ARG66975
anti-GON4L antibody
anti-GON4L antibody for ICC/IF,IHC-Formalin-fixed paraffin-embedded sections,Western blot and Human,Mouse
概述
| 产品描述 | Rabbit Polyclonal antibody recognizes GON4L |
|---|---|
| 反应物种 | Hu, Ms |
| 预测物种 | Rat |
| 应用 | ICC/IF, IHC-P, WB |
| 宿主 | Rabbit |
| 克隆 | Polyclonal |
| 同位型 | IgG |
| 靶点名称 | GON4L |
| 抗原物种 | Human |
| 抗原 | Synthetic peptide around the middle region of Human GON4L. |
| 偶联标记 | Un-conjugated |
| Protein Full name | GON-4-like protein |
| 別名 | GON4; YARP; GON-4; GON-4 homolog; KIAA1606 |
应用说明
| 应用建议 |
|
||||||||
|---|---|---|---|---|---|---|---|---|---|
| 应用说明 | * The dilutions indicate recommended starting dilutions and the optimal dilutions or concentrations should be determined by the scientist. | ||||||||
| 实际分子量 | ~250-260 kDa |
属性
| 形式 | Liquid |
|---|---|
| 纯化 | Affinity purified. |
| 缓冲液 | 100 mM Tris Glycine (pH 7.0), 0.025% ProClin 300 and 20% Glycerol. |
| 抗菌剂 | 0.025% ProClin 300 |
| 稳定剂 | 20% Glycerol |
| 存放说明 | For continuous use, store undiluted antibody at 2-8°C for up to a week. For long-term storage, aliquot and store at -20°C. Storage in frost free freezers is not recommended. Avoid repeated freeze/thaw cycles. Suggest spin the vial prior to opening. The antibody solution should be gently mixed before use. |
| 注意事项 | For laboratory research only, not for drug, diagnostic or other use. |
生物信息
| 数据库连接 | |
|---|---|
| 基因名称 | GON4L |
| 全名 | gon-4 like |
| 背景介绍 | Predicted to enable transcription coregulator activity. Predicted to be involved in regulation of transcription, DNA templated. Predicted to act upstream of or within B cell differentiation. Located in nuclear body. [provided by Alliance of Genome Resources, Apr2022] |
| 生物功能 | Has transcriptional repressor activity, probably as part of a complex with YY1, SIN3A and HDAC1. Required for B cell lymphopoiesis. [UniProt] |
| 细胞定位 | Nucleus |
| 预测分子量 | 248.6 kDa |
| 翻译后修饰 | Phosphoprotein |
检测图片 (3) Click the Picture to Zoom In
-
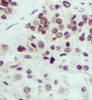
ARG66975 anti-GON4L antibody IHC-P image
Immunohistochemistry: Formalin-fixed and paraffin-embedded mouse testis stained with ARG66975 anti-GON4L antibody IHC-P image at 1:400 dilution.
-
ARG66975 anti-GON4L antibody ICC/IF image
Immunofluorescence: 4% paraformaldehyde-fixed A549 cells were permeabilized with 0.1% NP-40 for 5-10 minutes and blocked with 5% BSA for 30 minutes at room temperature. Cells were stained with ARG66975 anti-GON4L antibody at 1:300 dilution.
-
ARG66975 anti-GON4L antibody WB image
Western blot: A549 cells stained with ARG66975 anti-GON4L antibody at 1:1000 dilution.
