ARG59675
anti-GPX1 antibody
anti-GPX1 antibody for IHC-Formalin-fixed paraffin-embedded sections and Human,Mouse,Rat
概述
| 产品描述 | Rabbit Polyclonal antibody recognizes GPX1 |
|---|---|
| 反应物种 | Hu, Ms, Rat |
| 应用 | IHC-P |
| 宿主 | Rabbit |
| 克隆 | Polyclonal |
| 同位型 | IgG |
| 靶点名称 | GPX1 |
| 抗原物种 | Human |
| 抗原 | Synthetic peptide corresponding to aa. 116-146 of Human GPX1. (EVNGAGAHPLFAFLREALPAPSDDATALMTD) |
| 偶联标记 | Un-conjugated |
| 別名 | GPXD; Glutathione peroxidase 1; GPx-1; Cellular glutathione peroxidase; EC 1.11.1.9; GSHPX1; GSHPx-1 |
应用说明
| 应用建议 |
|
||||
|---|---|---|---|---|---|
| 应用说明 | IHC-P: Antigen Retrieval: By heat mediation. * The dilutions indicate recommended starting dilutions and the optimal dilutions or concentrations should be determined by the scientist. |
属性
| 形式 | Liquid |
|---|---|
| 纯化 | Affinity purification with immunogen. |
| 缓冲液 | 0.9% NaCl, 0.2% Na2HPO4, 0.05% Sodium azide and 5% BSA. |
| 抗菌剂 | 0.05% Sodium azide |
| 稳定剂 | 5% BSA |
| 浓度 | 0.5 mg/ml |
| 存放说明 | For continuous use, store undiluted antibody at 2-8°C for up to a week. For long-term storage, aliquot and store at -20°C or below. Storage in frost free freezers is not recommended. Avoid repeated freeze/thaw cycles. Suggest spin the vial prior to opening. The antibody solution should be gently mixed before use. |
| 注意事项 | For laboratory research only, not for drug, diagnostic or other use. |
生物信息
| 数据库连接 | |
|---|---|
| 基因名称 | GPX1 |
| 全名 | glutathione peroxidase 1 |
| 背景介绍 | This gene encodes a member of the glutathione peroxidase family. Glutathione peroxidase functions in the detoxification of hydrogen peroxide, and is one of the most important antioxidant enzymes in humans. This protein is one of only a few proteins known in higher vertebrates to contain selenocysteine, which occurs at the active site of glutathione peroxidase and is coded by UGA, that normally functions as a translation termination codon. In addition, this protein is characterized in a polyalanine sequence polymorphism in the N-terminal region, which includes three alleles with five, six or seven alanine (ALA) repeats in this sequence. The allele with five ALA repeats is significantly associated with breast cancer risk. Two alternatively spliced transcript variants encoding distinct isoforms have been found for this gene. [provided by RefSeq, Jul 2008] |
| 生物功能 | Protects the hemoglobin in erythrocytes from oxidative breakdown. [UniProt] |
| 细胞定位 | Cytoplasm. [UniProt] |
| 预测分子量 | 22 kDa |
| 翻译后修饰 | During periods of oxidative stress, Sec-49 may react with a superoxide radical, irreversibly lose hydroselenide and be converted to dehydroalanine. [UniProt] |
检测图片 (3) Click the Picture to Zoom In
-
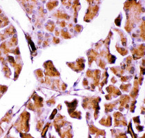
ARG59675 anti-GPX1 antibody IHC-P image
Immunohistochemistry: Paraffin-embedded Mosue pancreas stained with ARG59675 anti-GPX1 antibody.
-
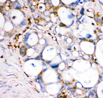
ARG59675 anti-GPX1 antibody IHC-P image
Immunohistochemistry: Paraffin-embedded Rat pancreas stained with ARG59675 anti-GPX1 antibody.
-
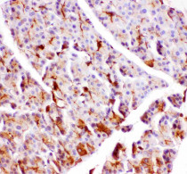
ARG59675 anti-GPX1 antibody IHC-P image
Immunohistochemistry: Paraffin-embedded Human intestinal cancer stained with ARG59675 anti-GPX1 antibody.
