ARG40791
anti-GNAT2 antibody
anti-GNAT2 antibody for IHC-Formalin-fixed paraffin-embedded sections,Western blot and Human
概述
| 产品描述 | Rabbit Polyclonal antibody recognizes GNAT2 |
|---|---|
| 反应物种 | Hu |
| 预测物种 | Ms |
| 应用 | IHC-P, WB |
| 宿主 | Rabbit |
| 克隆 | Polyclonal |
| 同位型 | IgG |
| 靶点名称 | GNAT2 |
| 抗原物种 | Human |
| 抗原 | KLH conjugated synthetic peptide between aa. 140-169 of Human GNAT2. |
| 偶联标记 | Un-conjugated |
| 別名 | ACHM4; GNATC; Guanine nucleotide-binding protein G(t) subunit alpha-2; Transducin alpha-2 chain |
应用说明
| 应用建议 |
|
||||||
|---|---|---|---|---|---|---|---|
| 应用说明 | * The dilutions indicate recommended starting dilutions and the optimal dilutions or concentrations should be determined by the scientist. |
属性
| 形式 | Liquid |
|---|---|
| 纯化 | Purification with Protein A and immunogen peptide. |
| 缓冲液 | PBS and 0.09% (W/V) Sodium azide. |
| 抗菌剂 | 0.09% (W/V) Sodium azide. |
| 存放说明 | For continuous use, store undiluted antibody at 2-8°C for up to a week. For long-term storage, aliquot and store at -20°C or below. Storage in frost free freezers is not recommended. Avoid repeated freeze/thaw cycles. Suggest spin the vial prior to opening. The antibody solution should be gently mixed before use. |
| 注意事项 | For laboratory research only, not for drug, diagnostic or other use. |
生物信息
| 数据库连接 |
Swiss-port # P19087 Human Guanine nucleotide-binding protein G(t) subunit alpha-2 |
|---|---|
| 基因名称 | GNAT2 |
| 全名 | guanine nucleotide binding protein (G protein), alpha transducing activity polypeptide 2 |
| 背景介绍 | Transducin is a 3-subunit guanine nucleotide-binding protein (G protein) which stimulates the coupling of rhodopsin and cGMP-phoshodiesterase during visual impulses. The transducin alpha subunits in rods and cones are encoded by separate genes. This gene encodes the alpha subunit in cones. [provided by RefSeq, Jul 2008] |
| 生物功能 | Guanine nucleotide-binding proteins (G proteins) are involved as modulators or transducers in various transmembrane signaling systems. Transducin is an amplifier and one of the transducers of a visual impulse that performs the coupling between rhodopsin and cGMP-phosphodiesterase. [UniProt] |
| 预测分子量 | 40 kDa |
检测图片 (2) Click the Picture to Zoom In
-
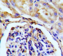
ARG40791 anti-GNAT2 antibody IHC-P image
Immunohistochemistry: Formalin-fixed and paraffin-embedded Human kidney tissue stained with ARG40791 anti-GNAT2 antibody.
-
ARG40791 anti-GNAT2 antibody WB image
Western blot: 20 µg of Y79 cell lysate stained with ARG40791 anti-GNAT2 antibody at 1:1000 dilution.
