ARG55411
anti-GOPC / PIST antibody
anti-GOPC / PIST antibody for ICC/IF,IHC-Formalin-fixed paraffin-embedded sections,Western blot and Rat
Controls and Markers antibody; Signaling Transduction antibody
概述
| 产品描述 | Rabbit Polyclonal antibody recognizes GOPC / PIST |
|---|---|
| 反应物种 | Rat |
| 预测物种 | Hu, Ms |
| 应用 | ICC/IF, IHC-P, WB |
| 宿主 | Rabbit |
| 克隆 | Polyclonal |
| 同位型 | IgG |
| 靶点名称 | GOPC / PIST |
| 抗原物种 | Human |
| 抗原 | Synthetic peptide (16 aa) within aa. 360-410 of Human PIST. |
| 偶联标记 | Un-conjugated |
| 別名 | Golgi-associated PDZ and coiled-coil motif-containing protein; Fused in glioblastoma; dJ94G16.2; CFTR-associated ligand; FIG; CAL; PIST; PDZ protein interacting specifically with TC10; GOPC1 |
应用说明
| 应用建议 |
|
||||||||
|---|---|---|---|---|---|---|---|---|---|
| 应用说明 | * The dilutions indicate recommended starting dilutions and the optimal dilutions or concentrations should be determined by the scientist. | ||||||||
| 阳性对照 | Rat Colon Lysate |
属性
| 形式 | Liquid |
|---|---|
| 纯化 | Affinity purification with immunogen. |
| 缓冲液 | PBS and 0.02% Sodium azide |
| 抗菌剂 | 0.02% Sodium azide |
| 浓度 | 1 mg/ml |
| 存放说明 | For continuous use, store undiluted antibody at 2-8°C for up to a week. For long-term storage, aliquot and store at -20°C or below. Storage in frost free freezers is not recommended. Avoid repeated freeze/thaw cycles. Suggest spin the vial prior to opening. The antibody solution should be gently mixed before use. |
| 注意事项 | For laboratory research only, not for drug, diagnostic or other use. |
生物信息
| 基因名称 | GOPC |
|---|---|
| 全名 | golgi-associated PDZ and coiled-coil motif containing |
| 背景介绍 | This gene encodes a Golgi protein with a PDZ domain. The PDZ domain is globular and proteins which contain them bind other proteins through short motifs near the C-termini. Mice which are deficient in the orthologous protein have globozoospermia and are infertile. Multiple transcript variants encoding different isoforms have been found for this gene. [provided by RefSeq, Dec 2011] |
| 生物功能 | Plays a role in intracellular protein trafficking and degradation. May regulate CFTR chloride currents and acid-induced ASIC3 currents by modulating cell surface expression of both channels. May also regulate the intracellular trafficking of the ADR1B receptor. May play a role in autophagy. Overexpression results in CFTR intracellular retention and degradation in the lysosomes. [UniProt] |
| 研究领域 | Controls and Markers antibody; Signaling Transduction antibody |
| 预测分子量 | 51 kDa |
检测图片 (3) Click the Picture to Zoom In
-
ARG55411 anti-GOPC / PIST antibody WB image
Western blot: Rat colon cell lysate stained with ARG55411 anti-GOPC / PIST antibody at (A) 1, (B) 2 and (C) 4 µg/ml dilution.
-
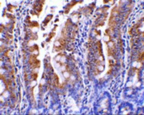
ARG55411 anti-GOPC / PIST antibody IHC image
Immunohistochemistry: Rat colon tissue stained with ARG55411 anti-GOPC / PIST antibody at 1 µg/ml dilution.
-
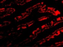
ARG55411 anti-GOPC / PIST antibody ICC/IF image
Immunofluorescence: Rat Colon cells stained with ARG55411 anti-GOPC / PIST antibody at 10 µg/ml dilution.
