息
| 数据库连接 | |
|---|---|
| 背景介绍 | Interaction of a cell with the extracellular matrix triggers integrin cell surface receptors to begin signaling cascades that regulate the organization of the actin-cytoskeleton. One of the proteins involved in these cascades is focal adhesion kinase. The protein encoded by this gene is a GTPase activating protein that binds to focal adhesion kinase and mediates the activity of the GTP binding proteins RhoA and Cdc42. Defects in this gene are a cause of juvenile myelomonocytic leukemia (JMML). Two transcript variants encoding different isoforms have been found for this gene. [provided by RefSeq, Mar 2010] |
| 研究领域 | Cell Biology and Cellular Response antibody; Neuroscience antibody; Signaling Transduction antibody |
| 预测分子量 | 92 kDa |
检测图片 (2) Click the Picture to Zoom In
-
ARG63557 anti-GRAF / ARHGAP26 antibody WB image
Western Blot: Human Heart lysate (35 µg protein in RIPA buffer) with (B) and without (A) blocking with the immunising peptide. stained with ARG63557 anti-GRAF / ARHGAP26 antibody at 0.3 µg/ml dilution.
-
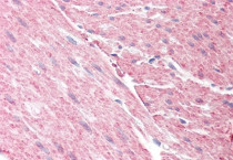
ARG63557 anti-GRAF / ARHGAP26 antibody IHC-P image
Immunohistochemistry: Paraffin-embedded Human colon tissue. Antigen Retrieval: Steam tissue section in Citrate buffer (pH 6.0). The tissue section was stained with ARG63557 anti-GRAF / ARHGAP26 antibody at 3.75 µg/ml dilution followed by AP-staining.
